Skip to main content

BNIP3L Antibody - BSA Free

Novus Biologicals, part of Bio-Techne | Catalog # NBP2-92792

Novus Biologicals, part of Bio-Techne
Catalog #
Availability
Size / Price
Qty
Loading...
NBP2-92792-0.02ml
NBP2-92792-0.1ml

Key Product Details

Species Reactivity

Human, Mouse, Rat

Applications

Immunohistochemistry, Immunohistochemistry-Paraffin, Western Blot, Immunocytochemistry/ Immunofluorescence

Label

Unconjugated

Antibody Source

Polyclonal Rabbit IgG

Format

BSA Free

Concentration

Please see the vial label for concentration. If unlisted please contact technical services.

Product Specifications

Immunogen

Recombinant fusion protein containing a sequence corresponding to amino acids 95-180 of human BNIP3L (NP_004322.1). SPSPQEDGQIMFDVEMHTSRDHSSQSEEEVVEGEKEVEALKKSADWVSDWSSRPENIPPKEFHFRHPKRSVSLSMRKSGAMKKGGI

Clonality

Polyclonal

Host

Rabbit

Isotype

IgG

Description

Novus Biologicals Rabbit BNIP3L Antibody - BSA Free (NBP2-92792) is a polyclonal antibody validated for use in IHC, WB and ICC/IF. All Novus Biologicals antibodies are covered by our 100% guarantee.

Scientific Data Images for BNIP3L Antibody - BSA Free

Immunohistochemistry-Paraffin: BNIP3L Antibody - Azide and BSA Free [NBP2-92792]

Immunohistochemistry-Paraffin: BNIP3L Antibody - Azide and BSA Free [NBP2-92792]

Immunohistochemistry-Paraffin: BNIP3L Antibody [NBP2-92792] - Immunohistochemistry of paraffin-embedded rat kidney using BNIP3L Rabbit pAb (NBP2-92792) at dilution of 1:100 (40x lens). Perform high pressure antigen retrieval with 10 mM citrate buffer pH 6.0 before commencing with IHC staining protocol.
Immunohistochemistry-Paraffin: BNIP3L Antibody - Azide and BSA Free [NBP2-92792]

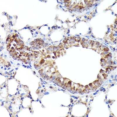
Immunohistochemistry-Paraffin: BNIP3L Antibody - Azide and BSA Free [NBP2-92792]

Immunohistochemistry-Paraffin: BNIP3L Antibody [NBP2-92792] - Immunohistochemistry of paraffin-embedded mouse lung using BNIP3L Rabbit pAb (NBP2-92792) at dilution of 1:100 (40x lens). Perform high pressure antigen retrieval with 10 mM citrate buffer pH 6.0 before commencing with IHC staining protocol.
BNIP3L Antibody - Azide and BSA Free

Immunocytochemistry/ Immunofluorescence: BNIP3L Antibody - Azide and BSA Free [NBP2-92792] -

Immunocytochemistry/ Immunofluorescence: BNIP3L Antibody - Azide and BSA Free [NBP2-92792] - Immunofluorescence analysis of NIH/3T3 cells using BNIP3L Rabbit pAb at dilution of 1:100 (40x lens). Secondary antibody: Cy3-conjugated Goat anti-Rabbit IgG (H+L) at 1:500 dilution. Blue: DAPI for nuclear staining.

Applications for BNIP3L Antibody - BSA Free

Application
Recommended Usage

Immunocytochemistry/ Immunofluorescence

1:50 - 1:200

Immunohistochemistry

1:50 - 1:200

Western Blot

1:500 - 1:1000

Formulation, Preparation, and Storage

Purification

Affinity purified

Formulation

PBS (pH 7.3), 50% glycerol

Format

BSA Free

Preservative

0.09% Sodium Azide

Concentration

Please see the vial label for concentration. If unlisted please contact technical services.

Shipping

The product is shipped with polar packs. Upon receipt, store it immediately at the temperature recommended below.

Stability & Storage

Store at -20C. Avoid freeze-thaw cycles.

Background: BNIP3L

Members in the Bcl-2 family are critical regulators of apoptosis by either inhibiting or promoting cell death. Bcl-2 homology 3 (BH3) domain is a potent death domain. BH3 domain containing pro-apoptotic proteins, including Bad, Bax, Bid, Bik, Hrk, Nip3, and Bim, form a growingsubclass of the Bcl-2 family. A novel BH3 domaincontaining protein was recently identified and designated Bnip3L, Bnip3a, and Nix (for Nip3-like protein X) (Matsushima, M. et al.; Yasuda, M. et al.; Chen, G, et al.).Bnip3L/Bnip3a/Nix is a homolog of the E1B 19K/Bcl-2 binding and pro-apoptotic protein Bnip3. Over expression of Bnip3L induces apoptosis (Yasuda, M. et al.; Chen, G, et al.). Bnip3L interacts withand overcomes suppresses by Bcl-2 and Bcl-xL. Bnip3Lis localized in mitochondria. The messenger RNA of Bnip3L is ubiquitously expressed in human tissues (Matsushima, M. et al.; Yasuda, M. et al.). Bnip3L and Bnip3 form a new subfamily of the pro-apoptotic mitochondrial proteins.

Long Name

BCL2/Adenovirus E1B 19 Kda Protein-Interacting Protein 3-Like

Alternate Names

BNIP3a, Nip3L, Nix

Gene Symbol

BNIP3L

Additional BNIP3L Products

Product Documents for BNIP3L Antibody - BSA Free

Certificate of Analysis

To download a Certificate of Analysis, please enter a lot number in the search box below.

Product Specific Notices for BNIP3L Antibody - BSA Free

This product is for research use only and is not approved for use in humans or in clinical diagnosis. Primary Antibodies are guaranteed for 1 year from date of receipt.

Loading...
Loading...
Loading...
Loading...

⚠ WARNING: This product can expose you to chemicals including Methotrexate, which is known to the State of California to cause reproductive toxicity with developmental effects. For more information, go to www.P65Warnings.ca.gov