Skip to main content

BBS9 Antibody - BSA Free

Novus Biologicals, part of Bio-Techne | Catalog # NBP3-47877

Novus Biologicals, part of Bio-Techne
Catalog #
Availability
Size / Price
Qty
Loading...
NBP3-47877

Key Product Details

Species Reactivity

Human, Mouse

Applications

Immunohistochemistry, Western Blot, ELISA, Immunocytochemistry/ Immunofluorescence, Immunoprecipitation

Label

Unconjugated

Antibody Source

Polyclonal Rabbit IgG

Format

BSA Free

Concentration

Please see the vial label for concentration. If unlisted please contact technical services.

Product Specifications

Immunogen

Bardet-Biedl syndrome 9. (Uniprot# Q3SYG4)

Clonality

Polyclonal

Host

Rabbit

Isotype

IgG

Theoretical MW

60 kDa.
Disclaimer note: The observed molecular weight of the protein may vary from the listed predicted molecular weight due to post translational modifications, post translation cleavages, relative charges, and other experimental factors.

Description

Novus Biologicals Rabbit BBS9 Antibody - BSA Free (NBP3-47877) is a polyclonal antibody validated for use in IHC, WB, ELISA, ICC/IF and IP. All Novus Biologicals antibodies are covered by our 100% guarantee.

Scientific Data Images for BBS9 Antibody - BSA Free

BBS9 Antibody - BSA Free

Western Blot: BBS9 Antibody - BSA Free [NBP3-47877] -

Western Blot: BBS9 Antibody - BSA Free [NBP3-47877] - Mouse testis tissue were subjected to SDS PAGE followed by western blot with (BBS9 antibody) at dilution of 1:300
BBS9 Antibody - BSA Free

Immunoprecipitation: BBS9 Antibody - BSA Free [NBP3-47877] -

Immunoprecipitation: BBS9 Antibody - BSA Free [NBP3-47877] - IP Result of anti-BBS9 (IP:, 4ug; Detection: 1:500) with mouse testis tissue lysate 4000ug.
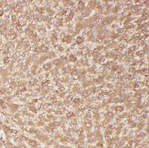
BBS9 Antibody - BSA Free

Immunohistochemistry: BBS9 Antibody - BSA Free [NBP3-47877] -

Immunohistochemistry: BBS9 Antibody - BSA Free [NBP3-47877] - Immunohistochemistry of paraffin-embedded human liver using (BBS9 antibody) at dilution of 1:50

Applications for BBS9 Antibody - BSA Free

Application
Recommended Usage

Immunocytochemistry/ Immunofluorescence

1:50-1:500

Immunohistochemistry

1:50-1:500

Immunoprecipitation

1:500-1:3000

Western Blot

1:1000-1:6000

Formulation, Preparation, and Storage

Purification

Immunogen affinity purified

Formulation

PBS, 50% Glycerol, pH (7.3)

Format

BSA Free

Preservative

0.02% Sodium Azide

Concentration

Please see the vial label for concentration. If unlisted please contact technical services.

Shipping

The product is shipped with polar packs. Upon receipt, store it immediately at the temperature recommended below.

Stability & Storage

Store at -20C. Avoid freeze-thaw cycles.

Background: BBS9

The BBS9 gene is downregulated by parathyroid hormone in osteoblastic cells, and therefore, is thought to be involved inparathyroid hormone action in bones. The exact function of this gene has not yet been determined. Alternativelyspliced transcript variants

Alternate Names

B1, Bardet-Biedl syndrome 9, Bardet-Biedl syndrome 9 protein, C18, D1, Parathyroid hormone-responsive B1 gene protein, protein PTHB1, PTHB1MGC118917, PTH-responsive osteosarcoma B1 protein

Gene Symbol

BBS9

Additional BBS9 Products

Product Documents for BBS9 Antibody - BSA Free

Certificate of Analysis

To download a Certificate of Analysis, please enter a lot number in the search box below.

Product Specific Notices for BBS9 Antibody - BSA Free

This product is for research use only and is not approved for use in humans or in clinical diagnosis. Primary Antibodies are guaranteed for 1 year from date of receipt.

Loading...
Loading...
Loading...
Loading...