Skip to main content

BNP Antibody (JE30-94)

Novus Biologicals, part of Bio-Techne | Catalog # NBP3-32088

Recombinant Monoclonal Antibody
Novus Biologicals, part of Bio-Techne
Catalog #
Availability
Size / Price
Qty
Loading...
NBP3-32088

Key Product Details

Species Reactivity

Human, Mouse, Rat

Applications

Immunohistochemistry, Immunohistochemistry-Paraffin, Western Blot

Label

Unconjugated

Antibody Source

Recombinant Monoclonal Rabbit IgG Clone # JE30-94 expressed in HEK293

Concentration

1 mg/ml

Product Specifications

Immunogen

Synthetic peptide within Human BNP aa 61-110 / 134. (Uniprot: P16860)

Localization

Secreted.

Clonality

Monoclonal

Host

Rabbit

Isotype

IgG

Theoretical MW

15 kDa.
Disclaimer note: The observed molecular weight of the protein may vary from the listed predicted molecular weight due to post translational modifications, post translation cleavages, relative charges, and other experimental factors.

Description

Novus Biologicals Rabbit BNP Antibody (JE30-94) (NBP3-32088) is a recombinant monoclonal antibody validated for use in IHC and WB. All Novus Biologicals antibodies are covered by our 100% guarantee.

Scientific Data Images for BNP Antibody (JE30-94)

BNP Antibody (JE30-94)

Western Blot: BNP Antibody (JE30-94) [NBP3-32088]

Western Blot: BNP Antibody (JE30-94) [NBP3-32088] - Western blot analysis of BNP on different lysates with Rabbit anti-BNP antibody (NBP3-32088) at 1/1,000 dilution.

Lane 1: SW480 cell lysate (20 ug/Lane)
Lane 2: U-87 MG cell lysate (20 ug/Lane)
Lane 3: U-2 OS cell lysate (20 ug/Lane)
Lane 4: Mouse brain tissue lysate (30 ug/Lane)
Lane 5: Rat brain tissue lysate (30 ug/Lane)

Predicted band size: 15 kDa
Observed band size: 37 kDa

Exposure time: 1 minute;

4-20% SDS-PAGE gel.

Proteins were transferred to a PVDF membrane and blocked with 5% NFDM/TBST for 1 hour at room temperature. The primary antibody (NBP3-32088) at 1/1,000 dilution was used in 5% NFDM/TBST at 4C overnight. Goat Anti-Rabbit IgG - HRP Secondary Antibody at 1/50,000 dilution was used for 1 hour at room temperature.
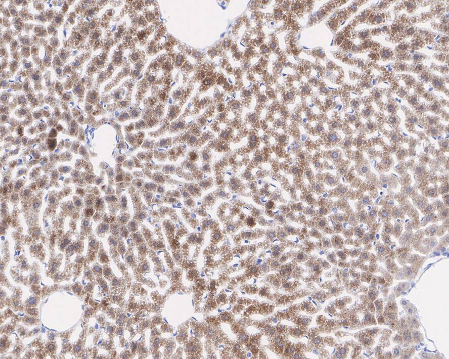
BNP Antibody (JE30-94)

Immunohistochemistry: BNP Antibody (JE30-94) [NBP3-32088]

Immunohistochemistry: BNP Antibody (JE30-94) [NBP3-32088] - Immunohistochemical analysis of paraffin-embedded mouse liver tissue with Rabbit anti-BNP antibody (NBP3-32088) at 1/200 dilution.

The section was pre-treated using heat mediated antigen retrieval with Tris-EDTA buffer (pH 9.0) for 20 minutes. The tissues were blocked in 1% BSA for 20 minutes at room temperature, washed with ddH2O and PBS, and then probed with the primary antibody (NBP3-32088) at 1/200 dilution for 1 hour at room temperature. The detection was performed using an HRP conjugated compact polymer system. DAB was used as the chromogen. Tissues were counterstained with hematoxylin and mounted with DPX.

Applications for BNP Antibody (JE30-94)

Application
Recommended Usage

Immunohistochemistry-Paraffin

1:200

Western Blot

1:1000

Formulation, Preparation, and Storage

Purification

Protein A purified

Formulation

1*TBS (pH7.4), 0.05% BSA and 40% Glycerol

Preservative

0.05% Sodium Azide

Concentration

1 mg/ml

Shipping

The product is shipped with polar packs. Upon receipt, store it immediately at the temperature recommended below.

Stability & Storage

Store at 4C short term. Aliquot and store at -20C long term. Avoid freeze-thaw cycles.

Background: BNP

Brain natriuretic peptide (BNP) circulates in blood as a peptide hormone with natriuretic, vasodilatory and renin inhibitory properties. BNP is secreted predominantly by the left ventricular myocytes in response to volume expansion and pressure overload. BNP belongs to a family of structurally similar peptide hormones, which includes atrial natriuretic peptide (ANP), BNP, C-type natriuretic peptide (CNP) and urodilatin. These peptides are characterized by a common 17 amino acid ring structure with a disulfide bond between two cystein residues. This ring structure shows high homology between different natriuretic peptides (eleven of the 17 amino acid residues are homologous in the ring of each of the natriuretic peptides, see fig. 18). BNP is a 32 amino acid peptide with disulfide bond between the cystein residues Cys10 and Cys26. In earlier studies it has been demonstrated that BNP concentration in blood increases with the severity of congestive heart failure. Quantitative measurement of BNP in blood provides an objective indicator of congestive heart failure severity

Long Name

Brain Natriuretic Peptide

Alternate Names

BNF, NPPB

Gene Symbol

NPPB

Additional BNP Products

Product Documents for BNP Antibody (JE30-94)

Certificate of Analysis

To download a Certificate of Analysis, please enter a lot number in the search box below.

Product Specific Notices for BNP Antibody (JE30-94)

This product is for research use only and is not approved for use in humans or in clinical diagnosis. Primary Antibodies are guaranteed for 1 year from date of receipt.

Loading...
Loading...
Loading...
Loading...