Skip to main content

BBS4 Antibody - BSA Free

Novus Biologicals, part of Bio-Techne | Catalog # NBP3-12945

Novus Biologicals, part of Bio-Techne
Catalog #
Availability
Size / Price
Qty
Loading...
NBP3-12945

Key Product Details

Species Reactivity

Validated:

Mouse, Rat

Predicted:

Bovine (91%), Chimpanzee (98%), Human (100%), Porcine (92%). Backed by our 100% Guarantee.

Applications

Immunohistochemistry, Immunohistochemistry-Paraffin, Western Blot

Label

Unconjugated

Antibody Source

Polyclonal Rabbit IgG

Format

BSA Free

Concentration

Concentrations vary lot to lot. See vial label for concentration. If unlisted please contact technical services.

Product Specifications

Immunogen

Recombinant protein encompassing a sequence within the N-terminus region of human BBS4. The exact sequence is proprietary.

Clonality

Polyclonal

Host

Rabbit

Isotype

IgG

Description

Centrifuge briefly prior to opening.

Scientific Data Images for BBS4 Antibody - BSA Free

Western Blot: BBS4 Antibody [NBP3-12945]

Western Blot: BBS4 Antibody [NBP3-12945]

Western Blot: BBS4 Antibody [NBP3-12945] - Various whole cell extracts (30 ug) were separated by 10% SDS-PAGE, and the membrane was blotted with BBS4 antibody (NBP3-12945) diluted at 1:500.
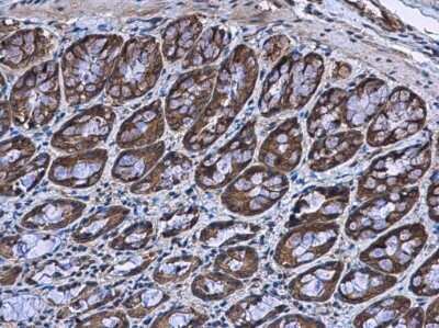
Immunohistochemistry-Paraffin: BBS4 Antibody [NBP3-12945]

Immunohistochemistry-Paraffin: BBS4 Antibody [NBP3-12945]

Immunohistochemistry-Paraffin: BBS4 Antibody [NBP3-12945] - BBS4 antibody detects BBS4 protein at cytoplasm in rat colon by immunohistochemical analysis. Sample: Paraffin-embedded rat colon. BBS4 antibody (NBP3-12945) diluted at 1:500. Antigen Retrieval: Citrate buffer, pH 6.0, 15 min

Applications for BBS4 Antibody - BSA Free

Application
Recommended Usage

Immunohistochemistry

Optimal dilutions of this antibody should be experimentally determined.

Immunohistochemistry-Paraffin

Optimal dilutions of this antibody should be experimentally determined.

Western Blot

Optimal dilutions of this antibody should be experimentally determined.

Formulation, Preparation, and Storage

Purification

Antigen Affinity-purified

Formulation

PBS, 20% Glycerol

Format

BSA Free

Preservative

0.025% Proclin 300

Concentration

Concentrations vary lot to lot. See vial label for concentration. If unlisted please contact technical services.

Shipping

The product is shipped with polar packs. Upon receipt, store it immediately at the temperature recommended below.

Stability & Storage

Store at 4C short term. Aliquot and store at -20C long term. Avoid freeze-thaw cycles.

Background: BBS4

The BBS4 gene encodes a protein which contains tetratricopeptide repeats (TPR), similar to O-linked N-acetyglucosamine transferase. Mutations in this gene have been observed in patients with Bardet-Biedl syndrome type 4. The encoded protein may play a role in

Alternate Names

Bardet-Biedl syndrome 4, Bardet-Biedl syndrome 4 protein

Gene Symbol

BBS4

Additional BBS4 Products

Product Documents for BBS4 Antibody - BSA Free

Certificate of Analysis

To download a Certificate of Analysis, please enter a lot number in the search box below.

Product Specific Notices for BBS4 Antibody - BSA Free

This product is for research use only and is not approved for use in humans or in clinical diagnosis. Primary Antibodies are guaranteed for 1 year from date of receipt.

Loading...
Loading...
Loading...
Loading...