Skip to main content

BACH1 Antibody (OTI4E11)

Novus Biologicals, part of Bio-Techne | Catalog # NBP2-01904

Novus Biologicals, part of Bio-Techne
Catalog #
Availability
Size / Price
Qty
Loading...
NBP2-01904

Key Product Details

Species Reactivity

Validated:

Human

Cited:

Human

Applications

Validated:

Immunohistochemistry, Immunohistochemistry-Paraffin, Western Blot, Flow Cytometry

Cited:

IF/IHC

Label

Unconjugated

Antibody Source

Monoclonal Mouse IgG1 Clone # OTI4E11

Concentration

1 mg/ml

Product Specifications

Immunogen

Full length human recombinant protein of human BACH1(NP_996749) produced in HEK293T cell.

Clonality

Monoclonal

Host

Mouse

Isotype

IgG1

Theoretical MW

81.8 kDa.
Disclaimer note: The observed molecular weight of the protein may vary from the listed predicted molecular weight due to post translational modifications, post translation cleavages, relative charges, and other experimental factors.

Description

Novus Biologicals Mouse BACH1 Antibody (OTI4E11) (NBP2-01904) is a monoclonal antibody validated for use in IHC, WB and Flow. Anti-BACH1 Antibody: Cited in 2 publications. All Novus Biologicals antibodies are covered by our 100% guarantee.

Scientific Data Images for BACH1 Antibody (OTI4E11)

Western Blot: BACH1 Antibody (OTI4E11) [NBP2-01904]

Western Blot: BACH1 Antibody (OTI4E11) [NBP2-01904]

Western Blot: BACH1 Antibody (4E11) [NBP2-01904] - HEK293T cells were transfected with the pCMV6-ENTRY control (Left lane) or pCMV6-ENTRY BACH1 (Right lane) cDNA for 48 hrs and lysed. Equivalent amounts of cell lysates (5 ug per lane) were separated by SDS-PAGE and immunoblotted with anti-BACH1.
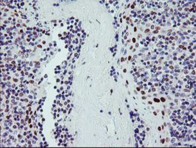
Immunohistochemistry-Paraffin: BACH1 Antibody (4E11) [NBP2-01904] Staining of paraffin-embedded Human tonsil using anti-BACH1 mouse monoclonal antibody.
Flow Cytometry: BACH1 Antibody (OTI4E11) [NBP2-01904]

Flow Cytometry: BACH1 Antibody (OTI4E11) [NBP2-01904]

Flow Cytometry: BACH1 Antibody (4E11) [NBP2-01904] - HEK293T cells transfected with either overexpression plasmid (Red) or empty vector control plasmid (Blue) were immunostained by anti-BACH1 antibody, and then analyzed by flow cytometry.

Applications for BACH1 Antibody (OTI4E11)

Application
Recommended Usage

Flow Cytometry

1:100

Immunohistochemistry

1:150

Immunohistochemistry-Paraffin

1:150

Western Blot

1:2000

Formulation, Preparation, and Storage

Purification

Immunogen affinity purified

Formulation

PBS (pH 7.3), 1.0% BSA and 50% Glycerol

Preservative

0.02% Sodium Azide

Concentration

1 mg/ml

Shipping

The product is shipped with polar packs. Upon receipt, store it immediately at the temperature recommended below.

Stability & Storage

Store at -20C. Avoid freeze-thaw cycles.

Background: BACH1

This gene encodes a transcription factor that belongs to the cap'n'collar type of basic region leucine zipper factor family (CNC-bZip). The encoded protein contains broad complex, tramtrack, bric-a-brac/poxvirus and zinc finger (BTB/POZ) domains, which is atypical of CNC-bZip family members. These BTB/POZ domains facilitate protein-protein interactions and formation of homo- and/or hetero-oligomers. When this encoded protein forms a heterodimer with MafK, it functions as a repressor of Maf recognition element (MARE) and transcription is repressed. Multiple alternatively spliced transcript variants have been identified for this gene. [provided by RefSeq].

Long Name

BTB and CNC homolog 1

Alternate Names

BTB, HA2303

Entrez Gene IDs

571 (Human)

Gene Symbol

BACH1

Additional BACH1 Products

Product Documents for BACH1 Antibody (OTI4E11)

Certificate of Analysis

To download a Certificate of Analysis, please enter a lot number in the search box below.

Product Specific Notices for BACH1 Antibody (OTI4E11)

This product is for research use only and is not approved for use in humans or in clinical diagnosis. Primary Antibodies are guaranteed for 1 year from date of receipt.

Loading...
Loading...
Loading...
Loading...
Loading...