Skip to main content

Bcl-2 Antibody (JF104-8)

Novus Biologicals, part of Bio-Techne | Catalog # NBP2-67182

Recombinant Monoclonal Antibody
Novus Biologicals, part of Bio-Techne
Catalog #
Availability
Size / Price
Qty
Loading...
NBP2-67182

Key Product Details

Validated by

Biological Validation

Species Reactivity

Validated:

Human, Mouse, Rat

Cited:

Human, Mouse

Applications

Validated:

Immunohistochemistry, Immunohistochemistry-Paraffin, Western Blot, Flow Cytometry, Immunocytochemistry/ Immunofluorescence

Cited:

Immunohistochemistry-Paraffin, Western Blot

Label

Unconjugated

Antibody Source

Recombinant Monoclonal Rabbit IgG Clone # JF104-8 expressed in HEK293

Concentration

1 mg/ml

Product Specifications

Immunogen

Recombinant protein within human Bcl-2 aa 1-230. (SwissProt: P10415 Human; SwissProt: P10417 Mouse; SwissProt: P49950 Rat)

Localization

Mitochondrion outer membrane, Nucleus membrane, Endoplasmic reticulum membrane.

Clonality

Monoclonal

Host

Rabbit

Isotype

IgG

Scientific Data Images for Bcl-2 Antibody (JF104-8)

Western Blot: Bcl-2 Antibody (JF104-8) [NBP2-67182]

Western Blot: Bcl-2 Antibody (JF104-8) [NBP2-67182]

Western Blot: Bcl-2 Antibody (JF104-8) [NBP2-67182] - Lane 1: HL-60 cell lysate, Lane 2: THP-1 cell lysate, Lane 3: Jurkat cell lysateLysates/proteins at 10 ug/Lane. Predicted band size: 26 kDa Observed band size: 25 kDa Exposure time: 2 minutes; 15% SDS-PAGE gel. Proteins were transferred to a PVDF membrane and blocked with 5% NFDM/TBST for 1 hour at room temperature. The primary antibody at 1/500 dilution was used in 5% NFDM/TBST at room temperature for 2 hours. Goat Anti-Rabbit IgG - HRP Secondary Antibody at 1:300,000 dilution was used for 1 hour at room temperature.
Immunocytochemistry/ Immunofluorescence: Bcl-2 Antibody (JF104-8) [NBP2-67182]

Immunocytochemistry/ Immunofluorescence: Bcl-2 Antibody (JF104-8) [NBP2-67182]

Immunocytochemistry/Immunofluorescence: Bcl-2 Antibody (JF104-8) [NBP2-67182] - Staining Bcl-2 in Hela cells (red). The nuclear counter stain is DAPI (blue). Cells were fixed in paraformaldehyde, permeabilised with 0.25% Triton X100/PBS.
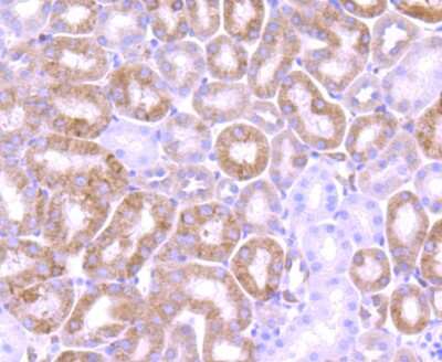
Immunohistochemistry-Paraffin: Bcl-2 Antibody (JF104-8) [NBP2-67182]

Immunohistochemistry-Paraffin: Bcl-2 Antibody (JF104-8) [NBP2-67182]

Immunohistochemistry-Paraffin: Bcl-2 Antibody (JF104-8) [NBP2-67182] - Analysis of paraffin-embedded mouse kidney tissue using anti-Bcl-2 antibody. The section was pre-treated using heat mediated antigen retrieval with Tris-EDTA buffer (pH 8.0-8.4) for 20 minutes.The tissues were blocked in 5% BSA for 30 minutes at room temperature, washed with ddH2O and PBS, and then probed with the primary antibody 1/50) for 30 minutes at room temperature. The detection was performed using an HRP conjugated compact polymer system. DAB was used as the chromogen. Tissues were counterstained with hematoxylin and mounted with DPX.

Applications for Bcl-2 Antibody (JF104-8)

Application
Recommended Usage

Flow Cytometry

1:50-1:100

Immunocytochemistry/ Immunofluorescence

1:50-1:200

Immunohistochemistry-Paraffin

1:50-1:200

Western Blot

1:500-1:2000

Formulation, Preparation, and Storage

Purification

Protein A purified

Formulation

TBS (pH7.4), 0.05% BSA, 40% Glycerol

Preservative

0.05% Sodium Azide

Concentration

1 mg/ml

Shipping

The product is shipped with polar packs. Upon receipt, store it immediately at the temperature recommended below.

Stability & Storage

Store at 4C short term. Aliquot and store at -20C long term. Avoid freeze-thaw cycles.

Background: Bcl-2

The Bcl-2 family of proteins regulate apoptosis by controlling mitochondrial permeability and release of cytochrome c. Bcl-2 is an anti-apoptotic protein that resides in the outer mitochondrial wall and inhibits release of cytochrome c (1). Over-expression of Bcl-2 has been shown to promote cell survival by suppressing apoptosis. It has been documented that bcl-2 becomes deregulated in tumor cells as a result of translocation into the immunoglobulin heavy-chain locus and is therefore activated in B cell malignancies (2). It has also been shown that post-translational modification of Bcl-2, phosphorylation at serine 70, may be required to render its full and/or enhanced anti-apoptotic effect (3, 4).

Long Name

B Cell Lymphoma/Leukemia 2

Alternate Names

Bcl2

Gene Symbol

BCL2

Additional Bcl-2 Products

Product Documents for Bcl-2 Antibody (JF104-8)

Certificate of Analysis

To download a Certificate of Analysis, please enter a lot number in the search box below.

Product Specific Notices for Bcl-2 Antibody (JF104-8)

This product is for research use only and is not approved for use in humans or in clinical diagnosis. Primary Antibodies are guaranteed for 1 year from date of receipt.

Loading...
Loading...
Loading...
Loading...
Loading...
Loading...