Skip to main content

BACH1 Antibody - BSA Free

Novus Biologicals, part of Bio-Techne | Catalog # NBP2-55113

Novus Biologicals, part of Bio-Techne
Catalog #
Availability
Size / Price
Qty
Loading...
NBP2-55113-25ul
NBP2-55113

Key Product Details

Species Reactivity

Validated:

Human

Predicted:

Mouse (97%), Rat (96%). Backed by our 100% Guarantee.

Applications

Immunohistochemistry, Immunohistochemistry-Paraffin, Immunocytochemistry/ Immunofluorescence, Chromatin Immunoprecipitation-exo-Seq

Label

Unconjugated

Antibody Source

Polyclonal Rabbit IgG

Format

BSA Free

Concentration

Concentrations vary lot to lot. See vial label for concentration. If unlisted please contact technical services.

Product Specifications

Immunogen

This antibody was developed against a recombinant protein corresponding to the following amino acid sequence: LGIRISESPEPGQRTFTTLSSVNCPFISTLSTEGCSSNLEIGNDDYVSEPQQEPCPYACVISLGDDSETDTEGDSESCSAREQECEVKLPFNAQRIIS

Clonality

Polyclonal

Host

Rabbit

Isotype

IgG

Scientific Data Images for BACH1 Antibody - BSA Free

Immunocytochemistry/ Immunofluorescence: BACH1 Antibody [NBP2-55113]

Immunocytochemistry/ Immunofluorescence: BACH1 Antibody [NBP2-55113]

Immunocytochemistry/Immunofluorescence: BACH1 Antibody [NBP2-55113] - Staining of human cell line A-431 shows localization to nucleoplasm. Antibody staining is shown in green.
BACH1 Antibody

Immunohistochemistry-Paraffin: BACH1 Antibody [NBP2-55113] -

Immunohistochemistry-Paraffin: BACH1 Antibody [NBP2-55113] - Staining of human testis shows moderate nuclear and cytoplasmic positivity in cells in seminiferous ducts.
BACH1 Antibody

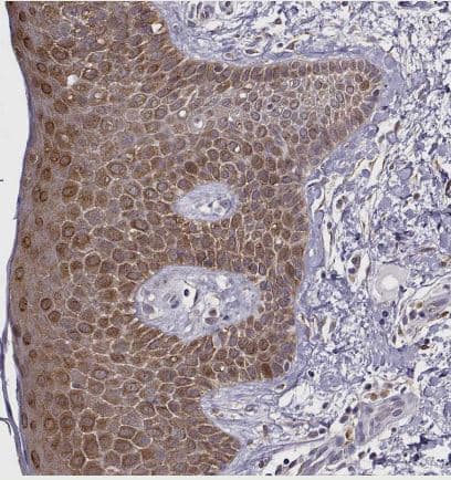
Immunohistochemistry-Paraffin: BACH1 Antibody [NBP2-55113] -

Immunohistochemistry-Paraffin: BACH1 Antibody [NBP2-55113] -Staining of human skin shows strong cytoplasmic positivity in squamous epithelial cells.

Applications for BACH1 Antibody - BSA Free

Application
Recommended Usage

Chromatin Immunoprecipitation-exo-Seq

1-10ug per reaction

Immunocytochemistry/ Immunofluorescence

0.25-2 ug/ml

Immunohistochemistry

1:200 - 1:500

Immunohistochemistry-Paraffin

1:200 - 1:500
Application Notes
ICC/IF, Fixation Permeabilization: Use PFA/Triton X-100. IHC Retrieval method: HIER pH6.

Formulation, Preparation, and Storage

Purification

Affinity purified

Formulation

PBS (pH 7.2) and 40% Glycerol

Format

BSA Free

Preservative

0.02% Sodium Azide

Concentration

Concentrations vary lot to lot. See vial label for concentration. If unlisted please contact technical services.

Shipping

The product is shipped with polar packs. Upon receipt, store it immediately at the temperature recommended below.

Stability & Storage

Store at 4C short term. Aliquot and store at -20C long term. Avoid freeze-thaw cycles.

Background: BACH1

BACH1 (also known as BRCA1 interacting protein C-terminal helicase 1, BRCA1-interacting protein 1 and BRCA1-associated C-terminal helicase 1) is a member of the RecQ DEAH helicase family and interacts with the BRCT repeats of breast cancer, type 1 (BRCA1). The bound complex is important in the normal double-strand break repair function of breast cancer, type 1 (BRCA1). The BACH1 gene may be a target of germline cancer-inducing mutations. BACH1 is localized within the nucleus and functions as a DNA-dependent ATPase and 5' to 3' DNA helicase. Two isoforms have been identified for this protein.

Long Name

BTB and CNC homolog 1

Alternate Names

BTB, HA2303

Gene Symbol

BACH1

Additional BACH1 Products

Product Documents for BACH1 Antibody - BSA Free

Certificate of Analysis

To download a Certificate of Analysis, please enter a lot number in the search box below.

Product Specific Notices for BACH1 Antibody - BSA Free

This product is for research use only and is not approved for use in humans or in clinical diagnosis. Primary Antibodies are guaranteed for 1 year from date of receipt.

Loading...
Loading...
Loading...
Loading...