BCL11B Antibody
Novus Biologicals, part of Bio-Techne | Catalog # NB100-2600
Key Product Details
Species Reactivity
Validated:
Human, Mouse, Rat
Cited:
Human, Mouse, Rat
Predicted:
Bovine (100%), Canine (100%), Chimpanzee (100%), Guinea Pig (100%), Monkey (100%), Orangutan (100%), Porcine (100%), Rabbit (100%), Xenopus (100%). Backed by our 100% Guarantee.
Applications
Validated:
Immunohistochemistry, Immunohistochemistry-Paraffin, Immunohistochemistry-Frozen, Immunocytochemistry/ Immunofluorescence
Cited:
Immunohistochemistry, Immunohistochemistry-Paraffin, Immunohistochemistry-Frozen, Immunocytochemistry/ Immunofluorescence, IF/IHC
Label
Unconjugated
Antibody Source
Polyclonal Rabbit IgG
Concentration
0.25 mg/ml
Product Specifications
Immunogen
The immunogen recognized by this antibody maps to a region between residue 850 and the C-terminus (residue 894) of human B-cell CLL/lymphoma 11B using the numbering given in Swiss-Prot entry Q9C0K0 (GeneID 64919).
Reactivity Notes
Rat reactivity reported in scientific literature (PMID: 26465886). Mouse reactivity reported from a verified customer review. Gorilla, X.tropicalis (100%).
Clonality
Polyclonal
Host
Rabbit
Isotype
IgG
Description
Novus Biologicals Rabbit BCL11B Antibody (NB100-2600) is a polyclonal antibody validated for use in IHC and ICC/IF. Anti-BCL11B Antibody: Cited in 7 publications. All Novus Biologicals antibodies are covered by our 100% guarantee.
Scientific Data Images for BCL11B Antibody
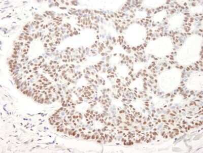
Immunohistochemistry-Paraffin: BCL11B Antibody [NB100-2600]
Immunohistochemistry-Paraffin: BCL11B Antibody [NB100-2600] - Section of human skin tumor (higher magnification). Antibody: Affinity purified rabbit anti-Bcl11b used at a dilution of 1:500. Detection: DAB staining using anti-Rabbit IHC antibody at a dilution of 1:100.Immunohistochemistry-Paraffin: BCL11B Antibody [NB100-2600]
Immunohistochemistry-Paraffin: BCL11B Antibody [NB100-2600] - P7 brain mouse section was stained with anti-BCL11B antibody. Image from verified customer review.Immunohistochemistry: BCL11B Antibody [NB100-2600]
BCL11B-Antibody-Immunohistochemistry-NB100-2600-img0006.jpgApplications for BCL11B Antibody
Application
Recommended Usage
Immunohistochemistry
1:100-1:500
Immunohistochemistry-Paraffin
1:100-1:500
Application Notes
Epitope exposure is recommended to enhance staining. ICC/IF reactivity reported in scientific literature (PMID: 24155294). IHC-F reactivity reported in scientific literature (PMID: 24155294). BCL11B antibody validated for IHC-P from a verified customer review.
Reviewed Applications
Read 1 review rated 5 using NB100-2600 in the following applications:
Formulation, Preparation, and Storage
Purification
Immunogen affinity purified
Formulation
TBS and 0.1% BSA
Preservative
0.09% Sodium Azide
Concentration
0.25 mg/ml
Shipping
The product is shipped with polar packs. Upon receipt, store it immediately at the temperature recommended below.
Stability & Storage
Store at 4C. Do not freeze.
Background: BCL11B
Alternate Names
B-cell CLL/lymphoma 11B, B-cell CLL/lymphoma 11B (zinc finger protein), B-cell CLL/lymphoma 11B/T-cell receptor delta constant region fusion protein, B-cell lymphoma/leukaemia 11B, B-cell lymphoma/leukemia 11B, BCL-11B, BCL11B/TRDC fusion, COUP-TF-interacting protein 2, CTIP-2, CTIP2ZNF856B, hRit1, hRIT1-alpha, Radiation-induced tumor suppressor gene 1 protein, RIT1, zinc finger protein hRit1 alpha
Entrez Gene IDs
64919 (Human)
Gene Symbol
BCL11B
UniProt
Additional BCL11B Products
Product Documents for BCL11B Antibody
Product Specific Notices for BCL11B Antibody
This product is for research use only and is not approved for use in humans or in clinical diagnosis. Primary Antibodies are guaranteed for 1 year from date of receipt.
Loading...
Loading...
Loading...
Loading...