Skip to main content

BAP29 Antibody - BSA Free

Novus Biologicals, part of Bio-Techne | Catalog # NBP2-38606

Novus Biologicals, part of Bio-Techne
Catalog #
Availability
Size / Price
Qty
Loading...
NBP2-38606
NBP2-38606-25ul

Key Product Details

Validated by

Orthogonal Validation, Independent Antibodies

Species Reactivity

Human

Applications

Immunohistochemistry, Immunohistochemistry-Paraffin, Immunocytochemistry/ Immunofluorescence

Label

Unconjugated

Antibody Source

Polyclonal Rabbit IgG

Format

BSA Free

Concentration

Concentrations vary lot to lot. See vial label for concentration. If unlisted please contact technical services.

Product Specifications

Immunogen

This antibody was developed against a recombinant protein corresponding to amino acids: KLVEDQEKLKTELRKTSDALSKAQNDVMEMKMQSERLSKEYDQLLKEHSELQDRLERGNKK

Reactivity Notes

Immunogen displays the following percentage of sequence identity for non-tested species: Rat (82%)

Clonality

Polyclonal

Host

Rabbit

Isotype

IgG

Description

Novus Biologicals Rabbit BAP29 Antibody - BSA Free (NBP2-38606) is a polyclonal antibody validated for use in IHC and ICC/IF. All Novus Biologicals antibodies are covered by our 100% guarantee.

Scientific Data Images for BAP29 Antibody - BSA Free

Immunocytochemistry/ Immunofluorescence: BAP29 Antibody [NBP2-38606]

Immunocytochemistry/ Immunofluorescence: BAP29 Antibody [NBP2-38606]

Immunocytochemistry/Immunofluorescence: BAP29 Antibody [NBP2-38606] - Immunofluorescent staining of human cell line A-431 shows localization to cytosol.
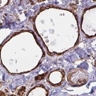
Immunohistochemistry-Paraffin: BAP29 Antibody [NBP2-38606]

Immunohistochemistry-Paraffin: BAP29 Antibody [NBP2-38606]

Immunohistochemistry-Paraffin: BAP29 Antibody [NBP2-38606] - Staining of human thyroid gland.
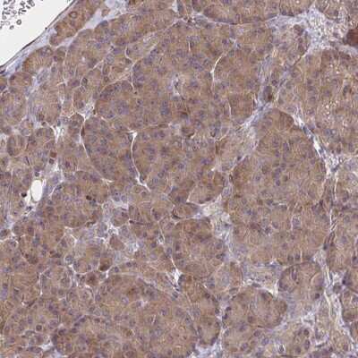
Immunohistochemistry-Paraffin: BAP29 Antibody [NBP2-38606]

Immunohistochemistry-Paraffin: BAP29 Antibody [NBP2-38606]

Immunohistochemistry-Paraffin: BAP29 Antibody [NBP2-38606] - Staining of human pancreas shows low expression as expected.

Applications for BAP29 Antibody - BSA Free

Application
Recommended Usage

Immunocytochemistry/ Immunofluorescence

0.25-2 ug/ml

Immunohistochemistry

1:200 - 1:500

Immunohistochemistry-Paraffin

1:200 - 1:500
Application Notes
For IHC-Paraffin, HIER pH 6 retrieval is recommended. Immunocytochemistry/Immunofluorescence Fixation Permeabilization: Use PFA/Triton X-100.

Formulation, Preparation, and Storage

Purification

Affinity purified

Formulation

PBS (pH 7.2) and 40% Glycerol

Format

BSA Free

Preservative

0.02% Sodium Azide

Concentration

Concentrations vary lot to lot. See vial label for concentration. If unlisted please contact technical services.

Shipping

The product is shipped with polar packs. Upon receipt, store it immediately at the temperature recommended below.

Stability & Storage

Store at 4C short term. Aliquot and store at -20C long term. Avoid freeze-thaw cycles.

Background: BAP29

BAP29 may play a role in anterograde transport of membrane proteins from the endoplasmic reticulum to the Golgi. May be involved in CASP8-mediated apoptosis

Alternate Names

Bap29, BAP29DKFZp686M2086, B-cell receptor-associated protein 29, BCR-associated protein 29, FLJ53907

Gene Symbol

BCAP29

UniProt

Additional BAP29 Products

Product Documents for BAP29 Antibody - BSA Free

Certificate of Analysis

To download a Certificate of Analysis, please enter a lot number in the search box below.

Product Specific Notices for BAP29 Antibody - BSA Free

This product is for research use only and is not approved for use in humans or in clinical diagnosis. Primary Antibodies are guaranteed for 1 year from date of receipt.

Loading...
Loading...
Loading...
Loading...