Skip to main content

Beta Dystroglycan Antibody (GT9112) - Azide and BSA Free

Novus Biologicals, part of Bio-Techne | Catalog # NBP3-13642

Novus Biologicals, part of Bio-Techne
Catalog #
Availability
Size / Price
Qty
Loading...
NBP3-13642

Key Product Details

Validated by

Knockout/Knockdown

Species Reactivity

Human, Mouse

Applications

Immunohistochemistry, Immunohistochemistry-Paraffin, Western Blot

Label

Unconjugated

Antibody Source

Monoclonal Mouse IgG1 Clone # GT9112

Format

Azide and BSA Free

Concentration

Concentrations vary lot to lot. See vial label for concentration. If unlisted please contact technical services.

Product Specifications

Immunogen

Recombinant protein encompassing a sequence within the C-terminus region of human Beta Dystroglycan / beta Dystroglycan. The exact sequence is proprietary.

Clonality

Monoclonal

Host

Mouse

Isotype

IgG1

Description

Centrifuge briefly prior to opening.

Scientific Data Images for Beta Dystroglycan Antibody (GT9112) - Azide and BSA Free

Western Blot: Beta Dystroglycan Antibody (GT9112) [NBP3-13642]

Western Blot: Beta Dystroglycan Antibody (GT9112) [NBP3-13642]

Western Blot: Beta Dystroglycan Antibody (GT9112) [NBP3-13642] - Wild-type (WT) and Beta Dystroglycan knockout (KO) 293T cell extracts (30 ug) were separated by 10% SDS-PAGE, and the membrane was blotted with Beta Dystroglycan antibody [GT9112] (NBP3-13642) diluted at 1:500. The HRP-conjugated anti-mouse IgG antibody (NBP2-19382) was used to detect the primary antibody.
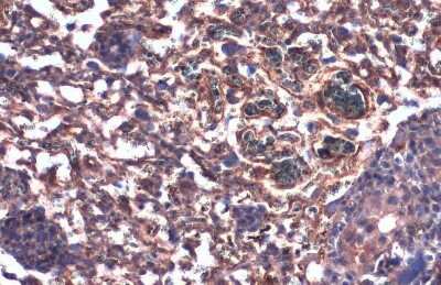
Immunohistochemistry-Paraffin: Beta Dystroglycan Antibody (GT9112) [NBP3-13642]

Immunohistochemistry-Paraffin: Beta Dystroglycan Antibody (GT9112) [NBP3-13642]

Immunohistochemistry-Paraffin: Beta Dystroglycan Antibody (GT9112) [NBP3-13642] - Beta Dystroglycan antibody [GT9112] detects Beta Dystroglycan protein at cell membrane and cytoplasm by immunohistochemical analysis. Sample: Paraffin-embedded mouse placenta. Beta Dystroglycan stained by Beta Dystroglycan antibody [GT9112] (NBP3-13642) diluted at 1:200. Antigen Retrieval: Citrate buffer, pH 6.0, 15 min
Western Blot: Beta Dystroglycan Antibody (GT9112) [NBP3-13642]

Western Blot: Beta Dystroglycan Antibody (GT9112) [NBP3-13642]

Western Blot: Beta Dystroglycan Antibody (GT9112) [NBP3-13642] - Various whole cell extracts (30 ug) were separated by 10% SDS-PAGE, and the membrane was blotted with Beta Dystroglycan antibody [GT9112] (NBP3-13642) diluted at 1:500. The HRP-conjugated anti-mouse IgG antibody (NBP2-19382) was used to detect the primary antibody.

Applications for Beta Dystroglycan Antibody (GT9112) - Azide and BSA Free

Application
Recommended Usage

Immunohistochemistry

Optimal dilutions of this antibody should be experimentally determined.

Immunohistochemistry-Paraffin

Optimal dilutions of this antibody should be experimentally determined.

Western Blot

Optimal dilutions of this antibody should be experimentally determined.

Formulation, Preparation, and Storage

Purification

Protein G purified

Formulation

PBS, 20% Glycerol

Format

Azide and BSA Free

Preservative

No Preservative

Concentration

Concentrations vary lot to lot. See vial label for concentration. If unlisted please contact technical services.

Shipping

The product is shipped with polar packs. Upon receipt, store it immediately at the temperature recommended below.

Stability & Storage

Store at 4C short term. Aliquot and store at -20C long term. Avoid freeze-thaw cycles.

Background: Beta Dystroglycan

The dystroglycan complex is a membrane-spanning complex composed of two subunits, alpha- and beta-dystroglycan. Alpha-dystroglycan is a cell surface peripheral membrane protein which binds to the extracellular matrix (ECM), whereas beta-dystroglycan is an integral membrane protein which anchors alpha-dystroglycan to the cell membrane. The dystroglycan complex provides a tight link between the ECM and cell membrane. Dysfunction of the dystroglycan complex has commonly been implicated in the molecular pathogenesis of severe forms of hereditary neuromuscular diseases, including Duchenne muscular dystrophy, Fukuyama-type congenital muscular dystrophy and sarcoglycanopathy (1). Human dystroglycan is expressed in a variety of fetal and adult tissues. Data suggest that muscle and non-muscle isoforms of dystroglycan differ by carbohydrate moieties but not protein sequence. Therefore variable glycosylation of the conserved protein core might modulate laminin binding (2). beta-dystroglycan has been localized to microvilli structures in a number of cell types where it associates with the cytoskeletal adaptor ezrin, through which it is able to modulate the actin cytoskeleton and induce peripheral filopodia and microvilli (3).

Alternate Names

A3a, AGRNR, DAG156DAG, dystroglycan, dystroglycan 1 (dystrophin-associated glycoprotein 1), Dystrophin-associated glycoprotein 1

Gene Symbol

DAG1

Additional Beta Dystroglycan Products

Product Documents for Beta Dystroglycan Antibody (GT9112) - Azide and BSA Free

Certificate of Analysis

To download a Certificate of Analysis, please enter a lot number in the search box below.

Product Specific Notices for Beta Dystroglycan Antibody (GT9112) - Azide and BSA Free

This product is for research use only and is not approved for use in humans or in clinical diagnosis. Primary Antibodies are guaranteed for 1 year from date of receipt.

Loading...
Loading...
Loading...
Loading...