Skip to main content

beta-Actin Antibody (ACTB/2370) - Azide and BSA Free

Novus Biologicals, part of Bio-Techne | Catalog # NBP3-20760

Novus Biologicals, part of Bio-Techne

Key Product Details

Species Reactivity

Human

Applications

Immunohistochemistry-Paraffin

Label

Unconjugated

Antibody Source

Monoclonal Mouse IgG Clone # ACTB/2370

Format

Azide and BSA Free

Concentration

1 mg/ml

Product Specifications

Immunogen

Recombinant fragment (around aa150-350) of human beta-Actin protein (exact sequence is proprietary)

Localization

Cytoplasm > cytoskeleton. Localized in cytoplasmic mRNP granules containing untranslated mRNAs.

Clonality

Monoclonal

Host

Mouse

Isotype

IgG

Description

Positive Controls: Human myoepithelial cells.

Antibody with azide - store at 2 to 8C. Antibody without azide - store at -20 to -80C. Non-hazardous. No MSDS required.

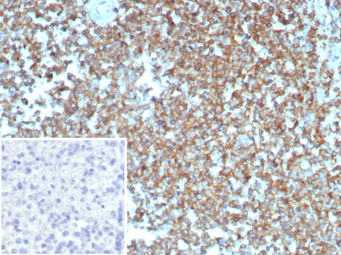
Scientific Data Images for beta-Actin Antibody (ACTB/2370) - Azide and BSA Free

beta-Actin Antibody (ACTB/2370) - Azide and BSA Free

beta-Actin Antibody (ACTB/2370)

Formalin-fixed, paraffin-embedded human spleen stained with beta-Actin antibody (ACTB/2370). Inset: PBS instead of primary antibody; secondary only negative control.

Applications for beta-Actin Antibody (ACTB/2370) - Azide and BSA Free

Application
Recommended Usage

Immunohistochemistry-Paraffin

1-2 ug/ml
Application Notes
Immunohistochemistry (Formalin-fixed): 1-2ug/ml for 30 minutes. at RT. Staining of formalin-fixed tissues requires heating tissue sections in 10mM Tris with 1mM EDTA, pH 9.0, for 45 min at 95C followed by cooling at RT for 20 minutes.

Optimal dilution for a specific application should be determined.

Formulation, Preparation, and Storage

Purification

Protein A or G purified

Formulation

10mM PBS

Format

Azide and BSA Free

Preservative

No Preservative

Concentration

1 mg/ml

Shipping

The product is shipped with polar packs. Upon receipt, store it immediately at the temperature recommended below.

Stability & Storage

Store at -20 to -70C. Avoid freeze-thaw cycles.

Background: beta-Actin

Actin is a highly conserved protein involved in cell motility, structure, and integrity. Six functional actin isoforms exist and were named based on their electrophoretic mobility and distribution including alpha-cardiac muscle actin (aCAA), alpha-skeletal muscle actin (aSKA), alpha-smooth muscle actin (aSMA), beta-cytoplasmic actin (bCYA), gamma-cytoplasmic actin (gCYA) and gamma-smooth muscle actin (gSMA) (1). The cytoplasmic isoforms, beta-actin and gamma-actin, are nearly identical, differing by only 4 amino acids at the N-terminus with a theoretical molecular weight of 42 kDa (2). Beta-actin is ubiquitously expressed in eukaryotic cells and considered a housekeeping gene which is frequently used as a loading control for assays involving protein detection, such as Western blotting (3,4).

References

1. Vandekerckhove J, Weber K. 1978. At least six different actins are expressed in a higher mammal: an analysis based on the amino acid sequence of the amino-terminal tryptic peptide. J Mol Biol. 126(4):783-802. PMID: 745245

2. Gimona M, Vandekerckhove J, Goethals M, Herzog M, Lando Z, Small JV. (1994) Beta-actin specific monoclonal antibody. Cell Motil Cytoskeleton. 27(2):108-16. PMID: 8162619

3. Holden VI, Lenio S, Kuick R, Ramakrishnan SK, Shah YM, Bachman MA. (2014) Bacterial siderophores that evade or overwhelm Lipocalin 2 induce HIF-1a and pro-inflammatory cytokine secretion in cultured respiratory epithelial cells Infect Immun. 82(9):3826-36 PMID: 24980968

4. Tsai WL, Yeh PH, Tsai CY, Ting CT, Chiu YH, Tao MH, Li WC, Hung SC. (2016) Efficient Programming of Human Mesenchymal Stem Cell Derived Hepatocytes by Epigenetic Regulations. J. Gastroenterol. Hepatol. 32(1):261-269. PMID: 27218433

Alternate Names

ACTB, betaActin

Gene Symbol

ACTB

Additional beta-Actin Products

Product Documents for beta-Actin Antibody (ACTB/2370) - Azide and BSA Free

Certificate of Analysis

To download a Certificate of Analysis, please enter a lot number in the search box below.

Product Specific Notices for beta-Actin Antibody (ACTB/2370) - Azide and BSA Free

This product is for research use only and is not approved for use in humans or in clinical diagnosis. Primary Antibodies are guaranteed for 1 year from date of receipt.

Loading...
Loading...
Loading...
Loading...
Loading...