Skip to main content

BAG2 Antibody - BSA Free

Novus Biologicals, part of Bio-Techne | Catalog # NB100-56087

Novus Biologicals, part of Bio-Techne
Catalog #
Availability
Size / Price
Qty
Loading...
NB100-56087
NB100-56087SS

Key Product Details

Validated by

Biological Validation

Species Reactivity

Human

Applications

Validated:

Immunohistochemistry, Immunohistochemistry-Paraffin, Western Blot, Immunocytochemistry/ Immunofluorescence, Immunoprecipitation

Cited:

Western Blot, Immunocytochemistry/ Immunofluorescence

Label

Unconjugated

Antibody Source

Polyclonal Rabbit IgG

Format

BSA Free

Concentration

This product is unpurified. The exact concentration of antibody is not quantifiable.

Product Specifications

Immunogen

Full-length recombinant human BAG-2 protein was used as immunogen.

Clonality

Polyclonal

Host

Rabbit

Isotype

IgG

Description

Novus Biologicals Rabbit BAG2 Antibody - BSA Free (NB100-56087) is a polyclonal antibody validated for use in IHC, WB, ICC/IF and IP. Anti-BAG2 Antibody: Cited in 3 publications. All Novus Biologicals antibodies are covered by our 100% guarantee.

Scientific Data Images for BAG2 Antibody - BSA Free

Western Blot: BAG2 Antibody [NB100-56087]

Western Blot: BAG2 Antibody [NB100-56087]

Western Blot: BAG2 Antibody [NB100-56087] - analysis of BAG-2 using this antibody. HeLa stably transfected Myc-tagged CHIP (
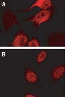
Immunocytochemistry/ Immunofluorescence: BAG2 Antibody [NB100-56087]

Immunocytochemistry/ Immunofluorescence: BAG2 Antibody [NB100-56087]

Immunocytochemistry/Immunofluorescence: BAG2 Antibody [NB100-56087] - Immunofluorescence confocal microscopy of BAG-2 using NB100-56087 at 1:2000. HeLa cells stably transfected with Myc-CHIP (carboxyl terminus of Hsp70-interacting protein) and growing on coverslips were left untreated (A) or heat shocked at 42 degrees for 30 min (B). Cells were fixed with 3.7% paraformaldehyde, permeabilized with 0.5% Triton X-100 prior to antibody staining. BAG-2 localized to the cytoplasm of untreated cells, and to the nucleus of cells subjected to heat shock. Please refer to Dai et al (2005) for additional information on HeLa cells stably transfected with Myc-CHIP.
Immunohistochemistry-Paraffin: BAG2 Antibody [NB100-56087]

Immunohistochemistry-Paraffin: BAG2 Antibody [NB100-56087]

Immunohistochemistry-Paraffin: BAG2 Antibody [NB100-56087] - BAG-2 was detected in immersion fixed paraffin-embedded sections of human testis using Rabbit Anti-Human BAG-2 polyclonal Antibody (Catalog # NB100-56087) at 1:1000 for 1 hour at room temperature followed by incubation with the Anti-Rabbit IgG VisUCyte™ HRP Polymer Antibody (Catalog # VC003). Tissue was stained using DAB (brown) and counterstained with hematoxylin (blue). Specific staining was localized to the cytoplasm and plasma membrane.

Applications for BAG2 Antibody - BSA Free

Application
Recommended Usage

Immunocytochemistry/ Immunofluorescence

1:1000-1:5000

Immunohistochemistry-Paraffin

1:1000-1:5000

Immunoprecipitation

1:50-1:200

Western Blot

1:1000-1:2000

Formulation, Preparation, and Storage

Purification

Unpurified

Formulation

Whole antisera

Format

BSA Free

Preservative

0.05% Sodium Azide

Concentration

This product is unpurified. The exact concentration of antibody is not quantifiable.

Shipping

The product is shipped with polar packs. Upon receipt, store it immediately at the temperature recommended below.

Stability & Storage

Store at 4C short term. Aliquot and store at -20C long term. Avoid freeze-thaw cycles.

Background: BAG2

The BAG (Bcl-2-associated anthanogene) proteins are a family of chaperone regulators that modulate a number of diverse processes including proliferation, survival, stress responses, tumorigenesis, neuronal differentiation, growth arrest and apoptosis (reviewed Takayama and Reed, 2001; Doong et al, 2002, and Doukhanina et al. 2006). BAG proteins have been characterized as co-chaperones and interact with the chaperone heat shock proteins 70, both constitutive Hsc70 and inducible Hsp70. BAG proteins bind through their BAG domain to the ATPase domain of Hsc70/Hsp70, and can modulate either positively or negatively the functions of the Hsc70/Hsp70 chaperone proteins. The BAG domain has been shown to contribute to the anti-apoptotic activity of BAG-family proteins. The anti-apoptotic activities of BAG-family proteins may be dependent on their interactions with Hsc70/Asp70 and/or binding to Bcl-2. In addition to the conserved BAG domain, BAG-family proteins also contain additional domains which enable them to interact with specific target proteins or to target them to specific locations within cells. The BAG family contains at least six family members, including BAG-1 and its various isoforms [including BAG-1S , BAG-1M (RAP46/HAP46), and BAG-1L, BAG2, BAG3 (CAIR-1; Bis,), BAG4 (SODD), BAG5 and BAG6 (Scythe, BAT3). The following amino acids (aa) lengths and molecular weights (kDa) have been described for human BAG proteins (reviewed in Takayama et al, 2001 and Doong et al, 2002): BAG-1 (230 aa., 34 kDa), BAG-1S (219 aa, 29 kDa), BAG-1M (274 aa, 46 kDa), BAG-1L (345 aa, 52 kDa), BAG-2 [212 aa; 24 kDa (Arndt et al. 2005)], BAG-3 (575 aa, 74 kDa), BAG-4 (456 aa; 60 kDa), BAG-5 ([442 aa; 51 kDa (Kalia et al. 2004)], and BAG-6 (1129 aa; 150 kDa). Recognizes BAG-2; human BAG-2 migrates at 24-28 kDa on SDS-PAGE.

Alternate Names

BAG family molecular chaperone regulator 2, BAG-2, BAG-family molecular chaperone regulator-2, Bcl-2-associated athanogene 2, BCL2-associated athanogene 2, dJ417I1.2, dJ417I1.2 (BAG-family molecular chaperone regulator 2), KIAA0576, MGC149462

Entrez Gene IDs

9532 (Human)

Gene Symbol

BAG2

Additional BAG2 Products

Product Documents for BAG2 Antibody - BSA Free

Certificate of Analysis

To download a Certificate of Analysis, please enter a lot number in the search box below.

Product Specific Notices for BAG2 Antibody - BSA Free

This product is for research use only and is not approved for use in humans or in clinical diagnosis. Primary Antibodies are guaranteed for 1 year from date of receipt.

Loading...
Loading...
Loading...
Loading...