Skip to main content

BLNK Antibody (OTI4C9)

Novus Biologicals, part of Bio-Techne | Catalog # NBP2-46577

Novus Biologicals, part of Bio-Techne

Key Product Details

Species Reactivity

Human, Mouse, Rat

Applications

Immunohistochemistry, Immunohistochemistry-Paraffin, Western Blot

Label

Unconjugated

Antibody Source

Monoclonal Mouse IgG2B Clone # OTI4C9

Concentration

1 mg/ml

Product Specifications

Immunogen

Human recombinant protein fragment corresponding to amino acids 1-292 of human BLNK(NP_037446) produced in E.coli.

Reactivity Notes

Please note that this antibody is reactive to Mouse and derived from the same host, Mouse. Mouse-On-Mouse blocking reagent may be needed for IHC and ICC experiments to reduce high background signal. You can find these reagents under catalog numbers PK-2200-NB and MP-2400-NB. Please contact Technical Support if you have any questions.

Clonality

Monoclonal

Host

Mouse

Isotype

IgG2B

Theoretical MW

50.3 kDa.
Disclaimer note: The observed molecular weight of the protein may vary from the listed predicted molecular weight due to post translational modifications, post translation cleavages, relative charges, and other experimental factors.

Description

Novus Biologicals Mouse BLNK Antibody (OTI4C9) (NBP2-46577) is a monoclonal antibody validated for use in IHC and WB. All Novus Biologicals antibodies are covered by our 100% guarantee.

Scientific Data Images for BLNK Antibody (OTI4C9)

Western Blot: BLNK Antibody (OTI4C9) [NBP2-46577]

Western Blot: BLNK Antibody (OTI4C9) [NBP2-46577]

Western Blot: BLNK Antibody (4C9) [NBP2-46577] - Analysis of HEK293T cells were transfected with the pCMV6-ENTRY control (Left lane) or pCMV6-ENTRY BLNK.
Immunohistochemistry: BLNK Antibody (OTI4C9) [NBP2-46577]

Immunohistochemistry: BLNK Antibody (OTI4C9) [NBP2-46577]

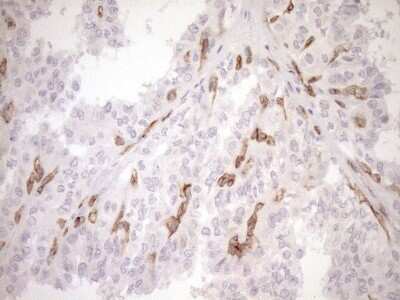
Immunohistochemistry: BLNK Antibody (4C9) [NBP2-46577] - Analysis of Carcinoma of Human thyroid tissue. (Heat-induced epitope retrieval by 1mM EDTA in 10mM Tris buffer (pH8.5) at 120C for 3 min)
Immunohistochemistry: BLNK Antibody (OTI4C9) [NBP2-46577]

Immunohistochemistry: BLNK Antibody (OTI4C9) [NBP2-46577]

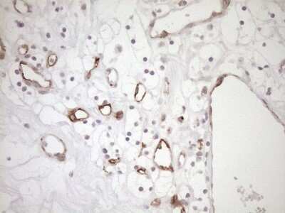
Immunohistochemistry: BLNK Antibody (4C9) [NBP2-46577] - Analysis of Human colon tissue. (Heat-induced epitope retrieval by 1mM EDTA in 10mM Tris buffer (pH8.5) at 120C for 3 min)

Applications for BLNK Antibody (OTI4C9)

Application
Recommended Usage

Immunohistochemistry

1:150

Western Blot

1:2000

Formulation, Preparation, and Storage

Purification

Immunogen affinity purified

Formulation

PBS (pH 7.3), 1.0% BSA and 50% Glycerol

Preservative

0.02% Sodium Azide

Concentration

1 mg/ml

Shipping

The product is shipped with polar packs. Upon receipt, store it immediately at the temperature recommended below.

Stability & Storage

Store at -20C. Avoid freeze-thaw cycles.

Background: BLNK

B-cell linker protein (BLNK, also known as SLP65, BASH, and BCA) is a B cell adaptor that plays an important role in B cell development and in BCR-signal transduction. Since BLNK does not encode any intrinsic enzymatic activity, its function is to serve as a scaffold for assembling macromolecular complexes which includes enzymes (PLC gamma, Vav and Btk) and additional linker proteins (Grb2 and Nck) (1-3). In addition, BLNK binds Btk and is required for activation of the transcription factor NF-

Long Name

B-cell Linker Protein

Alternate Names

BASH, Ly57, SLP65

Gene Symbol

BLNK

Additional BLNK Products

Product Documents for BLNK Antibody (OTI4C9)

Certificate of Analysis

To download a Certificate of Analysis, please enter a lot number in the search box below.

Product Specific Notices for BLNK Antibody (OTI4C9)

This product is for research use only and is not approved for use in humans or in clinical diagnosis. Primary Antibodies are guaranteed for 1 year from date of receipt.

Loading...
Loading...
Loading...
Loading...