Skip to main content

Bcl-10 Antibody

Novus Biologicals, part of Bio-Techne | Catalog # NBP2-15554

Novus Biologicals, part of Bio-Techne
Catalog #
Availability
Size / Price
Qty
Loading...
NBP2-15554

Key Product Details

Validated by

Knockout/Knockdown

Species Reactivity

Validated:

Human, Mouse

Predicted:

Bovine (95%), Porcine (92%), Rat (92%), Rhesus Macaque (99%). Backed by our 100% Guarantee.

Applications

Knockout Validated, Immunohistochemistry, Immunohistochemistry-Paraffin, Western Blot, Immunocytochemistry/ Immunofluorescence, Immunoprecipitation

Label

Unconjugated

Antibody Source

Polyclonal Rabbit IgG

Concentration

Concentrations vary lot to lot. See vial label for concentration. If unlisted please contact technical services.

Product Specifications

Immunogen

Recombinant protein encompassing a sequence within the center region of human Bcl-10. The exact sequence is proprietary.

Localization

Cytoplasm; perinuclear region

Clonality

Polyclonal

Host

Rabbit

Isotype

IgG

Theoretical MW

26 kDa.
Disclaimer note: The observed molecular weight of the protein may vary from the listed predicted molecular weight due to post translational modifications, post translation cleavages, relative charges, and other experimental factors.

Description

Novus Biologicals Knockout (KO) Validated Rabbit Bcl-10 Antibody (NBP2-15554) is a polyclonal antibody validated for use in IHC, WB, ICC/IF and IP. All Novus Biologicals antibodies are covered by our 100% guarantee.

Scientific Data Images for Bcl-10 Antibody

Knockout Validated: Bcl-10 Antibody [NBP2-15554]

Western Blot: Bcl-10 Antibody [NBP2-15554]

Western Blot: Bcl-10 Antibody [NBP2-15554] - Wild-type (WT) and BCL10 knockout (KO) HeLa cell extracts (30 ug) were separated by 12% SDS-PAGE, and the membrane was blotted with BCL10 antibody. HRP-conjugated anti-rabbit IgG antibody was used to detect the primary antibody.
Immunocytochemistry/ Immunofluorescence: Bcl-10 Antibody [NBP2-15554]

Immunocytochemistry/ Immunofluorescence: Bcl-10 Antibody [NBP2-15554]

Immunocytochemistry/Immunofluorescence: Bcl10 Antibody [NBP2-15554] - BCL10 antibody detects BCL10 protein at cytoplasm by immunofluorescent analysis. Sample: HeLa cells were fixed in 2% paraformaldehyde/culture medium at 37C for 30 min. Green: BCL10 protein stained by BCL10 antibody diluted at 1:500. Blue: Hoechst 33342 staining.
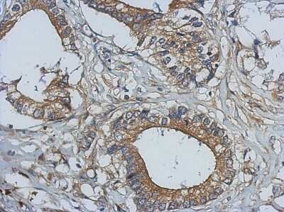
Immunohistochemistry-Paraffin: Bcl-10 Antibody [NBP2-15554]

Immunohistochemistry-Paraffin: Bcl-10 Antibody [NBP2-15554]

Immunohistochemistry-Paraffin: Bcl10 Antibody [NBP2-15554] - Immunohistochemical analysis of paraffin-embedded Gastric ca, using antibody at 1:500 dilution.

Applications for Bcl-10 Antibody

Application
Recommended Usage

Immunocytochemistry/ Immunofluorescence

1:100-1:1000

Immunohistochemistry

1:100-1:1000

Immunohistochemistry-Paraffin

1:100-1:1000

Immunoprecipitation

1:100-1:500

Western Blot

1:500-1:3000

Formulation, Preparation, and Storage

Purification

Antigen Affinity-purified

Formulation

PBS, 1% BSA, 20% Glycerol

Preservative

0.01% Thimerosal

Concentration

Concentrations vary lot to lot. See vial label for concentration. If unlisted please contact technical services.

Shipping

The product is shipped with polar packs. Upon receipt, store it immediately at the temperature recommended below.

Stability & Storage

Aliquot and store at -20C or -80C. Avoid freeze-thaw cycles.

Background: Bcl-10

This gene was identified by its translocation in a case of mucosa-associated lymphoid tissue (MALT) lymphoma. The protein encoded by this gene contains a caspase recruitment domain (CARD), and has been shown to induce apoptosis and to activate NF-kappaB. This protein is reported to interact with other CARD domain containing proteins including CARD9, 10, 11 and 14, which are thought to function as upstream regulators in NF-kappaB signaling. This protein is found to form a complex with MALT1, a protein encoded by another gene known to be translocated in MALT lymphoma. MALT1 and this protein are thought to synergize in the activation of NF-kappaB, and the deregulation of either of them may contribute to the same pathogenetic process that leads to the malignancy. [provided by RefSeq]

Long Name

B Cell Lymphoma/Leukemia 10

Alternate Names

Bcl10, c-E10, CARMEN, CIPER, CLAP, mE10

Gene Symbol

BCL10

UniProt

Additional Bcl-10 Products

Product Documents for Bcl-10 Antibody

Certificate of Analysis

To download a Certificate of Analysis, please enter a lot number in the search box below.

Product Specific Notices for Bcl-10 Antibody

This product is for research use only and is not approved for use in humans or in clinical diagnosis. Primary Antibodies are guaranteed for 1 year from date of receipt.

Loading...
Loading...
Loading...
Loading...

⚠ WARNING: This product can expose you to chemicals including mercury, which is known to the State of California to cause reproductive toxicity with developmental effects.  For more information go to www.P65Warnings.ca.gov.