Skip to main content

beta Amyloid Antibody - BSA Free

Novus Biologicals, part of Bio-Techne | Catalog # NBP1-78007

Novus Biologicals, part of Bio-Techne
Catalog #
Availability
Size / Price
Qty
Loading...
NBP1-78007

Key Product Details

Species Reactivity

Human, Mouse

Applications

Immunohistochemistry, Immunohistochemistry-Paraffin, Western Blot, ELISA, Immunocytochemistry/ Immunofluorescence, Dot Blot

Label

Unconjugated

Antibody Source

Polyclonal Rabbit IgG

Format

BSA Free

Concentration

Please see the vial label for concentration. If unlisted please contact technical services.

Product Specifications

Immunogen

This antibody was affinity purified from whole rabbit serum prepared by repeated immunizations with a synthetic peptide corresponding to an extracellular region of human beta amyloid conjugated to KLH using maleimide. (Uniprot: P05067)

Reactivity Notes

Cross reactivity with beta amyloid from other species is likely but has not been determined

Specificity

This affinity purified antibody is directed against extracellular region of beta amyloid and is useful in determining its presence in various assays. Polyclonal anti-beta amyloid detects human and mouse beta amyloid. Blast analysis of the sequence of the immunogen shows 100% identity with Human, Guinea Pig, Pig, Cyno Monkey, Dog, Polar Bear, Rabbit, Chimp, Squirrel monkey, and Sheep. Cross reactivity with beta amyloid from other species is likely but has not been determined.

Clonality

Polyclonal

Host

Rabbit

Isotype

IgG

Description

This affinity purified antibody is directed against extracellular region of beta amyloid and is useful in determining its presence in various assays. Polyclonal anti-beta amyloid detects human and mouse beta amyloid. Blast analysis of the sequence of the immunogen shows 100% identity with Human, Guinea Pig, Pig, Cyno Monkey, Dog, Polar Bear, Rabbit, Chimp, Squirrel monkey, and Sheep. Cross reactivity with beta amyloid from other species is likely but has not been determined.

Store vial at -20C prior to opening. Aliquot contents and freeze at -20C or below for extended storage. Avoid cycles of freezing and thawing. Centrifuge product if not completely clear after standing at room temperature. This product is stable for several weeks at 4C as an undiluted liquid. Dilute only prior to immediate use.

Scientific Data Images for beta Amyloid Antibody - BSA Free

Western Blot: beta Amyloid Antibody [NBP1-78007]

Western Blot: beta Amyloid Antibody [NBP1-78007]

Western Blot: beta Amyloid Antibody [NBP1-78007] - Western Blot of beta Amyloid antibody. Lane 1: Opal Prestained Molecular Weight Martker. Lane 2: HEK293T Whole Cell Lysate. Lane 3: Mouse Brain Whole Cell Lysate. Lane 4: A-172 Whole Cell Lysate.Load: 10ug/lane. Primary Antibody: Anti-beta Amyloid at 1ug/mL overnight at 2-8C. Secondary Antibody: Goat Anti-Rabbit IgG HRP Conjugated at 1:70,000 for 30min at RT. Block: BlockOut Buffer. Predicted MW: ~40-50kDa. Observed MW: ~48kDa.
Immunocytochemistry/ Immunofluorescence: beta Amyloid Antibody [NBP1-78007]

Immunocytochemistry/ Immunofluorescence: beta Amyloid Antibody [NBP1-78007]

Immunocytochemistry/Immunofluorescence: beta Amyloid Antibody [NBP1-78007]
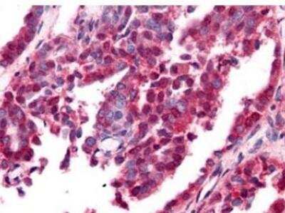
Immunohistochemistry: beta Amyloid Antibody [NBP1-78007]

Immunohistochemistry: beta Amyloid Antibody [NBP1-78007]

Immunohistochemistry: beta Amyloid Antibody [NBP1-78007] - Human Heart (formalin-fixed, paraffin-embedded) stained with beta Amyloid antibody at 5 ug/ml followed by biotinylated goat anti-rabbit IgG secondary antibody, alkaline phosphatase-streptavidin and chromogen.

Applications for beta Amyloid Antibody - BSA Free

Application
Recommended Usage

ELISA

1:10000-1:30000

Immunocytochemistry/ Immunofluorescence

1:50-1:200

Immunohistochemistry

1:50-1:200

Immunohistochemistry-Paraffin

1:10-1:500

Western Blot

1:1000-1:5000
Application Notes
Affinity purified This product has been tested by ELISA, IHC, WB, and IF. A 45.8kDa band is detected in western blot using whole tissue extracts and lysates from mouse and human. In general, we recommend the use of 4% PFA or 10% formalin for fixation of tissues with IHC-paraffin or IHC-frozen application of this antibody.

Formulation, Preparation, and Storage

Purification

Immunogen affinity purified

Formulation

0.02 M Potassium Phosphate, 0.15 M Sodium Chloride, pH 7.2

Format

BSA Free

Preservative

0.01% Sodium Azide

Concentration

Please see the vial label for concentration. If unlisted please contact technical services.

Shipping

The product is shipped with polar packs. Upon receipt, store it immediately at the temperature recommended below.

Stability & Storage

Store at -20C short term. Aliquot and store at -80C long term. Avoid freeze-thaw cycles.

Background: Amyloid beta

Beta amyloid, also known as Abeta, is a peptide that varies in length from 39 to 43 amino acids and is processed from the transmembrane protein amyloid precursor protein (APP) by beta-secretase (BACE-1) and gamma-secretase. Beta amyloid [1-40], beta amyloid [1-42], and beta amyloid [1-43] peptides result from cleavage of APP after residues 40, 42, and 43, respectively. The aggregation of beta amyloid monomers produces insoluble oligomers and protofibrils. The longer "stickier" forms of beta amyloid, particularly ABeta42, are known as the main component of amyloid plaques, which are deposits (senile plaques or neuritic plaques) found in the brains of patients with Alzheimer's disease (AD) (1,2). Research indicates that intraneuronal beta amyloid accumulation may be an important proximal neurotoxic event in the pathogenesis of Alzheimer's disease. Abeta deposits have also been reported in the hearts of AD patients (3).

Pyroglutamate amyloid beta peptides (pGlu-Abeta) are N-terminal truncations in which the N-terminal glutamate is cyclized to pyroglutamate resulting in pGlu-Abeta (3-40/42 and 11-40/42) (4). This pyrE modification may have a greater propensity to aggregate under physiological conditions and has been implicated as the molecular species responsible for seeding larger oligomers of amyloid beta.

References

1. Chen GF, Xu TH, Yan Y, Zhou YR, Jiang Y, Melcher K, Xu HE. (2017) Amyloid beta: structure, biology and structure-based therapeutic development. Acta Pharmacol Sin. 38(9):1205-1235. PMID: 28713158

2. De-Paula VJ1, Radanovic M, Diniz BS, Forlenza OV. (2012) Alzheimer's disease. Subcell Biochem. 65:329-52. PMID: 23225010

3. Schaich CL, Maurer MS, Nadkarni NK. (2019) Amyloidosis of the Brain and Heart: Two Sides of the Same Coin? JACC Heart Fail. 7(2):129-131. PMID: 30704604

4. He W, Barrow CJ. (1999) The A beta 3-pyroglutamyl and 11-pyroglutamyl peptides found in senile plaque have greater beta-sheet forming and aggregation propensities in vitro than full-length A beta. Biochemistry. 38(33):10871-7. PMID: 10451383

Alternate Names

Abeta, beta-Amyloid Peptide

Entrez Gene IDs

351 (Human)

Gene Symbol

APP

UniProt

Additional Amyloid beta Products

Product Documents for beta Amyloid Antibody - BSA Free

Certificate of Analysis

To download a Certificate of Analysis, please enter a lot number in the search box below.

Product Specific Notices for beta Amyloid Antibody - BSA Free

This product is for research use only and is not approved for use in humans or in clinical diagnosis. Primary Antibodies are guaranteed for 1 year from date of receipt.

Loading...
Loading...
Loading...
Loading...