Bcl rambo Antibody - BSA Free
Novus Biologicals, part of Bio-Techne | Catalog # NBP3-47871
Key Product Details
Species Reactivity
Human, Mouse, Rat
Applications
ELISA, Immunocytochemistry/ Immunofluorescence, Immunohistochemistry, Immunoprecipitation, Western Blot
Label
Unconjugated
Antibody Source
Polyclonal Rabbit IgG
Format
BSA Free
Concentration
Please see the vial label for concentration. If unlisted please contact technical services.
Product Specifications
Immunogen
BCL2-like 13(apoptosis facilitator). (Uniprot# Q9BXK5)
Clonality
Polyclonal
Host
Rabbit
Isotype
IgG
Theoretical MW
85 kDa.
Disclaimer note: The observed molecular weight of the protein may vary from the listed predicted molecular weight due to post translational modifications, post translation cleavages, relative charges, and other experimental factors.
Disclaimer note: The observed molecular weight of the protein may vary from the listed predicted molecular weight due to post translational modifications, post translation cleavages, relative charges, and other experimental factors.
Description
Novus Biologicals Rabbit Bcl rambo Antibody - BSA Free (NBP3-47871) is a polyclonal antibody validated for use in IHC, WB, ELISA, ICC/IF and IP. All Novus Biologicals antibodies are covered by our 100% guarantee.
Scientific Data Images for Bcl rambo Antibody - BSA Free
Immunoprecipitation: Bcl rambo Antibody - BSA Free [NBP3-47871] -
Immunoprecipitation: Bcl rambo Antibody - BSA Free [NBP3-47871] - IP Result of anti-Bcl rambo (IP:, 3ug; Detection: 1:100) with mouse heart tissue lysate 8000ug.Western Blot: Bcl rambo Antibody - BSA Free [NBP3-47871] -
Western Blot: Bcl rambo Antibody - BSA Free [NBP3-47871] - Jurkat cells were subjected to SDS PAGE followed by western blot with (Bcl rambo antibody) at dilution of 1:500Immunohistochemistry: Bcl rambo Antibody - BSA Free [NBP3-47871] -
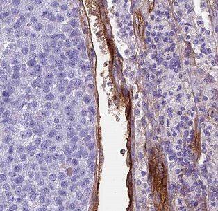
Immunohistochemistry: Bcl rambo Antibody - BSA Free [NBP3-47871] - Immunohistochemistry of paraffin-embedded human pancreas using (Bcl rambo antibody) at dilution of 1:100Applications for Bcl rambo Antibody - BSA Free
Application
Recommended Usage
Immunocytochemistry/ Immunofluorescence
1:50-1:500
Immunohistochemistry
1:50-1:500
Immunoprecipitation
1:500-1:3000
Western Blot
1:1000-1:6000
Formulation, Preparation, and Storage
Purification
Immunogen affinity purified
Formulation
PBS, 50% Glycerol, pH (7.3)
Format
BSA Free
Preservative
0.02% Sodium Azide
Concentration
Please see the vial label for concentration. If unlisted please contact technical services.
Shipping
The product is shipped with polar packs. Upon receipt, store it immediately at the temperature recommended below.
Stability & Storage
Store at -20C. Avoid freeze-thaw cycles.
Background: Bcl rambo
Alternate Names
Bcl2-L-13, BCL2-like 13 (apoptosis facilitator), bcl-2-like protein 13, Bcl-rambo, MIL1BCL-RAMBO, Protein Mil1
Gene Symbol
BCL2L13
Additional Bcl rambo Products
Product Documents for Bcl rambo Antibody - BSA Free
Product Specific Notices for Bcl rambo Antibody - BSA Free
This product is for research use only and is not approved for use in humans or in clinical diagnosis. Primary Antibodies are guaranteed for 1 year from date of receipt.
Loading...
Loading...
Loading...
Loading...