Skip to main content

BET1L Antibody - BSA Free

Novus Biologicals, part of Bio-Techne | Catalog # NBP1-93714

Novus Biologicals, part of Bio-Techne
Catalog #
Availability
Size / Price
Qty
Loading...
NBP1-93714
NBP1-93714-25ul

Key Product Details

Validated by

Orthogonal Validation

Species Reactivity

Validated:

Human

Predicted:

Mouse (91%), Rat (91%). Backed by our 100% Guarantee.

Applications

Immunohistochemistry, Immunohistochemistry-Paraffin, Immunocytochemistry/ Immunofluorescence

Label

Unconjugated

Antibody Source

Polyclonal Rabbit IgG

Format

BSA Free

Concentration

Concentrations vary lot to lot. See vial label for concentration. If unlisted please contact technical services.

Product Specifications

Immunogen

This antibody was developed against Recombinant Protein corresponding to amino acids: MADWARAQSPGAVEEILDRENKRMADSLASKVTRLKSLALDIDRDAEDQNRYLDGMDSDFTSMTSLLTGSVKRFSTMARSGQ

Clonality

Polyclonal

Host

Rabbit

Isotype

IgG

Scientific Data Images for BET1L Antibody - BSA Free

Immunocytochemistry/ Immunofluorescence: BET1L Antibody [NBP1-93714]

Immunocytochemistry/ Immunofluorescence: BET1L Antibody [NBP1-93714]

Immunocytochemistry/Immunofluorescence: BET1L Antibody [NBP1-93714] - Immunofluorescent staining of human cell line U-2 OS shows localization to nucleoplasm & the Golgi apparatus.
Immunohistochemistry-Paraffin: BET1L Antibody [NBP1-93714]

Immunohistochemistry-Paraffin: BET1L Antibody [NBP1-93714]

Immunohistochemistry-Paraffin: BET1L Antibody [NBP1-93714] - Staining of human stomach shows strong granular cytoplasmic positivity in glandular cells.
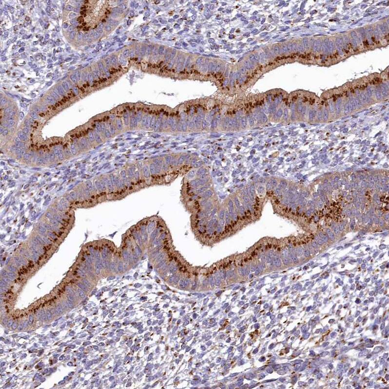
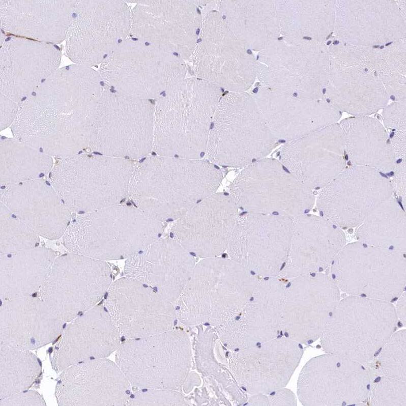
BET1L Antibody - BSA Free Immunohistochemistry: BET1L Antibody - BSA Free [NBP1-93714]

Immunohistochemistry: BET1L Antibody - BSA Free [NBP1-93714]

Analysis in human prostate and skeletal muscle tissues using NBP1-93714 antibody. Corresponding BET1L RNA-seq data are presented for the same tissues.

Applications for BET1L Antibody - BSA Free

Application
Recommended Usage

Immunocytochemistry/ Immunofluorescence

0.25-2 ug/ml

Immunohistochemistry

1:1000 - 1:2500

Immunohistochemistry-Paraffin

1:1000 - 1:2500
Application Notes
For IHC-Paraffin, HIER pH 6 retrieval is recommended. ICC/IF Fixation Permeabilization: Use PFA/Triton X-100.

Formulation, Preparation, and Storage

Purification

Affinity purified

Formulation

PBS (pH 7.2) and 40% Glycerol

Format

BSA Free

Preservative

0.02% Sodium Azide

Concentration

Concentrations vary lot to lot. See vial label for concentration. If unlisted please contact technical services.

Shipping

The product is shipped with polar packs. Upon receipt, store it immediately at the temperature recommended below.

Stability & Storage

Store at 4C short term. Aliquot and store at -20C long term. Avoid freeze-thaw cycles.

Background: BET1L

Alternate Names

blocked early in transport 1 homolog (S. cerevisiae)-like, golgi integral membrane protein 3, golgi SNARE 15 kDa protein, golgi SNARE with a size of 15 kDa, GS15, HSPC197, vesicle transport protein GOS15

Gene Symbol

BET1L

Additional BET1L Products

Product Documents for BET1L Antibody - BSA Free

Certificate of Analysis

To download a Certificate of Analysis, please enter a lot number in the search box below.

Product Specific Notices for BET1L Antibody - BSA Free

This product is for research use only and is not approved for use in humans or in clinical diagnosis. Primary Antibodies are guaranteed for 1 year from date of receipt.

Loading...
Loading...
Loading...
Loading...