Skip to main content

beta 2-Microglobulin Antibody (rB2M/961)

Novus Biologicals, part of Bio-Techne | Catalog # NBP3-48959

Recombinant Monoclonal Antibody
Novus Biologicals, part of Bio-Techne
Catalog #
Availability
Size / Price
Qty
Loading...
NBP3-48959-100ug
NBP3-48959-20ug

Key Product Details

Species Reactivity

Human, Primate

Applications

Immunohistochemistry, Western Blot, Flow Cytometry, Immunocytochemistry/ Immunofluorescence

Label

Unconjugated

Antibody Source

Recombinant Monoclonal Mouse IgG2b Kappa Clone # rB2M/961 expressed in HEK293

Concentration

Please see the vial label for concentration. If unlisted please contact technical services.

Product Specifications

Immunogen

Recombinant human full-length B2M protein (Uniprot: P61769)

Localization

Cell surface, Secreted

Clonality

Monoclonal

Host

Mouse

Isotype

IgG2b Kappa

Theoretical MW

12 kDa.
Disclaimer note: The observed molecular weight of the protein may vary from the listed predicted molecular weight due to post translational modifications, post translation cleavages, relative charges, and other experimental factors.

Description

Prepared in 10mM PBS with 0.05% BSA & 0.05% azide. Also available WITHOUT BSA & azide at 1.0mg/ml.

Antibody with azide - store at 2 to 8 C. Antibody without azide - store at -20 to -80 C. Antibody is stable for 24 months. Non-hazardous. No MSDS required.

Scientific Data Images for beta 2-Microglobulin Antibody (rB2M/961)

beta 2-Microglobulin Antibody (rB2M/961)

Flow Cytometry: beta 2-Microglobulin Antibody (rB2M/961) [NBP3-48959] -

Flow Cytometric Analysis of PFA-fixed HeLa cells using beta 2-Microglobulin Antibody (rB2M/961) followed by Goat anti-Mouse IgG-CF488 (Blue); Isotype Control (Red)
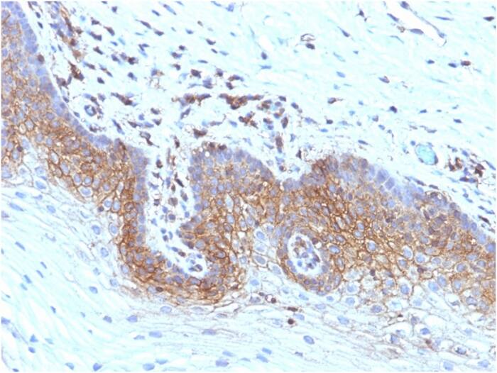
beta 2-Microglobulin Antibody (rB2M/961)

Immunohistochemistry-Paraffin: beta 2-Microglobulin Antibody (rB2M/961) [NBP3-48959] -

Formalin-fixed, paraffin-embedded human Cervical Carcinoma stained with beta 2-Microglobulin Antibody (rB2M/961).
beta 2-Microglobulin Antibody (rB2M/961)

Western Blot: beta 2-Microglobulin Antibody (rB2M/961) [NBP3-48959] -

Western Blot Analysis of human kidney tissue lysates using beta 2-Microglobulin Antibody (rB2M/961).

Applications for beta 2-Microglobulin Antibody (rB2M/961)

Application
Recommended Usage

Flow Cytometry

Optimal dilutions of this antibody should be experimentally determined.

Immunocytochemistry/ Immunofluorescence

Optimal dilutions of this antibody should be experimentally determined.

Immunohistochemistry

Optimal dilutions of this antibody should be experimentally determined.

Western Blot

Optimal dilutions of this antibody should be experimentally determined.

Formulation, Preparation, and Storage

Purification

Protein A or G purified

Formulation

10 mM PBS with 0.05% BSA

Preservative

0.05% Sodium Azide

Concentration

Please see the vial label for concentration. If unlisted please contact technical services.

Shipping

The product is shipped with polar packs. Upon receipt, store it immediately at the temperature recommended below.

Stability & Storage

Store at 4C.

Background: beta 2-Microglobulin

Beta-2-microglobulin is a serum protein found in association with the major histocompatibility complex (MHC) class I heavy chain on the surface of nearly all nucleated cells (Gussow et al., 1987 [PubMed 3312414]).[supplied by OMIM]

Alternate Names

B2M, beta 2Microglobulin

Gene Symbol

B2M

Additional beta 2-Microglobulin Products

Product Documents for beta 2-Microglobulin Antibody (rB2M/961)

Certificate of Analysis

To download a Certificate of Analysis, please enter a lot number in the search box below.

Product Specific Notices for beta 2-Microglobulin Antibody (rB2M/961)

This product is for research use only and is not approved for use in humans or in clinical diagnosis. Primary Antibodies are guaranteed for 1 year from date of receipt.

Loading...
Loading...
Loading...
Loading...
Loading...