Skip to main content

BCS1L Antibody - BSA Free

Novus Biologicals, part of Bio-Techne | Catalog # NBP1-88678

Novus Biologicals, part of Bio-Techne
Catalog #
Availability
Size / Price
Qty
Loading...
NBP1-88678
NBP1-88678-25ul

Key Product Details

Validated by

Orthogonal Validation

Species Reactivity

Validated:

Human

Predicted:

Mouse (92%), Rat (94%). Backed by our 100% Guarantee.

Applications

Immunohistochemistry, Immunohistochemistry-Paraffin

Label

Unconjugated

Antibody Source

Polyclonal Rabbit IgG

Format

BSA Free

Concentration

Concentrations vary lot to lot. See vial label for concentration. If unlisted please contact technical services.

Product Specifications

Immunogen

This antibody was developed against Recombinant Protein corresponding to amino acids: RVDLKEYVGYCSHWQLTQMFQRFYPGQAPSLAENFAEHVLRATNQISPAQVQGYFMLYKNDPVGAIHNAES

Clonality

Polyclonal

Host

Rabbit

Isotype

IgG

Description

Novus Biologicals Rabbit BCS1L Antibody - BSA Free (NBP1-88678) is a polyclonal antibody validated for use in IHC. All Novus Biologicals antibodies are covered by our 100% guarantee.

Scientific Data Images for BCS1L Antibody - BSA Free

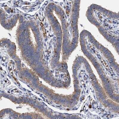
Immunohistochemistry-Paraffin: BCS1L Antibody [NBP1-88678]

Immunohistochemistry-Paraffin: BCS1L Antibody [NBP1-88678]

Immunohistochemistry-Paraffin: BCS1L Antibody [NBP1-88678] - Staining of human skin shows moderate positivity in cytoplasm in squamous epithelial cells.
Immunohistochemistry-Paraffin: BCS1L Antibody [NBP1-88678]

Immunohistochemistry-Paraffin: BCS1L Antibody [NBP1-88678]

Immunohistochemistry-Paraffin: BCS1L Antibody [NBP1-88678] - Staining of human pancreas shows low expression as expected.
Immunohistochemistry-Paraffin: BCS1L Antibody [NBP1-88678]

Immunohistochemistry-Paraffin: BCS1L Antibody [NBP1-88678]

Immunohistochemistry-Paraffin: BCS1L Antibody [NBP1-88678] - Staining of human parathyroid gland shows high expression.

Applications for BCS1L Antibody - BSA Free

Application
Recommended Usage

Immunohistochemistry

1:20 - 1:50

Immunohistochemistry-Paraffin

1:20 - 1:50
Application Notes
For IHC-Paraffin, HIER pH 6 retrieval is recommended.

Formulation, Preparation, and Storage

Purification

Immunogen affinity purified

Formulation

PBS (pH 7.2) and 40% Glycerol

Format

BSA Free

Preservative

0.02% Sodium Azide

Concentration

Concentrations vary lot to lot. See vial label for concentration. If unlisted please contact technical services.

Shipping

The product is shipped with polar packs. Upon receipt, store it immediately at the temperature recommended below.

Stability & Storage

Store at 4C short term. Aliquot and store at -20C long term. Avoid freeze-thaw cycles.

Background: BCS1L

BCS1L encodes a homolog of the S. cerevisiae bcs1 protein which is involved in the assembly of complex III of the mitochondrial respiratory chain. The encoded protein does not contain a mitochondrial targeting sequence but experimental studies confirm that it is imported into mitochondria. Mutations in this gene are associated with mitochondrial complex III deficiency and the GRACILE syndrome. Two alternatively spliced transcripts encoding the same protein have been described. [provided by RefSeq]

Alternate Names

BCS, BCS1, BCS1 (yeast homolog)-like, BCS1-like (S. cerevisiae), BCS1-like (yeast), BCS1-like protein, BJSGRACILE, FLNMS, h-BCS, h-BCS1, mitochondrial chaperone BCS1, mitochondrial complex III assembly, PTD

Gene Symbol

BCS1L

Additional BCS1L Products

Product Documents for BCS1L Antibody - BSA Free

Certificate of Analysis

To download a Certificate of Analysis, please enter a lot number in the search box below.

Product Specific Notices for BCS1L Antibody - BSA Free

This product is for research use only and is not approved for use in humans or in clinical diagnosis. Primary Antibodies are guaranteed for 1 year from date of receipt.

Loading...
Loading...
Loading...
Loading...