Skip to main content

BAP29 Antibody - BSA Free

Novus Biologicals, part of Bio-Techne | Catalog # NBP3-38246

Novus Biologicals, part of Bio-Techne
Catalog #
Availability
Size / Price
Qty
Loading...
NBP3-38246-20ul
NBP3-38246-100ul

Key Product Details

Species Reactivity

Human, Mouse, Rat

Applications

ELISA, Immunohistochemistry, Immunohistochemistry-Paraffin, Western Blot

Label

Unconjugated

Antibody Source

Polyclonal Rabbit IgG

Format

BSA Free

Concentration

Please see the vial label for concentration. If unlisted please contact technical services.

Product Specifications

Immunogen

Recombinant fusion protein containing a sequence corresponding to amino acids 125-241 of human BAP29 (NP_061332.2).

Sequence:
TQLAKELSNKGVLKTQAENTNKAAKKFMEENEKLKRILKSHGKDEECVLEAENKKLVEDQEKLKTELRKTSDALSKAQNDVMEMKMQSERLSKEYDQLLKEHSELQDRLERGNKKRL

Clonality

Polyclonal

Host

Rabbit

Isotype

IgG

Theoretical MW

28 kDa.
Disclaimer note: The observed molecular weight of the protein may vary from the listed predicted molecular weight due to post translational modifications, post translation cleavages, relative charges, and other experimental factors.

Description

Novus Biologicals Rabbit BAP29 Antibody - BSA Free (NBP3-38246) is a polyclonal antibody validated for use in IHC, WB and ELISA. All Novus Biologicals antibodies are covered by our 100% guarantee.

Scientific Data Images for BAP29 Antibody - BSA Free

BAP29 Antibody

Immunohistochemistry: BAP29 Antibody [NBP3-38246] -

Immunohistochemistry: BAP29 Antibody [NBP3-38246] - Immunohistochemistry analysis of paraffin-embedded Mouse spleen using BAP29 Rabbit pAb at dilution of 1:100 (40x lens). Microwave antigen retrieval performed with 0.01M PBS Buffer (pH 7.2) prior to IHC staining.
BAP29 Antibody

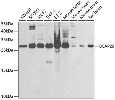
Western Blot: BAP29 Antibody [NBP3-38246] -

Western Blot: BAP29 Antibody [NBP3-38246] - Western blot analysis of various lysates using BAP29 Rabbit pAb at 1:1000 dilution.
Secondary antibody: HRP-conjugated Goat anti-Rabbit IgG (H+L) at 1:10000 dilution.
Lysates/proteins: 25ug per lane.
Blocking buffer: 3% nonfat dry milk in TBST.
Detection: ECL Enhanced Kit.
Exposure time: 30s.
BAP29 Antibody

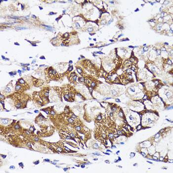
Immunohistochemistry: BAP29 Antibody [NBP3-38246] -

Immunohistochemistry: BAP29 Antibody [NBP3-38246] - Immunohistochemistry analysis of paraffin-embedded Rat kidney using BAP29 Rabbit pAb at dilution of 1:100 (40x lens). Microwave antigen retrieval performed with 0.01M PBS Buffer (pH 7.2) prior to IHC staining.

Applications for BAP29 Antibody - BSA Free

Application
Recommended Usage

Immunohistochemistry-Paraffin

1:50 - 1:200

Western Blot

1:500 - 1:2000

Formulation, Preparation, and Storage

Purification

Affinity purified

Formulation

PBS (pH 7.3), 50% glycerol

Format

BSA Free

Preservative

0.02% Sodium Azide

Concentration

Please see the vial label for concentration. If unlisted please contact technical services.

Shipping

The product is shipped with polar packs. Upon receipt, store it immediately at the temperature recommended below.

Stability & Storage

Store at -20C. Avoid freeze-thaw cycles.

Background: BAP29

BAP29 may play a role in anterograde transport of membrane proteins from the endoplasmic reticulum to the Golgi. May be involved in CASP8-mediated apoptosis

Alternate Names

Bap29, BAP29DKFZp686M2086, B-cell receptor-associated protein 29, BCR-associated protein 29, FLJ53907

Gene Symbol

BCAP29

Additional BAP29 Products

Product Documents for BAP29 Antibody - BSA Free

Certificate of Analysis

To download a Certificate of Analysis, please enter a lot number in the search box below.

Product Specific Notices for BAP29 Antibody - BSA Free

This product is for research use only and is not approved for use in humans or in clinical diagnosis. Primary Antibodies are guaranteed for 1 year from date of receipt.

Loading...
Loading...
Loading...
Loading...