Skip to main content

Aurora B Antibody (RM278)

Novus Biologicals, part of Bio-Techne | Catalog # NBP2-61493

Recombinant Monoclonal Antibody.
Novus Biologicals, part of Bio-Techne
Catalog #
Availability
Size / Price
Qty
Loading...
NBP2-61493

Key Product Details

Validated by

Biological Validation

Species Reactivity

Human

Applications

Immunohistochemistry, Immunohistochemistry-Paraffin, Western Blot

Label

Unconjugated

Antibody Source

Recombinant Monoclonal Rabbit IgG Clone # RM278 expressed in HEK293

Concentration

Please see the vial label for concentration. If unlisted please contact technical services.

Product Specifications

Immunogen

A peptide corresponding to the N-terminus of Human Aurora B

Clonality

Monoclonal

Host

Rabbit

Isotype

IgG

Description

Novus Biologicals Rabbit Aurora B Antibody (RM278) (NBP2-61493) is a recombinant monoclonal antibody validated for use in IHC and WB. Anti-Aurora B Antibody: Cited in 1 publication. All Novus Biologicals antibodies are covered by our 100% guarantee.

Scientific Data Images for Aurora B Antibody (RM278)

Western Blot: Aurora B Antibody (RM278) [NBP2-61493] -

Western Blot: Aurora B Antibody (RM278) [NBP2-61493] - Western Blot of HeLa cells nontreated (-) or treated (+) with Nocodazole (NOC), using NBP2-61493 at a 1:1000 dilution
Aurora B Antibody (RM278)

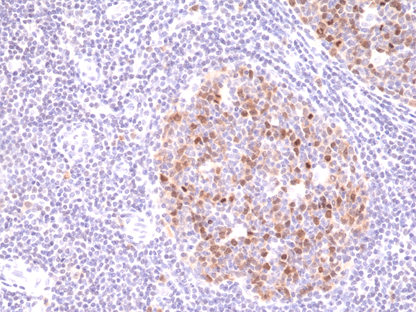
Immunohistochemistry-Paraffin: Aurora B Antibody (RM278) [NBP2-61493] -

Immunohistochemistry-Paraffin: Aurora B Antibody (RM278) [NBP2-61493] - Immunohistochemical staining of formalin fixed and paraffin embedded Human tonsil tissue sections using NBP2-61493 at a 1:500 dilution

Applications for Aurora B Antibody (RM278)

Application
Recommended Usage

Immunohistochemistry

1:200-1:500

Western Blot

1:1000 - 1:2000

Formulation, Preparation, and Storage

Purification

Protein A purified

Formulation

50% Glycerol/PBS, 1% BSA

Preservative

0.09% Sodium Azide

Concentration

Please see the vial label for concentration. If unlisted please contact technical services.

Shipping

The product is shipped with polar packs. Upon receipt, store it immediately at the temperature recommended below.

Stability & Storage

Store at -20C. Avoid freeze-thaw cycles.

Background: Aurora B

Aurora-B is a member of a novel family of serine/threonine kinases that have been identified as key regulators of the mitotic cell division process. Aurora-B is known to be involved in the regulation of centrosome function, bipolar spindle assembly and chromosome segregation. Aurora kinases are localized at the centrosomes of interphase cells, at the poles of the bipolar spindle and in the midbody of the mitotic apparatus. Substrates identified for the Aurora-B kinases include a kinesin-like motor protein, spindle apparatus proteins, histone H3 protein, kinetochore protein and the tumor suppressor protein p53 (1). Overexpression of aurora B produced multinuclearity and induced aggressive metastasis, suggesting that overexpressed aurora B has multiple functions in cancer development. Identification of Aurora kinases as RasGAP Src homology 3 domain binding protein, also implicates these kinases as potential effectors in the Ras pathway relevant to oncogenesis (2).

Alternate Names

Aik2, AIM-1, AIM1, ARK2, AURKB, IPL1, STK12, STK5

Gene Symbol

AURKB

Additional Aurora B Products

Product Documents for Aurora B Antibody (RM278)

Certificate of Analysis

To download a Certificate of Analysis, please enter a lot number in the search box below.

Product Specific Notices for Aurora B Antibody (RM278)

This product is for research use only and is not approved for use in humans or in clinical diagnosis. Primary Antibodies are guaranteed for 1 year from date of receipt.

Loading...
Loading...
Loading...
Loading...