Skip to main content

BBS4 Antibody - BSA Free

Novus Biologicals, part of Bio-Techne | Catalog # NBP1-86248

Novus Biologicals, part of Bio-Techne
Catalog #
Availability
Size / Price
Qty
Loading...
NBP1-86248
NBP1-86248-25ul

Key Product Details

Species Reactivity

Validated:

Human

Predicted:

Mouse (92%), Rat (91%). Backed by our 100% Guarantee.

Applications

Immunohistochemistry, Immunohistochemistry-Paraffin, Western Blot

Label

Unconjugated

Antibody Source

Polyclonal Rabbit IgG

Format

BSA Free

Concentration

Concentrations vary lot to lot. See vial label for concentration. If unlisted please contact technical services.

Product Specifications

Immunogen

This antibody was developed against Recombinant Protein corresponding to amino acids: TQFPVSTESQKPRQKKAPEFPILEKQNWLIHLHYIRKDYEACKAVIKEQLQETQGLCEYAIYVQALIFRLEGNIQESL

Clonality

Polyclonal

Host

Rabbit

Isotype

IgG

Scientific Data Images for BBS4 Antibody - BSA Free

BBS4 Antibody - BSA Free Western Blot: BBS4 Antibody - BSA Free [NBP1-86248]

Western Blot: BBS4 Antibody - BSA Free [NBP1-86248]

Analysis in control (vector only transfected HEK293T lysate) and BBS4 over-expression lysate (Co-expressed with a C-terminal myc-DDK tag (~3.1 kDa) in mammalian HEK293T cells).
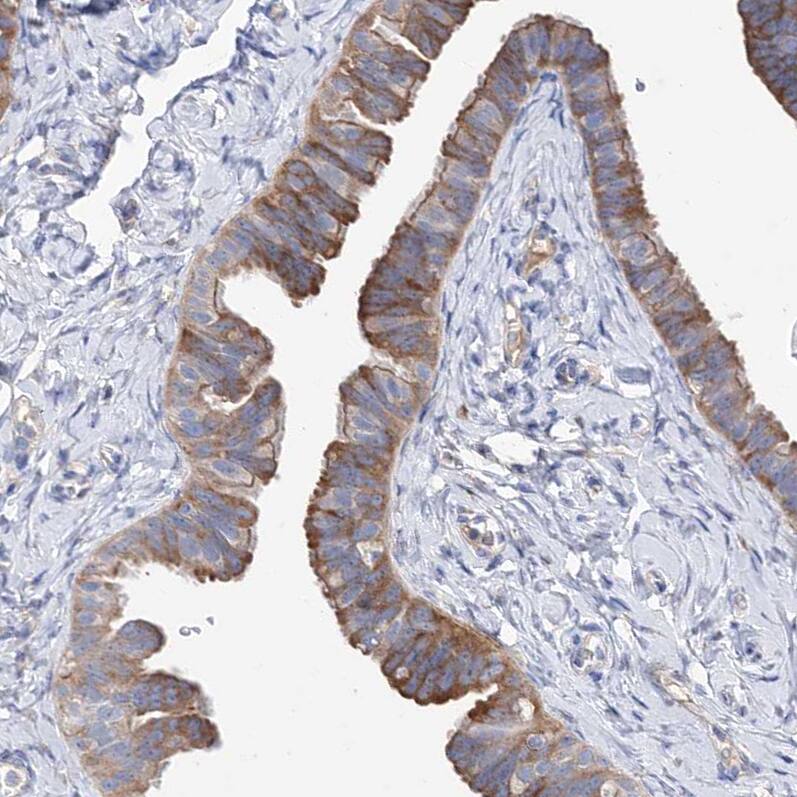
BBS4 Antibody - BSA Free Immunohistochemistry-Paraffin: BBS4 Antibody - BSA Free [NBP1-86248]

Immunohistochemistry-Paraffin: BBS4 Antibody - BSA Free [NBP1-86248]

Staining of human prostate shows strong cytoplasmic and membranous positivity in glandular cells.
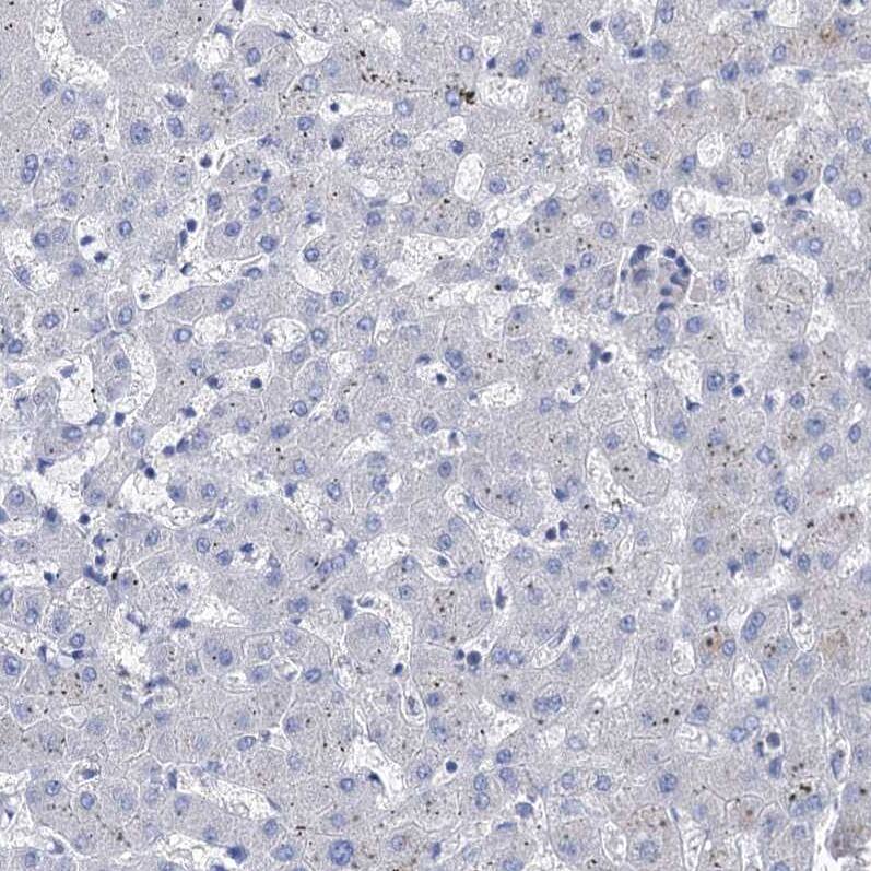
BBS4 Antibody - BSA Free Immunohistochemistry-Paraffin: BBS4 Antibody - BSA Free [NBP1-86248]

Immunohistochemistry-Paraffin: BBS4 Antibody - BSA Free [NBP1-86248]

Staining of human liver shows no positivity in hepatocytes as expected.

Applications for BBS4 Antibody - BSA Free

Application
Recommended Usage

Immunohistochemistry

1:200 - 1:500

Immunohistochemistry-Paraffin

1:200 - 1:500

Western Blot

0.04 - 0.4 ug/ml
Application Notes
For IHC-Paraffin, HIER pH 6 retrieval is recommended. Immunocytochemistry/Immunofluorescence Fixation Permeabilization: Use PFA/Triton X-100.

Formulation, Preparation, and Storage

Purification

Affinity purified

Formulation

PBS (pH 7.2) and 40% Glycerol

Format

BSA Free

Preservative

0.02% Sodium Azide

Concentration

Concentrations vary lot to lot. See vial label for concentration. If unlisted please contact technical services.

Shipping

The product is shipped with polar packs. Upon receipt, store it immediately at the temperature recommended below.

Stability & Storage

Store at 4C short term. Aliquot and store at -20C long term. Avoid freeze-thaw cycles.

Background: BBS4

The BBS4 gene encodes a protein which contains tetratricopeptide repeats (TPR), similar to O-linked N-acetyglucosamine transferase. Mutations in this gene have been observed in patients with Bardet-Biedl syndrome type 4. The encoded protein may play a role in

Alternate Names

Bardet-Biedl syndrome 4, Bardet-Biedl syndrome 4 protein

Gene Symbol

BBS4

Additional BBS4 Products

Product Documents for BBS4 Antibody - BSA Free

Certificate of Analysis

To download a Certificate of Analysis, please enter a lot number in the search box below.

Product Specific Notices for BBS4 Antibody - BSA Free

This product is for research use only and is not approved for use in humans or in clinical diagnosis. Primary Antibodies are guaranteed for 1 year from date of receipt.

Loading...
Loading...
Loading...
Loading...