BAT2 Antibody - BSA Free
Novus Biologicals, part of Bio-Techne | Catalog # NBP2-33471
Key Product Details
Species Reactivity
Human
Applications
Immunohistochemistry, Immunohistochemistry-Paraffin
Label
Unconjugated
Antibody Source
Polyclonal Rabbit IgG
Format
BSA Free
Concentration
Concentrations vary lot to lot. See vial label for concentration. If unlisted please contact technical services.
Product Specifications
Immunogen
This antibody was developed against a recombinant protein corresponding to amino acids: TDRGTEPGPIRPSHRPGPPVQFGTSDKDSDLRLVVGDSLKAEKELTASVTEAIPVSRDWELLPSAAASAEPQSKNLDSGHCVPEPSSSGQ
Clonality
Polyclonal
Host
Rabbit
Isotype
IgG
Scientific Data Images for BAT2 Antibody - BSA Free
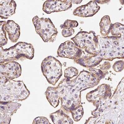
Immunohistochemistry-Paraffin: BAT2 Antibody [NBP2-33471]
Immunohistochemistry-Paraffin: BAT2 Antibody [NBP2-33471] - Staining of human testis shows weak cytoplasmic positivity in cells in seminiferous ducts.Immunohistochemistry-Paraffin: BAT2 Antibody [NBP2-33471]
Immunohistochemistry-Paraffin: BAT2 Antibody [NBP2-33471] - Staining of human placenta shows moderate granular cytoplasmic positivity in trophoblastic cells.Immunohistochemistry-Paraffin: BAT2 Antibody [NBP2-33471]
Immunohistochemistry-Paraffin: BAT2 Antibody [NBP2-33471] - Staining of human skeletal muscle shows weak cytoplasmic positivity in myocytes.Applications for BAT2 Antibody - BSA Free
Application
Recommended Usage
Immunohistochemistry
1:50 - 1:200
Immunohistochemistry-Paraffin
1:50 - 1:200
Application Notes
For IHC-Paraffin, HIER pH 6 retrieval is recommended.
Formulation, Preparation, and Storage
Purification
Affinity purified
Formulation
PBS (pH 7.2) and 40% Glycerol
Format
BSA Free
Preservative
0.02% Sodium Azide
Concentration
Concentrations vary lot to lot. See vial label for concentration. If unlisted please contact technical services.
Shipping
The product is shipped with polar packs. Upon receipt, store it immediately at the temperature recommended below.
Stability & Storage
Store at 4C short term. Aliquot and store at -20C long term. Avoid freeze-thaw cycles.
Background: BAT2
Alternate Names
BAT2DKFZp686D09175, D6S51ED6S51, G2HLA-B-associated transcript 2, HLA-B associated transcript 2, Large proline-rich protein BAT2, Proline-rich and coiled-coil-containing protein 2A, proline-rich coiled-coil 2A, Protein G2
Gene Symbol
PRRC2A
UniProt
Additional BAT2 Products
Product Documents for BAT2 Antibody - BSA Free
Product Specific Notices for BAT2 Antibody - BSA Free
This product is for research use only and is not approved for use in humans or in clinical diagnosis. Primary Antibodies are guaranteed for 1 year from date of receipt.
Loading...
Loading...
Loading...
Loading...