Skip to main content

AUH Antibody - BSA Free

Novus Biologicals, part of Bio-Techne | Catalog # NBP2-97719

Novus Biologicals, part of Bio-Techne

Key Product Details

Species Reactivity

Human

Applications

Immunohistochemistry-Paraffin, Immunoprecipitation, Western Blot

Label

Unconjugated

Antibody Source

Polyclonal Rabbit IgG

Format

BSA Free

Concentration

Please see the vial label for concentration. If unlisted please contact technical services.

Product Specifications

Immunogen

Produced in rabbits immunized with E. coli-derived Human AUH fragment.

Clonality

Polyclonal

Host

Rabbit

Isotype

IgG

Description

This antibody can be stored at 2C to 8C for one month without detectable loss of activity. Antibody products are stable for twelve months from date of receipt when stored at -20C to -80C. Avoid repeated freeze-thaw cycles.

Scientific Data Images for AUH Antibody - BSA Free

Western Blot: AUH Antibody [NBP2-97719]

Western Blot: AUH Antibody [NBP2-97719]

Western Blot: AUH Antibody [NBP2-97719] - Anti-AUH rabbit polyclonal antibody at 1:500 dilution. Lane A: HepG2 Whole Cell Lysate Lysates/proteins at 30 ug per lane. Secondary Goat Anti-Rabbit IgG (H+L)/HRP at 1/10000 dilution. Developed using the ECL technique. Performed under reducing conditions. Predicted band size: 32 kDa. Observed band size: 32 kDa
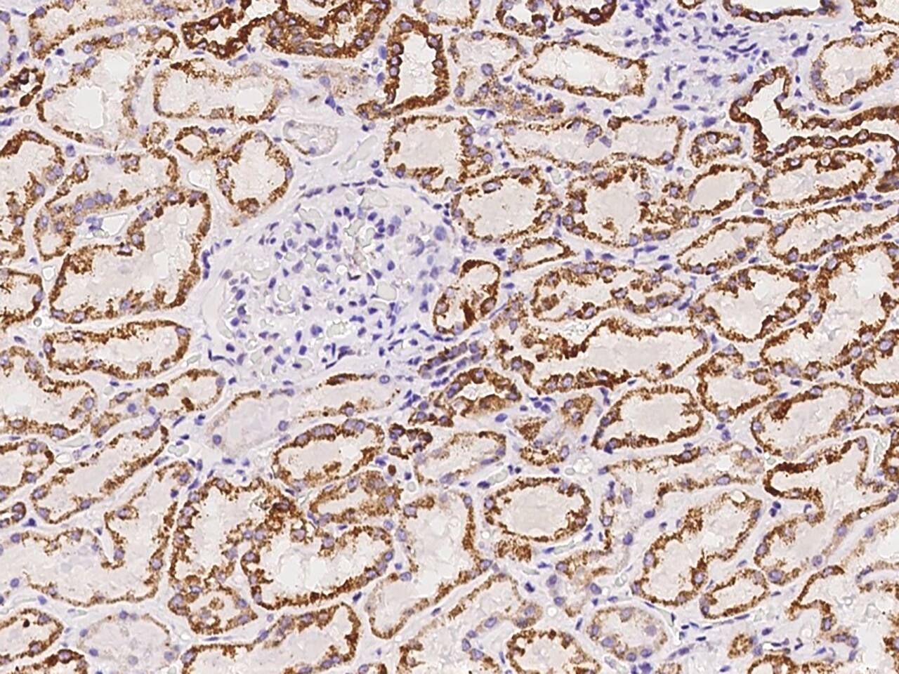
Immunohistochemistry-Paraffin: AUH Antibody [NBP2-97719]

Immunohistochemistry-Paraffin: AUH Antibody [NBP2-97719]

Immunohistochemistry-Paraffin: AUH Antibody [NBP2-97719] - Immunochemical staining of human AUH in human kidney with rabbit polyclonal antibody at 1:300 dilution, formalin-fixed paraffin embedded sections.
Immunoprecipitation: AUH Antibody [NBP2-97719]

Immunoprecipitation: AUH Antibody [NBP2-97719]

Immunoprecipitation: AUH Antibody [NBP2-97719] - AUH was immunoprecipitated using: Lane A: 0.5 mg HepG2 Whole Cell Lysate 4 ul anti-AUH rabbit polyclonal antibody and 60 ug of Immunomagnetic beads Protein A/G. Primary antibody: Anti-AUH rabbit polyclonal antibody, at 1:100 dilution. Secondary antibody: Goat Anti-Rabbit IgG (H+L)/HRP at 1/10000 dilution. Developed using the ECL technique. Performed under reducing conditions. Predicted band size: 32 kDa. Observed band size: 32 kDa

Applications for AUH Antibody - BSA Free

Application
Recommended Usage

Immunohistochemistry-Paraffin

1:200-1:1000

Immunoprecipitation

0.5-2uL/mg of lysate

Western Blot

1:500-1:2000

Formulation, Preparation, and Storage

Purification

Antigen and protein A Affinity-purified

Formulation

PBS

Format

BSA Free

Preservative

0.03% Proclin 300

Concentration

Please see the vial label for concentration. If unlisted please contact technical services.

Shipping

The product is shipped with polar packs. Upon receipt, store it immediately at the temperature recommended below.

Stability & Storage

Store at 4C short term. Aliquot and store at -20C long term. Avoid freeze-thaw cycles.

Background: AUH

AUH - AU RNA binding protein/enoyl-Coenzyme A hydratase

Alternate Names

3-methylglutaconyl-CoA hydratase, AU RNA binding protein/enoyl-CoA hydratase, AU RNA binding protein/enoyl-Coenzyme A hydratase, AU RNA-binding protein/enoyl-Coenzyme A hydratase, AU-binding protein/enoyl-CoA hydratase, AU-specific RNA-binding enoyl-CoA hydratase, EC 4.2.1.18, methylglutaconyl-CoA hydratase, mitochondrial

Gene Symbol

AUH

Additional AUH Products

Product Documents for AUH Antibody - BSA Free

Certificate of Analysis

To download a Certificate of Analysis, please enter a lot number in the search box below.

Product Specific Notices for AUH Antibody - BSA Free

This product is for research use only and is not approved for use in humans or in clinical diagnosis. Primary Antibodies are guaranteed for 1 year from date of receipt.

Loading...
Loading...
Loading...
Loading...