Skip to main content

beta-Actin Antibody (RM112) [Biotin]

Novus Biologicals, part of Bio-Techne | Catalog # NBP3-18848

Recombinant Monoclonal Antibody
Novus Biologicals, part of Bio-Techne
Catalog #
Availability
Size / Price
Qty
Loading...
NBP3-18848

Key Product Details

Species Reactivity

Non-species specific

Applications

Immunohistochemistry, Western Blot, Immunocytochemistry/ Immunofluorescence, Immunoprecipitation, Chromatin Immunoprecipitation (ChIP)

Label

Biotin

Antibody Source

Recombinant Monoclonal Rabbit IgG Clone # RM112 expressed in HEK293

Concentration

Please see the vial label for concentration. If unlisted please contact technical services.

Product Specifications

Immunogen

A peptide corresponding to the N-terminus of beta-Actin (Uniprot # P60709)

Specificity

No cross reactivity with other isoforms of Actin.

Clonality

Monoclonal

Host

Rabbit

Isotype

IgG

Scientific Data Images for beta-Actin Antibody (RM112) [Biotin]

beta-Actin Antibody (RM112) [Biotin]

Western Blot: beta-Actin Antibody (RM112) [Biotin] [NBP3-18848] -

Western Blot: beta-Actin Antibody (RM112) [Biotin] [NBP3-18848] - Western blot of A431 cells, using RM112 at a 1/1000 dilution, showed a band of beta-Actin at the predicted MW (42 kDa).
beta-Actin Antibody (RM112) [Biotin]

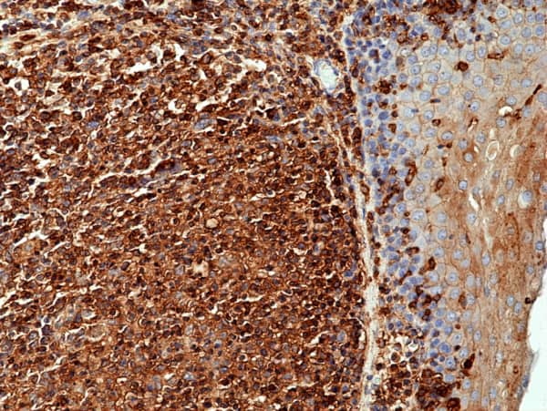
Immunohistochemistry-Paraffin: beta-Actin Antibody (RM112) [Biotin] [NBP3-18848] -

Immunohistochemistry-Paraffin: beta-Actin Antibody (RM112) [Biotin] [NBP3-18848] - Immunohistochemical staining of formalin fixed and paraffin embedded human tonsil tissue using Clone RM112 at a 1:1000 dilution.
beta-Actin Antibody (RM112) [Biotin]

Immunocytochemistry/ Immunofluorescence: beta-Actin Antibody (RM112) [Biotin] [NBP3-18848] -

Immunocytochemistry/ Immunofluorescence: beta-Actin Antibody (RM112) [Biotin] [NBP3-18848] - Immunocytochemical staining of HeLa cells, using NBP3-18848 at 1/200 dilution (red). Nuclei have been labeled with DAPI (blue).

Applications for beta-Actin Antibody (RM112) [Biotin]

Application
Recommended Usage

Chromatin Immunoprecipitation (ChIP)

1:200

Immunocytochemistry/ Immunofluorescence

1:200

Immunohistochemistry

1:200

Immunoprecipitation

1:200

Western Blot

1:1000

Formulation, Preparation, and Storage

Purification

Protein A purified

Formulation

50% Glycerol, PBS, 1% BSA

Preservative

0.09% Sodium Azide

Concentration

Please see the vial label for concentration. If unlisted please contact technical services.

Shipping

The product is shipped with polar packs. Upon receipt, store it immediately at the temperature recommended below.

Stability & Storage

Store at -20C.

Background: beta-Actin

Actin is a highly conserved protein involved in cell motility, structure, and integrity. Six functional actin isoforms exist and were named based on their electrophoretic mobility and distribution including alpha-cardiac muscle actin (aCAA), alpha-skeletal muscle actin (aSKA), alpha-smooth muscle actin (aSMA), beta-cytoplasmic actin (bCYA), gamma-cytoplasmic actin (gCYA) and gamma-smooth muscle actin (gSMA) (1). The cytoplasmic isoforms, beta-actin and gamma-actin, are nearly identical, differing by only 4 amino acids at the N-terminus with a theoretical molecular weight of 42 kDa (2). Beta-actin is ubiquitously expressed in eukaryotic cells and considered a housekeeping gene which is frequently used as a loading control for assays involving protein detection, such as Western blotting (3,4).

References

1. Vandekerckhove J, Weber K. 1978. At least six different actins are expressed in a higher mammal: an analysis based on the amino acid sequence of the amino-terminal tryptic peptide. J Mol Biol. 126(4):783-802. PMID: 745245

2. Gimona M, Vandekerckhove J, Goethals M, Herzog M, Lando Z, Small JV. (1994) Beta-actin specific monoclonal antibody. Cell Motil Cytoskeleton. 27(2):108-16. PMID: 8162619

3. Holden VI, Lenio S, Kuick R, Ramakrishnan SK, Shah YM, Bachman MA. (2014) Bacterial siderophores that evade or overwhelm Lipocalin 2 induce HIF-1a and pro-inflammatory cytokine secretion in cultured respiratory epithelial cells Infect Immun. 82(9):3826-36 PMID: 24980968

4. Tsai WL, Yeh PH, Tsai CY, Ting CT, Chiu YH, Tao MH, Li WC, Hung SC. (2016) Efficient Programming of Human Mesenchymal Stem Cell Derived Hepatocytes by Epigenetic Regulations. J. Gastroenterol. Hepatol. 32(1):261-269. PMID: 27218433

Alternate Names

ACTB, betaActin

Gene Symbol

ACTB

Additional beta-Actin Products

Product Documents for beta-Actin Antibody (RM112) [Biotin]

Certificate of Analysis

To download a Certificate of Analysis, please enter a lot number in the search box below.

Product Specific Notices for beta-Actin Antibody (RM112) [Biotin]

This product is for research use only and is not approved for use in humans or in clinical diagnosis. Primary Antibodies are guaranteed for 1 year from date of receipt.

Loading...
Loading...
Loading...
Loading...
Loading...