Skip to main content

BCL2L10 Antibody (8A2F9) - BSA Free

Novus Biologicals, part of Bio-Techne | Catalog # NBP2-61703

Novus Biologicals, part of Bio-Techne
Catalog #
Availability
Size / Price
Qty
Loading...
NBP2-61703
NBP2-61703-0.025ml

Key Product Details

Species Reactivity

Human

Applications

ELISA, Flow Cytometry, Immunocytochemistry/ Immunofluorescence, Immunohistochemistry, Immunohistochemistry-Paraffin, Western Blot

Label

Unconjugated

Antibody Source

Monoclonal Mouse IgG1 Clone # 8A2F9

Format

BSA Free

Concentration

1 mg/ml

Product Specifications

Immunogen

Purified recombinant fragment of human BCL2L10 (AA: 31-186) expressed in E. Coli.

Clonality

Monoclonal

Host

Mouse

Isotype

IgG1

Theoretical MW

22 kDa.
Disclaimer note: The observed molecular weight of the protein may vary from the listed predicted molecular weight due to post translational modifications, post translation cleavages, relative charges, and other experimental factors.

Description

Novus Biologicals Mouse BCL2L10 Antibody (8A2F9) - BSA Free (NBP2-61703) is a monoclonal antibody validated for use in IHC, WB, ELISA, Flow and ICC/IF. All Novus Biologicals antibodies are covered by our 100% guarantee.

Scientific Data Images for BCL2L10 Antibody (8A2F9) - BSA Free

Western Blot: BCL2L10 Antibody (8A2F9)BSA Free [NBP2-61703]

Western Blot: BCL2L10 Antibody (8A2F9)BSA Free [NBP2-61703]

Western Blot: BCL2L10 Antibody (8A2F9) [NBP2-61703] - Analysis using BCL2L10 mAb against human BCL2L10 (AA: 31-186) recombinant protein. (Expected MW is 43.1 kDa)
Immunocytochemistry/ Immunofluorescence: BCL2L10 Antibody (8A2F9) - BSA Free [NBP2-61703]

Immunocytochemistry/ Immunofluorescence: BCL2L10 Antibody (8A2F9) - BSA Free [NBP2-61703]

Immunocytochemistry/Immunofluorescence: BCL2L10 Antibody (8A2F9) [NBP2-61703] - Analysis of Hela cells using BCL2L10 mouse mAb (green). Blue: DRAQ5 fluorescent DNA dye. Red: Actin filaments have been labeled with Alexa Fluor- 555 phalloidin. Goat anti-Mouse IgG (H+L) DyLight 488 secondary antibody was used.
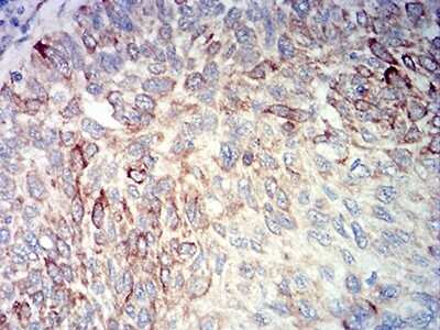
Immunohistochemistry: BCL2L10 Antibody (8A2F9) - BSA Free [NBP2-61703]

Immunohistochemistry: BCL2L10 Antibody (8A2F9) - BSA Free [NBP2-61703]

Immunohistochemistry: BCL2L10 Antibody (8A2F9) [NBP2-61703] - Analysis of paraffin-embedded cervical cancer tissues using BCL2L10 mouse mAb with DAB staining.

Applications for BCL2L10 Antibody (8A2F9) - BSA Free

Application
Recommended Usage

ELISA

1:10000

Flow Cytometry

1:200-1:400

Immunocytochemistry/ Immunofluorescence

1:200-1:1000

Immunohistochemistry

1:200-1:1000

Immunohistochemistry-Paraffin

1:200-1:1000

Western Blot

1:500-1:2000

Formulation, Preparation, and Storage

Purification

Protein G purified

Formulation

PBS

Format

BSA Free

Preservative

0.05% Sodium Azide

Concentration

1 mg/ml

Shipping

The product is shipped with polar packs. Upon receipt, store it immediately at the temperature recommended below.

Stability & Storage

Store at 4C short term. Aliquot and store at -20C long term. Avoid freeze-thaw cycles.

Background: BCL2L10

The protein encoded by this gene belongs to the BCL-2 protein family. BCL-2 family members form hetero- or homodimers and act as anti- or pro-apoptotic regulators that are involved in a wide variety of cellular activities. The protein encoded by this gene contains conserved BH4, BH1 and BH2 domains. This protein can interact with other members of BCL-2 protein family including BCL2, BCL2L1/BCL-X(L), and BAX. Overexpression of this gene has been shown to suppress cell apoptosis possibly through the prevention of cytochrome C release from the mitochondria, and thus activating caspase-3 activation. The mouse counterpart of this protein is found to interact with Apaf1 and forms a protein complex with Caspase 9, which suggests the involvement of this protein in APAF1 and CASPASE 9 related apoptotic pathway.

Long Name

Bcl-2-like protein 10

Alternate Names

BCL-B, Bcl2-L-10, BCLB, BOO, DIVA

Gene Symbol

BCL2L10

Additional BCL2L10 Products

Product Documents for BCL2L10 Antibody (8A2F9) - BSA Free

Certificate of Analysis

To download a Certificate of Analysis, please enter a lot number in the search box below.

Product Specific Notices for BCL2L10 Antibody (8A2F9) - BSA Free

This product is for research use only and is not approved for use in humans or in clinical diagnosis. Primary Antibodies are guaranteed for 1 year from date of receipt.

Loading...
Loading...
Loading...
Loading...
Loading...