Skip to main content

BCS1L Antibody (9G10) - BSA Free

Novus Biologicals, part of Bio-Techne | Catalog # NBP3-42922

Novus Biologicals, part of Bio-Techne
Catalog #
Availability
Size / Price
Qty
Loading...
NBP3-42922

Key Product Details

Species Reactivity

Human, Mouse

Applications

Immunohistochemistry, Western Blot, ELISA, Immunocytochemistry/ Immunofluorescence

Label

Unconjugated

Antibody Source

Monoclonal Mouse IgG2A Clone # 9G10

Format

BSA Free

Concentration

Please see the vial label for concentration. If unlisted please contact technical services.

Product Specifications

Immunogen

BCS1-like(yeast) - (Uniprot# Q9Y276)

Clonality

Monoclonal

Host

Mouse

Isotype

IgG2A

Theoretical MW

47 kDa.
Disclaimer note: The observed molecular weight of the protein may vary from the listed predicted molecular weight due to post translational modifications, post translation cleavages, relative charges, and other experimental factors.

Description

Novus Biologicals Mouse BCS1L Antibody (9G10) - BSA Free (NBP3-42922) is a monoclonal antibody validated for use in IHC, WB, ELISA and ICC/IF. All Novus Biologicals antibodies are covered by our 100% guarantee.

Scientific Data Images for BCS1L Antibody (9G10) - BSA Free

BCS1L Antibody (9G10)

Western Blot: BCS1L Antibody (9G10) [NBP3-42922] -

Western Blot: BCS1L Antibody (9G10) [NBP3-42922] - COLO 320 cells were subjected to SDS PAGE followed by western blot with (BCS1L antibody) at dilution of 1:1000
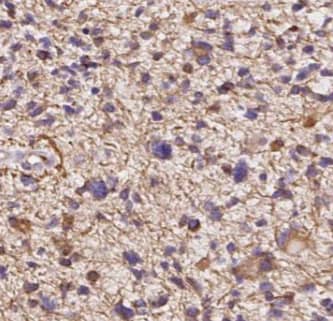
BCS1L Antibody (9G10)

Immunohistochemistry: BCS1L Antibody (9G10) [NBP3-42922] -

Immunohistochemistry: BCS1L Antibody (9G10) [NBP3-42922] - Immunohistochemistry of paraffin-embedded human gliomas using (BCS1L antibody) at dilution of 1:50

Applications for BCS1L Antibody (9G10) - BSA Free

Application
Recommended Usage

Immunocytochemistry/ Immunofluorescence

1:20 - 1:200

Immunohistochemistry

1:20 - 1:200

Western Blot

1:500 - 1:2000

Formulation, Preparation, and Storage

Purification

Protein A or G purified

Formulation

PBS (pH 7.3), 50% glycerol

Format

BSA Free

Preservative

0.02% Sodium Azide

Concentration

Please see the vial label for concentration. If unlisted please contact technical services.

Shipping

The product is shipped with polar packs. Upon receipt, store it immediately at the temperature recommended below.

Stability & Storage

Store at -20C. Avoid freeze-thaw cycles.

Background: BCS1L

BCS1L encodes a homolog of the S. cerevisiae bcs1 protein which is involved in the assembly of complex III of the mitochondrial respiratory chain. The encoded protein does not contain a mitochondrial targeting sequence but experimental studies confirm that it is imported into mitochondria. Mutations in this gene are associated with mitochondrial complex III deficiency and the GRACILE syndrome. Two alternatively spliced transcripts encoding the same protein have been described. [provided by RefSeq]

Alternate Names

BCS, BCS1, BCS1 (yeast homolog)-like, BCS1-like (S. cerevisiae), BCS1-like (yeast), BCS1-like protein, BJSGRACILE, FLNMS, h-BCS, h-BCS1, mitochondrial chaperone BCS1, mitochondrial complex III assembly, PTD

Gene Symbol

BCS1L

Additional BCS1L Products

Product Documents for BCS1L Antibody (9G10) - BSA Free

Certificate of Analysis

To download a Certificate of Analysis, please enter a lot number in the search box below.

Product Specific Notices for BCS1L Antibody (9G10) - BSA Free

This product is for research use only and is not approved for use in humans or in clinical diagnosis. Primary Antibodies are guaranteed for 1 year from date of receipt.

Loading...
Loading...
Loading...
Loading...