Skip to main content

BIG3 Antibody - BSA Free

Novus Biologicals, part of Bio-Techne | Catalog # NBP1-90759

Novus Biologicals, part of Bio-Techne
Catalog #
Availability
Size / Price
Qty
Loading...
NBP1-90759
NBP1-90759-25ul

Key Product Details

Species Reactivity

Validated:

Human

Predicted:

Mouse (96%), Rat (95%). Backed by our 100% Guarantee.

Applications

Immunohistochemistry, Immunohistochemistry-Paraffin, Western Blot

Label

Unconjugated

Antibody Source

Polyclonal Rabbit IgG

Format

BSA Free

Concentration

Concentrations vary lot to lot. See vial label for concentration. If unlisted please contact technical services.

Product Specifications

Immunogen

This antibody was developed against Recombinant Protein corresponding to amino acids: SLKLLKNQEADQHSARLFIQSLEGLLPRLLSLSNVEEVDTALQNFASTFCSGMMHSPGFDGNSSLSFQMLMNADSLYTAAHCALLLNLKLSHG

Clonality

Polyclonal

Host

Rabbit

Isotype

IgG

Scientific Data Images for BIG3 Antibody - BSA Free

Western Blot: BIG3 Antibody [NBP1-90759]

Western Blot: BIG3 Antibody [NBP1-90759]

Western Blot: BIG3 Antibody [NBP1-90759] - Analysis in human cell line SK-BR-3.
BIG3 Antibody

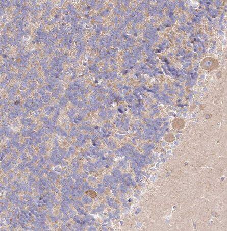
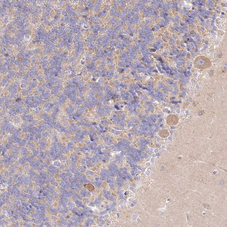
Immunohistochemistry-Paraffin: BIG3 Antibody [NBP1-90759] -

Immunohistochemistry-Paraffin: BIG3 Antibody [NBP1-90759] - Staining of human cerebellum shows moderate cytoplasmic positivity in Purkinje cells.
BIG3 Antibody

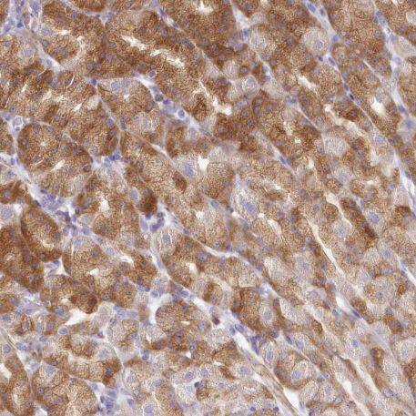
Immunohistochemistry-Paraffin: BIG3 Antibody [NBP1-90759] -

Immunohistochemistry-Paraffin: BIG3 Antibody [NBP1-90759] -Staining of human stomach shows moderate cytoplasmic positivity in glandular cells.

Applications for BIG3 Antibody - BSA Free

Application
Recommended Usage

Immunohistochemistry

1:20 - 1:50

Immunohistochemistry-Paraffin

1:20 - 1:50

Western Blot

0.04-0.4 ug/ml
Application Notes
For IHC-Paraffin, HIER pH 6 retrieval is recommended.

Formulation, Preparation, and Storage

Purification

Affinity purified

Formulation

PBS (pH 7.2) and 40% Glycerol

Format

BSA Free

Preservative

0.02% Sodium Azide

Concentration

Concentrations vary lot to lot. See vial label for concentration. If unlisted please contact technical services.

Shipping

The product is shipped with polar packs. Upon receipt, store it immediately at the temperature recommended below.

Stability & Storage

Store at 4C short term. Aliquot and store at -20C long term. Avoid freeze-thaw cycles.

Background: BIG3

Alternate Names

A7322, brefeldin A-inhibited guanine nucleotide-exchange protein 3, KIAA1244

Gene Symbol

KIAA1244

Additional BIG3 Products

Product Documents for BIG3 Antibody - BSA Free

Certificate of Analysis

To download a Certificate of Analysis, please enter a lot number in the search box below.

Product Specific Notices for BIG3 Antibody - BSA Free

This product is for research use only and is not approved for use in humans or in clinical diagnosis. Primary Antibodies are guaranteed for 1 year from date of receipt.

Loading...
Loading...
Loading...
Loading...