Skip to main content

Bad [p Ser112] Antibody - BSA Free

Novus Biologicals, part of Bio-Techne | Catalog # NB100-81807

Novus Biologicals, part of Bio-Techne
Catalog #
Availability
Size / Price
Qty
Loading...
NB100-81807-0.025ml
NB100-81807

Key Product Details

Validated by

Biological Validation

Species Reactivity

Validated:

Human, Mouse

Cited:

Human

Applications

Validated:

Immunohistochemistry, Immunohistochemistry-Paraffin, Western Blot

Cited:

Western Blot

Label

Unconjugated

Antibody Source

Polyclonal Rabbit IgG

Format

BSA Free

Concentration

1.0 mg/ml

Product Specifications

Immunogen

The antiserum was produced against synthesized phosphopeptide derived from mouse Bad around the phosphorylation site of serine 112 (H-S-SP-Y-P).

Modification

p Ser112

Specificity

Detects endogenous levels of Bad only when phosphorylated at serine 112.

Clonality

Polyclonal

Host

Rabbit

Isotype

IgG

Theoretical MW

23 kDa.
Disclaimer note: The observed molecular weight of the protein may vary from the listed predicted molecular weight due to post translational modifications, post translation cleavages, relative charges, and other experimental factors.

Description

Novus Biologicals Rabbit Bad [p Ser112] Antibody - BSA Free (NB100-81807) is a polyclonal antibody validated for use in IHC and WB. Anti-Bad Antibody: Cited in 1 publication. All Novus Biologicals antibodies are covered by our 100% guarantee.

Scientific Data Images for Bad [p Ser112] Antibody - BSA Free

Western Blot: Bad [p Ser112] Antibody [NB100-81807]

Western Blot: Bad [p Ser112] Antibody [NB100-81807]

Western Blot: Bad [p Ser112] Antibody [NB100-81807] - Analysis of extracts from cos7 cells untreated or treated with EGF using BAD(Phospho-Ser112)

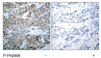
Immunohistochemistry-Paraffin: Bad [p Ser112] Antibody [NB100-81807] -

Immunohistochemistry-Paraffin: Bad [p Ser112] Antibody [NB100-81807] - Immunohistochemical analysis of paraffin-embedded human breast carcinoma tissue using NB100-81807 (left) or the same antibody preincubated with blocking peptide(right).
Bad [p Ser112] Antibody - BSA Free

Immunohistochemistry-Paraffin: Bad [p Ser112] Antibody [NB100-81807] -

Immunohistochemistry-Paraffin: Bad [p Ser112] Antibody [NB100-81807] - Immunohistochemical analysis of paraffin-embedded human breast carcinoma tissue using NB100-81807(left) or the same antibody preincubated with blocking peptide(right).

Applications for Bad [p Ser112] Antibody - BSA Free

Application
Recommended Usage

Immunohistochemistry

1:50-1:100

Immunohistochemistry-Paraffin

1:50-1:100

Western Blot

1:500-1:1000

Formulation, Preparation, and Storage

Purification

Immunogen affinity purified

Formulation

PBS (without Mg2+ and Ca2+), pH 7.4, 150 mM NaCl, 50% glycerol

Format

BSA Free

Preservative

0.02% Sodium Azide

Concentration

1.0 mg/ml

Shipping

The product is shipped with polar packs. Upon receipt, store it immediately at the temperature recommended below.

Stability & Storage

Store at 4C short term. Aliquot and store at -20C long term. Avoid freeze-thaw cycles.

Background: Bad

Bad is a member of the Bcl2 family and acts to promote apoptosis by forming heterodimers with the survival proteins Bcl2 and BclxL, thus preventing them from binding with BAX. Bad is found on the outer mitochondrial membrane and, once phosphorylated in response to growth stimuli, translocates to the cytoplasm. The phosphorylation status of Bad represents a key checkpoint for death or cell survival. JNK-induced phosphorylation of BAD serine 128 promotes the apoptotic role of Bad by opposing the inhibitory effect of growth factor on Bad-mediated apoptosis. Cdc2-induced phosphorylation of Bad serine 128 has an inhibitory effect on its interaction with 14-3-3 proteins. The latter interaction is critical for Bad phosphorylation at serine 155, a site within the BH3 domain that leads to the release of BclxL and the promotion of cell survival. Alternative splicing of this gene results in two transcript variants which encode the same isoform.

Long Name

Bcl-xL/Bcl-2 Associated Death Promoter

Alternate Names

BBC6, BCL2L8

Entrez Gene IDs

572 (Human); 64639 (Rat)

Gene Symbol

BAD

UniProt

Additional Bad Products

Product Documents for Bad [p Ser112] Antibody - BSA Free

Certificate of Analysis

To download a Certificate of Analysis, please enter a lot number in the search box below.

Product Specific Notices for Bad [p Ser112] Antibody - BSA Free

This product is for research use only and is not approved for use in humans or in clinical diagnosis. Primary Antibodies are guaranteed for 1 year from date of receipt.

Loading...
Loading...
Loading...
Loading...