Skip to main content

beta Amyloid Antibody - BSA Free

Novus Biologicals, part of Bio-Techne | Catalog # NBP2-25093

Novus Biologicals, part of Bio-Techne

Key Product Details

Validated by

Knockout/Knockdown

Species Reactivity

Validated:

Human, Mouse, Rat, Bacteria

Cited:

Mouse, Rat, Bacteria

Predicted:

Bovine (100%), Guinea Pig (100%), Porcine (100%), Rabbit (100%), Sheep (100%). Backed by our 100% Guarantee.

Applications

Validated:

Immunohistochemistry, Immunohistochemistry-Paraffin, Western Blot, ELISA, Immunoprecipitation

Cited:

Immunohistochemistry-Paraffin, Western Blot, Immunoprecipitation

Label

Unconjugated

Antibody Source

Polyclonal Rabbit IgG

Format

BSA Free

Concentration

1 mg/ml

Product Specifications

Immunogen

This beta Amyloid antibody was raised against a 10 amino acid peptide on the amino terminus of the 4KDa beta Amyloid peptide generated by beta- and gamma-secretases. The immunogen is located within amino acids 650 - 700 of human amyloid A4 protein precursor (APP). Amino Acid Squence: DAEFRHDSGYE

Reactivity Notes

Use in Mouse reported in scientific literature (PMID:33756153).

Clonality

Polyclonal

Host

Rabbit

Isotype

IgG

Theoretical MW

115 kDa.
Disclaimer note: The observed molecular weight of the protein may vary from the listed predicted molecular weight due to post translational modifications, post translation cleavages, relative charges, and other experimental factors.

Description

Novus Biologicals Rabbit beta Amyloid Antibody - BSA Free (NBP2-25093) is a polyclonal antibody validated for use in IHC, WB, ELISA and IP. Anti-beta Amyloid Antibody: Cited in 4 publications. All Novus Biologicals antibodies are covered by our 100% guarantee.

Scientific Data Images for beta Amyloid Antibody - BSA Free

beta Amyloid Antibody - BSA Free

Western Blot: beta Amyloid Antibody - BSA Free [NBP2-25093] -

Western Blot: beta Amyloid Antibody - BSA Free [NBP2-25093] - KO Validation in 293T Cells Loading: 10 ug of lysate Antibodies: beta Amyloid, 0.5 ug/mL and beta-actin, 1 ug/mL, 1 h incubation at RT in 5% NFDM/TBST. Secondary: Goat Anti-Rabbit IgG HRP conjugate at 1:10000 dilution.
beta Amyloid Antibody - BSA Free

Immunohistochemistry: beta Amyloid Antibody - BSA Free [NBP2-25093] -

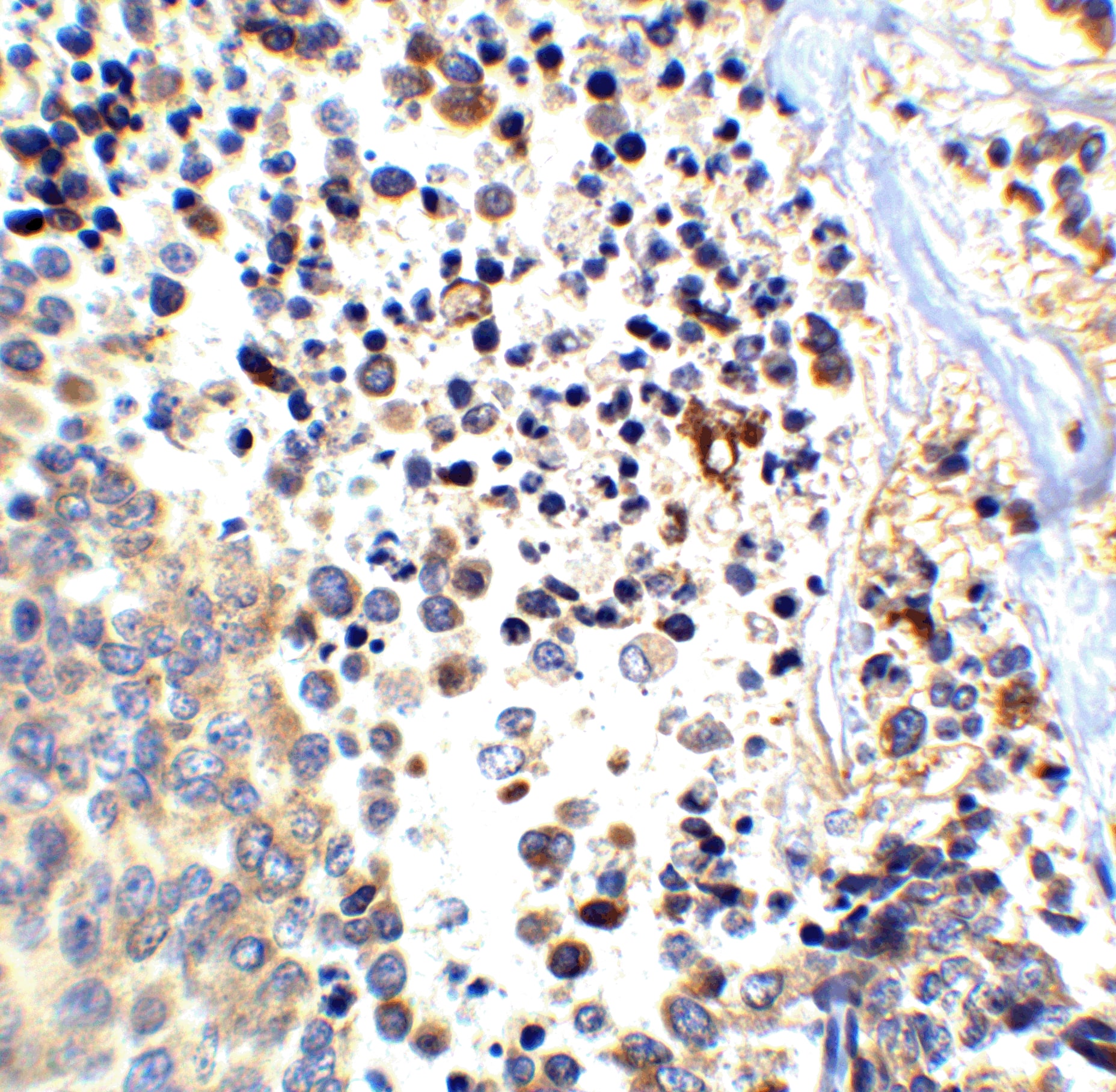
Immunohistochemistry: beta Amyloid Antibody - BSA Free [NBP2-25093] - Immunohistochemistry of beta Amyloid in human brain tissue with beta Amyloid antibody at 2.5 ug/ml.
beta Amyloid Antibody - BSA Free

Immunohistochemistry: beta Amyloid Antibody - BSA Free [NBP2-25093] -

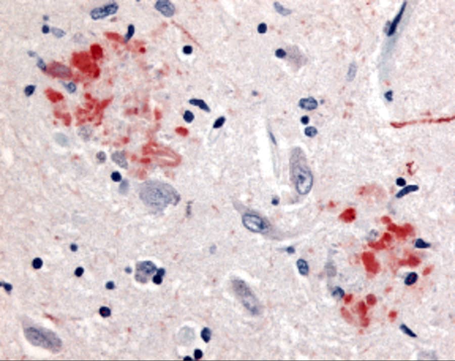
Immunohistochemistry: beta Amyloid Antibody - BSA Free [NBP2-25093] - Immunohistochemistry of beta Amyloid in human brain (Alzheimer's disease) tissue with beta Amyloid antibody at 10 ug/mL.

Applications for beta Amyloid Antibody - BSA Free

Application
Recommended Usage

ELISA

1:100-1:2000

Immunohistochemistry

2.5 ug/ml

Immunohistochemistry-Paraffin

2.5 ug/ml

Western Blot

1ug/ml
Application Notes
Use in IP reported in secitific publication PMID: 32413239

Reviewed Applications

Read 1 review rated 3 using NBP2-25093 in the following applications:

Formulation, Preparation, and Storage

Purification

Peptide affinity purified

Formulation

PBS

Format

BSA Free

Preservative

0.02% Sodium Azide

Concentration

1 mg/ml

Shipping

The product is shipped with polar packs. Upon receipt, store it immediately at the temperature recommended below.

Stability & Storage

Store at 4C short term. Aliquot and store at -20C long term. Avoid freeze-thaw cycles.

Background: Amyloid beta

Beta amyloid, also known as Abeta, is a peptide that varies in length from 39 to 43 amino acids and is processed from the transmembrane protein amyloid precursor protein (APP) by beta-secretase (BACE-1) and gamma-secretase. Beta amyloid [1-40], beta amyloid [1-42], and beta amyloid [1-43] peptides result from cleavage of APP after residues 40, 42, and 43, respectively. The aggregation of beta amyloid monomers produces insoluble oligomers and protofibrils. The longer "stickier" forms of beta amyloid, particularly ABeta42, are known as the main component of amyloid plaques, which are deposits (senile plaques or neuritic plaques) found in the brains of patients with Alzheimer's disease (AD) (1,2). Research indicates that intraneuronal beta amyloid accumulation may be an important proximal neurotoxic event in the pathogenesis of Alzheimer's disease. Abeta deposits have also been reported in the hearts of AD patients (3).

Pyroglutamate amyloid beta peptides (pGlu-Abeta) are N-terminal truncations in which the N-terminal glutamate is cyclized to pyroglutamate resulting in pGlu-Abeta (3-40/42 and 11-40/42) (4). This pyrE modification may have a greater propensity to aggregate under physiological conditions and has been implicated as the molecular species responsible for seeding larger oligomers of amyloid beta.

References

1. Chen GF, Xu TH, Yan Y, Zhou YR, Jiang Y, Melcher K, Xu HE. (2017) Amyloid beta: structure, biology and structure-based therapeutic development. Acta Pharmacol Sin. 38(9):1205-1235. PMID: 28713158

2. De-Paula VJ1, Radanovic M, Diniz BS, Forlenza OV. (2012) Alzheimer's disease. Subcell Biochem. 65:329-52. PMID: 23225010

3. Schaich CL, Maurer MS, Nadkarni NK. (2019) Amyloidosis of the Brain and Heart: Two Sides of the Same Coin? JACC Heart Fail. 7(2):129-131. PMID: 30704604

4. He W, Barrow CJ. (1999) The A beta 3-pyroglutamyl and 11-pyroglutamyl peptides found in senile plaque have greater beta-sheet forming and aggregation propensities in vitro than full-length A beta. Biochemistry. 38(33):10871-7. PMID: 10451383

Alternate Names

Abeta, beta-Amyloid Peptide

Gene Symbol

APP

Additional Amyloid beta Products

Product Documents for beta Amyloid Antibody - BSA Free

Certificate of Analysis

To download a Certificate of Analysis, please enter a lot number in the search box below.

Product Specific Notices for beta Amyloid Antibody - BSA Free

This product is for research use only and is not approved for use in humans or in clinical diagnosis. Primary Antibodies are guaranteed for 1 year from date of receipt.

Loading...
Loading...
Loading...
Loading...