Skip to main content

BNIP3L Antibody - Azide and BSA Free

Novus Biologicals, part of Bio-Techne | Catalog # NBP3-00002

Novus Biologicals, part of Bio-Techne

Key Product Details

Species Reactivity

Human

Applications

ELISA, Immunohistochemistry-Paraffin, Immunoprecipitation, Western Blot

Label

Unconjugated

Antibody Source

Polyclonal Rabbit IgG

Format

Azide and BSA Free

Concentration

Please see the vial label for concentration. If unlisted please contact technical services.

Product Specifications

Immunogen

Produced in rabbits immunized with purified, recombinant Human BNIP3L (Accession#: NP_004322.1; Ser2-Lys187).

Clonality

Polyclonal

Host

Rabbit

Isotype

IgG

Description

This antibody can be stored at 2C to 8C for one month without detectable loss of activity. Antibody products are stable for twelve months from date of receipt when stored at -20C to -80C. Avoid repeated freeze-thaw cycles.

Scientific Data Images for BNIP3L Antibody - Azide and BSA Free

Western Blot: BNIP3L Antibody [NBP3-00002]

Western Blot: BNIP3L Antibody [NBP3-00002]

Western Blot: BNIP3L Antibody [NBP3-00002] - Anti-BNIP3L rabbit polyclonal antibody at 1:200 dilution. Lane A: K562 Whole Cell Lysate Lysates/proteins at 30 ug per lane. Secondary Goat Anti-Rabbit IgG (H+L)/HRP at 1/10000 dilution. Developed using the ECL technique. Performed under reducing conditions. Predicted band size: 24 kDa. Observed band size: 37 kDa
Immunohistochemistry-Paraffin: BNIP3L Antibody [NBP3-00002]

Immunohistochemistry-Paraffin: BNIP3L Antibody [NBP3-00002]

Immunohistochemistry-Paraffin: BNIP3L Antibody [NBP3-00002] - Immunochemical staining of human BNIP3L in human kidney with rabbit polyclonal antibody at 1:1000 dilution, formalin-fixed paraffin embedded sections.
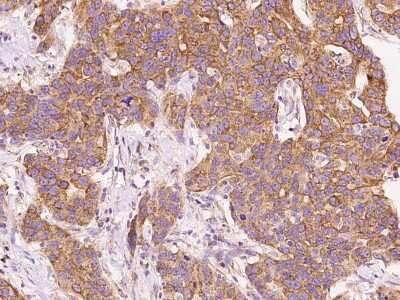
Immunohistochemistry-Paraffin: BNIP3L Antibody [NBP3-00002]

Immunohistochemistry-Paraffin: BNIP3L Antibody [NBP3-00002]

Immunohistochemistry-Paraffin: BNIP3L Antibody [NBP3-00002] - Immunochemical staining of human BNIP3L in human breast carcinoma with rabbit polyclonal antibody at 1:1000 dilution, formalin-fixed paraffin embedded sections.

Applications for BNIP3L Antibody - Azide and BSA Free

Application
Recommended Usage

ELISA

1:5000-1:10000

Immunohistochemistry-Paraffin

1:500-1:2000

Immunoprecipitation

1-5uL/mg of lysate

Western Blot

1:100-1:1000

Formulation, Preparation, and Storage

Purification

Antigen and protein A Affinity-purified

Formulation

0.2 um filtered solution in PBS

Format

Azide and BSA Free

Preservative

No Preservative

Concentration

Please see the vial label for concentration. If unlisted please contact technical services.

Shipping

The product is shipped with polar packs. Upon receipt, store it immediately at the temperature recommended below.

Stability & Storage

Store at 4C short term. Aliquot and store at -20C long term. Avoid freeze-thaw cycles.

Background: BNIP3L

Members in the Bcl-2 family are critical regulators of apoptosis by either inhibiting or promoting cell death. Bcl-2 homology 3 (BH3) domain is a potent death domain. BH3 domain containing pro-apoptotic proteins, including Bad, Bax, Bid, Bik, Hrk, Nip3, and Bim, form a growingsubclass of the Bcl-2 family. A novel BH3 domaincontaining protein was recently identified and designated Bnip3L, Bnip3a, and Nix (for Nip3-like protein X) (Matsushima, M. et al.; Yasuda, M. et al.; Chen, G, et al.).Bnip3L/Bnip3a/Nix is a homolog of the E1B 19K/Bcl-2 binding and pro-apoptotic protein Bnip3. Over expression of Bnip3L induces apoptosis (Yasuda, M. et al.; Chen, G, et al.). Bnip3L interacts withand overcomes suppresses by Bcl-2 and Bcl-xL. Bnip3Lis localized in mitochondria. The messenger RNA of Bnip3L is ubiquitously expressed in human tissues (Matsushima, M. et al.; Yasuda, M. et al.). Bnip3L and Bnip3 form a new subfamily of the pro-apoptotic mitochondrial proteins.

Long Name

BCL2/Adenovirus E1B 19 Kda Protein-Interacting Protein 3-Like

Alternate Names

BNIP3a, Nip3L, Nix

Gene Symbol

BNIP3L

Additional BNIP3L Products

Product Documents for BNIP3L Antibody - Azide and BSA Free

Certificate of Analysis

To download a Certificate of Analysis, please enter a lot number in the search box below.

Product Specific Notices for BNIP3L Antibody - Azide and BSA Free

This product is for research use only and is not approved for use in humans or in clinical diagnosis. Primary Antibodies are guaranteed for 1 year from date of receipt.

Loading...
Loading...
Loading...
Loading...