Bcl-2 Antibody (124) - IHC-Prediluted
Novus Biologicals, part of Bio-Techne | Catalog # NBP2-44780
Conjugate
Catalog #
Forumulation
Catalog #
Key Product Details
Species Reactivity
Human, Mouse (Negative)
Applications
Immunohistochemistry, Immunohistochemistry-Paraffin
Label
Unconjugated
Antibody Source
Monoclonal Mouse IgG1 kappa Clone # 124
Format
IHC-Prediluted
Concentration
Please see the vial label for concentration. If unlisted please contact technical services.
Product Specifications
Immunogen
A synthetic peptide, aa41-54 (GAAPAPGIFSSQPG-Cys) of human Bcl-2 protein (Uniprot: P10415 )
Reactivity Notes
Does not react with Mouse. Others-not known
Localization
Outer mitochondrial membranes and endoplasmic reticulum as well as nuclear membranes.
Specificity
This antibody recognizes a protein of 25-26kDa, identified as the Bcl-2 alpha oncoprotein. It shows no cross-reaction with Bcl-x or Bax protein. Expression of Bcl-2 alpha oncoprotein inhibits the programmed cell death (apoptosis). In most follicular lymphomas, neoplastic germinal centers express high levels of Bcl-2 alpha protein, whereas the normal or hyperplastic germinal centers are negative. Consequently, this antibody is valuable when distinguishing between reactive and neoplastic follicular proliferation in lymph node biopsies. It may also be used in distinguishing between those follicular lymphomas that express Bcl-2 protein and the small number in which the neoplastic cells are Bcl-2 negative.
Marker
Apoptosis & Follicular Lymphoma Marker
Clonality
Monoclonal
Host
Mouse
Isotype
IgG1 kappa
Description
The prediluted antibody does not require any mixing, dilution, reconstitution, or titration; the antibody is ready-to-use and optimized for staining.
Scientific Data Images for Bcl-2 Antibody (124) - IHC-Prediluted
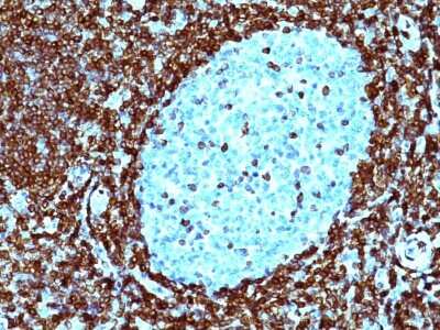
Immunohistochemistry-Paraffin: Bcl-2 Antibody (124) - IHC-Prediluted [NBP2-44780]
Immunohistochemistry-Paraffin: Bcl-2 Antibody (124) - IHC-Prediluted [NBP2-44780] - Formalin-fixed, paraffin-embedded human tonsil stained with Bcl-2 Mouse Monoclonal Antibody (124).Immunohistochemistry-Paraffin: Bcl-2 Antibody (124) - IHC-Prediluted [NBP2-44780]
Immunohistochemistry-Paraffin: Bcl-2 Antibody (124) - IHC-Prediluted [NBP2-44780] - Formalin-fixed, paraffin-embedded human non-Hodgkin's lymphoma stained with Bcl-2 Mouse Monoclonal Antibody (124).Western Blot: Bcl-2 Antibody (124) - IHC-Prediluted [NBP2-44780] -
Western Blot Analysis of MCF-7 cells using Bcl-2 Antibody (124) - IHC-Prediluted.Applications for Bcl-2 Antibody (124) - IHC-Prediluted
Application
Recommended Usage
Immunohistochemistry-Paraffin
0.5 - 1.0 ug/ml
Application Notes
Immunohistochemistry (Formalin-fixed): 1-2ug/ml for 30 minutes at RT. Staining of formalin-fixed tissues requires heating tissue sections in 10mM Tris with 1mM EDTA, pH 9.0, for 45 min at 95C followed by cooling at RT for 20 minutes.
Optimal dilution for a specific application should be determined.
Optimal dilution for a specific application should be determined.
Formulation, Preparation, and Storage
Purification
Protein A or G purified
Formulation
10 mM PBS with 0.05% BSA
Format
IHC-Prediluted
Preservative
0.05% Sodium Azide
Concentration
Please see the vial label for concentration. If unlisted please contact technical services.
Shipping
The product is shipped with polar packs. Upon receipt, store it immediately at the temperature recommended below.
Stability & Storage
Store at 4C.
Background: Bcl-2
Long Name
B Cell Lymphoma/Leukemia 2
Alternate Names
Bcl2
Gene Symbol
BCL2
Additional Bcl-2 Products
Product Documents for Bcl-2 Antibody (124) - IHC-Prediluted
Product Specific Notices for Bcl-2 Antibody (124) - IHC-Prediluted
This product is for research use only and is not approved for use in humans or in clinical diagnosis. Primary Antibodies are guaranteed for 1 year from date of receipt.
Loading...
Loading...
Loading...
Loading...