Skip to main content

BNIP3L Antibody (JE59-98)

Novus Biologicals, part of Bio-Techne | Catalog # NBP3-32087

Recombinant Monoclonal Antibody
Novus Biologicals, part of Bio-Techne
Catalog #
Availability
Size / Price
Qty
Loading...
NBP3-32087

Key Product Details

Species Reactivity

Human, Mouse, Rat, Monkey

Applications

Immunohistochemistry, Immunohistochemistry-Paraffin, Western Blot, Flow Cytometry, Immunocytochemistry/ Immunofluorescence

Label

Unconjugated

Antibody Source

Recombinant Monoclonal Rabbit IgG Clone # JE59-98 expressed in HEK293

Concentration

1 mg/ml

Product Specifications

Immunogen

Synthetic peptide. (Uniprot: O60238)

Localization

Nucleus envelope, Endoplasmic reticulum, Mitochondrion outer membrane, Membrane.

Clonality

Monoclonal

Host

Rabbit

Isotype

IgG

Theoretical MW

24 kDa.
Disclaimer note: The observed molecular weight of the protein may vary from the listed predicted molecular weight due to post translational modifications, post translation cleavages, relative charges, and other experimental factors.

Description

Novus Biologicals Rabbit BNIP3L Antibody (JE59-98) (NBP3-32087) is a recombinant monoclonal antibody validated for use in IHC, WB, Flow and ICC/IF. All Novus Biologicals antibodies are covered by our 100% guarantee.

Scientific Data Images for BNIP3L Antibody (JE59-98)

BNIP3L Antibody (JE59-98)

Western Blot: BNIP3L Antibody (JE59-98) [NBP3-32087]

Western Blot: BNIP3L Antibody (JE59-98) [NBP3-32087] - Western blot analysis of BNIP3L on different lysates with Rabbit anti-BNIP3L antibody (NBP3-32087) at 1/2,000 dilution.

Lane 1: 293T cell lysate
Lane 2: HeLa cell lysate
Lane 3: MCF7 cell lysate
Lane 4: COS-1 cell lysate

Lysates/proteins at 20 ug/Lane.

Predicted band size: 24 kDa
Observed band size: 37 kDa

Exposure time: 1 minute 21 seconds;

4-20% SDS-PAGE gel.

Proteins were transferred to a PVDF membrane and blocked with 5% NFDM/TBST for 1 hour at room temperature. The primary antibody (NBP3-32087) at 1/2,000 dilution was used in 5% NFDM/TBST at 4C overnight. Goat Anti-Rabbit IgG - HRP Secondary Antibody at 1/50,000 dilution was used for 1 hour at room temperature.
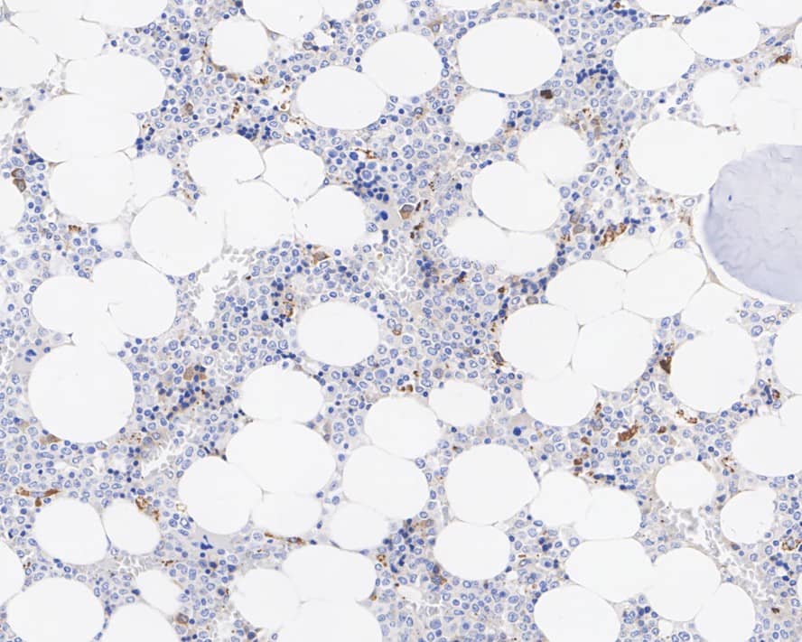
BNIP3L Antibody (JE59-98)

Immunohistochemistry: BNIP3L Antibody (JE59-98) [NBP3-32087]

Immunohistochemistry: BNIP3L Antibody (JE59-98) [NBP3-32087] - Immunohistochemical analysis of paraffin-embedded human bone marrow tissue with Rabbit anti-BNIP3L antibody (NBP3-32087) at 1/500 dilution.

The section was pre-treated using heat mediated antigen retrieval with Tris-EDTA buffer (pH 9.0) for 20 minutes. The tissues were blocked in 1% BSA for 20 minutes at room temperature, washed with ddH2O and PBS, and then probed with the primary antibody (NBP3-32087) at 1/500 dilution for 1 hour at room temperature. The detection was performed using an HRP conjugated compact polymer system. DAB was used as the chromogen. Tissues were counterstained with hematoxylin and mounted with DPX.
BNIP3L Antibody (JE59-98)

Immunocytochemistry/ Immunofluorescence: BNIP3L Antibody (JE59-98) [NBP3-32087]

Immunocytochemistry/ Immunofluorescence: BNIP3L Antibody (JE59-98) [NBP3-32087] - Immunocytochemistry analysis of HeLa cells labeling BNIP3L with Rabbit anti-BNIP3L antibody (NBP3-32087) at 1/200 dilution.

Cells were fixed in 4% paraformaldehyde for 20 minutes at room temperature, permeabilized with 0.1% Triton X-100 in PBS for 5 minutes at room temperature, then blocked with 1% BSA in 10% negative goat serum for 1 hour at room temperature. Cells were then incubated with Rabbit anti-BNIP3L antibody (NBP3-32087) at 1/200 dilution in 1% BSA in PBST overnight at 4 ℃. Goat Anti-Rabbit IgG H&L (iFluor™ 488) was used as the secondary antibody at 1/1,000 dilution. PBS instead of the primary antibody was used as the secondary antibody only control. Nuclear DNA was labelled in blue with DAPI.

Beta tubulin (red) was stained at 1/100 dilution overnight at +4℃. Goat Anti-Mouse IgG H&L (iFluor™ 594) was used as the secondary antibody at 1/1,000 dilution.

Applications for BNIP3L Antibody (JE59-98)

Application
Recommended Usage

Flow Cytometry

1:1000

Immunocytochemistry/ Immunofluorescence

1:200

Immunohistochemistry-Paraffin

1:500-1:2000

Western Blot

1:1000-1:2000

Formulation, Preparation, and Storage

Purification

Protein A purified

Formulation

1*TBS (pH7.4), 0.05% BSA and 40% Glycerol

Preservative

0.05% Sodium Azide

Concentration

1 mg/ml

Shipping

The product is shipped with polar packs. Upon receipt, store it immediately at the temperature recommended below.

Stability & Storage

Store at 4C short term. Aliquot and store at -20C long term. Avoid freeze-thaw cycles.

Background: BNIP3L

Members in the Bcl-2 family are critical regulators of apoptosis by either inhibiting or promoting cell death. Bcl-2 homology 3 (BH3) domain is a potent death domain. BH3 domain containing pro-apoptotic proteins, including Bad, Bax, Bid, Bik, Hrk, Nip3, and Bim, form a growingsubclass of the Bcl-2 family. A novel BH3 domaincontaining protein was recently identified and designated Bnip3L, Bnip3a, and Nix (for Nip3-like protein X) (Matsushima, M. et al.; Yasuda, M. et al.; Chen, G, et al.).Bnip3L/Bnip3a/Nix is a homolog of the E1B 19K/Bcl-2 binding and pro-apoptotic protein Bnip3. Over expression of Bnip3L induces apoptosis (Yasuda, M. et al.; Chen, G, et al.). Bnip3L interacts withand overcomes suppresses by Bcl-2 and Bcl-xL. Bnip3Lis localized in mitochondria. The messenger RNA of Bnip3L is ubiquitously expressed in human tissues (Matsushima, M. et al.; Yasuda, M. et al.). Bnip3L and Bnip3 form a new subfamily of the pro-apoptotic mitochondrial proteins.

Long Name

BCL2/Adenovirus E1B 19 Kda Protein-Interacting Protein 3-Like

Alternate Names

BNIP3a, Nip3L, Nix

Gene Symbol

BNIP3L

Additional BNIP3L Products

Product Documents for BNIP3L Antibody (JE59-98)

Certificate of Analysis

To download a Certificate of Analysis, please enter a lot number in the search box below.

Product Specific Notices for BNIP3L Antibody (JE59-98)

This product is for research use only and is not approved for use in humans or in clinical diagnosis. Primary Antibodies are guaranteed for 1 year from date of receipt.

Loading...
Loading...
Loading...
Loading...
Loading...