beta-Catenin Antibody (CTNNB1/6807R) - Azide and BSA Free
Novus Biologicals, part of Bio-Techne | Catalog # NBP3-24344
Recombinant Monoclonal Antibody
Conjugate
Catalog #
Key Product Details
Species Reactivity
Human
Applications
Immunohistochemistry-Paraffin
Label
Unconjugated
Antibody Source
Monoclonal Rabbit IgG Kappa Clone # CTNNB1/6807R
Format
Azide and BSA Free
Concentration
1 mg/ml
Product Specifications
Immunogen
Recombinant fragment (around aa1-200) of human beta-Catenin protein (exact sequence is proprietary)
Localization
Cell surface. Cytoplasm.
Clonality
Monoclonal
Host
Rabbit
Isotype
IgG Kappa
Description
Antibody without azide - store at -20 to -80C.
Scientific Data Images for beta-Catenin Antibody (CTNNB1/6807R) - Azide and BSA Free
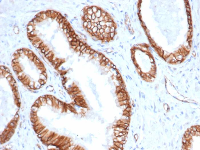
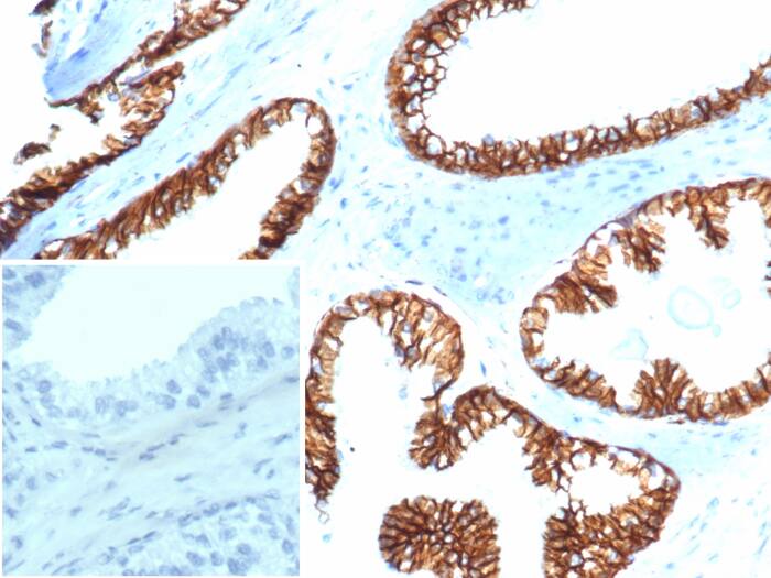
Immunohistochemistry-Paraffin: beta-Catenin Antibody (CTNNB1/6807R) - Azide and BSA Free [NBP3-24344] -
Formalin-fixed, paraffin-embedded human prostate carcinoma stained with beta-Catenin antibody (CTNNB1/6807R) - Azide and BSA Free. Inset: PBS instead of primary antibody; secondary only negative controlImmunohistochemistry-Paraffin: beta-Catenin Antibody (CTNNB1/6807R) - Azide and BSA Free [NBP3-24344] -
Formalin-fixed, paraffin-embedded human prostate carcinoma stained with beta-Catenin antibody (CTNNB1/6807R) - Azide and BSA Free. HIER: Tris/EDTA, pH9.0, 45min. Secondary: HRP-polymer, 30min. DAB, 5min.Applications for beta-Catenin Antibody (CTNNB1/6807R) - Azide and BSA Free
Application
Recommended Usage
Immunohistochemistry-Paraffin
1-2ug/ml
Application Notes
Immunohistochemistry-Paraffin: 1-2ug/ml for 30 minutes at RT. Staining of formalin-fixed tissues requires heating tissue sections in 10mM Tris with 1mM EDTA, pH 9.0, for 45 min at 95C followed by cooling at RT for 20 minutes. Optimal dilution for a specific application should be determined.
Formulation, Preparation, and Storage
Purification
Protein A purified
Formulation
10mM PBS
Format
Azide and BSA Free
Preservative
No Preservative
Concentration
1 mg/ml
Shipping
The product is shipped with polar packs. Upon receipt, store it immediately at the temperature recommended below.
Stability & Storage
Store at -20 to -80C. Avoid freeze-thaw cycles.
Background: beta-Catenin
Alternate Names
bCatenin, CTNNB1
Gene Symbol
CTNNB1
Additional beta-Catenin Products
Product Documents for beta-Catenin Antibody (CTNNB1/6807R) - Azide and BSA Free
Product Specific Notices for beta-Catenin Antibody (CTNNB1/6807R) - Azide and BSA Free
This product is for research use only and is not approved for use in humans or in clinical diagnosis. Primary Antibodies are guaranteed for 1 year from date of receipt.
Loading...
Loading...
Loading...
Loading...