Skip to main content

AUF1 Antibody - BSA Free

Novus Biologicals, part of Bio-Techne | Catalog # NBP3-35586

Novus Biologicals, part of Bio-Techne
Catalog #
Availability
Size / Price
Qty
Loading...
NBP3-35586-20ul
NBP3-35586-100ul

Key Product Details

Species Reactivity

Human, Mouse, Rat

Applications

Immunohistochemistry, Immunohistochemistry-Paraffin, Western Blot, ELISA, Immunocytochemistry/ Immunofluorescence, Immunoprecipitation

Label

Unconjugated

Antibody Source

Polyclonal Rabbit IgG

Format

BSA Free

Concentration

Please see the vial label for concentration. If unlisted please contact technical services.

Product Specifications

Immunogen

Recombinant fusion protein containing a sequence corresponding to amino acids 1-306 of human AUF1 (NP_002129.2).

Sequence:
MSEEQFGGDGAAAAATAAVGGSAGEQEGAMVAATQGAAAAAGSGAGTGGGTASGGTEGGSAESEGAKIDASKNEEDEGHSNSSPRHSEAATAQREEWKMFIGGLSWDTTKKDLKDYFSKFGEVVDCTLKLDPITGRSRGFGFVLFKESESVDKVMDQKEHKLNGKVIDPKRAKAMKTKEPVKKIFVGGLSPDTPEEKIREYFGGFGEVESIELPMDNKTNKRRGFCFITFKEEEPVKKIMEKKYHNVGLSKCEIKVAMSKEQYQQQQQWGSRGGFAGRARGRGGDQQSGYGKVSRRGGHQNSYKPY

Clonality

Polyclonal

Host

Rabbit

Isotype

IgG

Theoretical MW

38 kDa.
Disclaimer note: The observed molecular weight of the protein may vary from the listed predicted molecular weight due to post translational modifications, post translation cleavages, relative charges, and other experimental factors.

Description

Novus Biologicals Rabbit AUF1 Antibody - BSA Free (NBP3-35586) is a polyclonal antibody validated for use in IHC, WB, ELISA, ICC/IF and IP. All Novus Biologicals antibodies are covered by our 100% guarantee.

Scientific Data Images for AUF1 Antibody - BSA Free

AUF1 Antibody

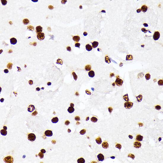
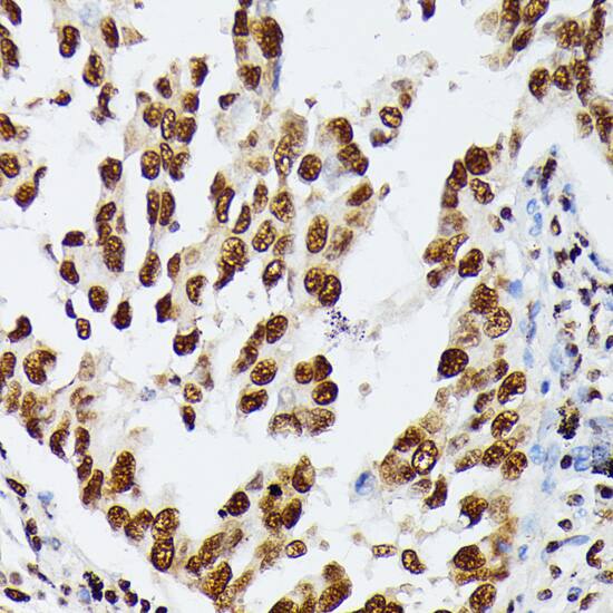
Immunohistochemistry: AUF1 Antibody [NBP3-35586] -

Immunohistochemistry: AUF1 Antibody [NBP3-35586] - Immunohistochemistry analysis of paraffin-embedded Rat liver using AUF1 Rabbit pAb at dilution of 1:100 (40x lens). Microwave antigen retrieval performed with 0.01M PBS Buffer (pH 7.2) prior to IHC staining.
AUF1 Antibody

Immunocytochemistry/ Immunofluorescence: AUF1 Antibody [NBP3-35586] -

Immunocytochemistry/ Immunofluorescence: AUF1 Antibody [NBP3-35586] - Immunofluorescence analysis of C6 cells using AUF1 Rabbit pAb at dilution of 1:100. Secondary antibody: Cy3-conjugated Goat anti-Rabbit IgG (H+L) at 1:500 dilution. Blue: DAPI for nuclear staining.
AUF1 Antibody

Immunoprecipitation: AUF1 Antibody [NBP3-35586] -

Immunoprecipitation: AUF1 Antibody [NBP3-35586] - Immunoprecipitation analysis of 300 ug extracts of HeLa cells using 3 ug AUF1 antibody. Western blot was performed from the immunoprecipitate using AUF1 antibody at a dilution of 1:1000.

Applications for AUF1 Antibody - BSA Free

Application
Recommended Usage

Immunocytochemistry/ Immunofluorescence

1:50 - 1:200

Immunohistochemistry-Paraffin

1:50 - 1:200

Immunoprecipitation

0.5ug - 4ug antibody for 200ug - 400ug extracts of whole cells

Western Blot

1:500 - 1:2000

Formulation, Preparation, and Storage

Purification

Affinity purified

Formulation

PBS (pH 7.3), 50% glycerol

Format

BSA Free

Preservative

0.02% Sodium Azide

Concentration

Please see the vial label for concentration. If unlisted please contact technical services.

Shipping

The product is shipped with polar packs. Upon receipt, store it immediately at the temperature recommended below.

Stability & Storage

Store at -20C. Avoid freeze-thaw cycles.

Background: AUF1

hnRNP D/AUF1 binds with high affinity to RNA molecules that contain AU-rich elements (AREs) found within the 3' untranslated regions of many protooncogenes and cytokine mRNAs. It also binds to double and single stranded DNA sequences in a specific manner and functions a transcription factor. Each of the RNA-binding domains specifically can bind solely to a single stranded nonmonotonous 5'-UUAG-3' sequence and also weaker to the single-stranded 5'-TTAGGG-3' telomeric DNA repeat. It may be involved in translationally coupled mRNA turnover (referenced from swissprot).

Alternate Names

AUF1A, heterogeneous nuclear ribonucleoprotein D (AU-rich element RNA binding protein1, 37kDa), heterogeneous nuclear ribonucleoprotein D (AU-rich element RNA-binding protein1, 37kD), heterogeneous nuclear ribonucleoprotein D0, hnRNPD0, type A

Gene Symbol

HNRNPD

Additional AUF1 Products

Product Documents for AUF1 Antibody - BSA Free

Certificate of Analysis

To download a Certificate of Analysis, please enter a lot number in the search box below.

Product Specific Notices for AUF1 Antibody - BSA Free

This product is for research use only and is not approved for use in humans or in clinical diagnosis. Primary Antibodies are guaranteed for 1 year from date of receipt.

Loading...
Loading...
Loading...
Loading...