Skip to main content

ATRX Antibody

Novus Biologicals, part of Bio-Techne | Catalog # NBP1-32851

Novus Biologicals, part of Bio-Techne
Catalog #
Availability
Size / Price
Qty
Loading...
NBP1-32851

Key Product Details

Validated by

Knockout/Knockdown

Species Reactivity

Validated:

Human, Mouse, Rat

Cited:

Mouse

Predicted:

Chimpanzee (100%). Backed by our 100% Guarantee.

Applications

Validated:

Immunohistochemistry, Immunohistochemistry-Paraffin, Western Blot, Immunocytochemistry/ Immunofluorescence, Immunoprecipitation

Cited:

Western Blot

Label

Unconjugated

Antibody Source

Polyclonal Rabbit IgG

Concentration

Concentrations vary lot to lot. See vial label for concentration. If unlisted please contact technical services.

Product Specifications

Immunogen

Recombinant protein encompassing a sequence within the C-terminus region of human ATRX. The exact sequence is proprietary.

Localization

Nucleus

Clonality

Polyclonal

Host

Rabbit

Isotype

IgG

Theoretical MW

283 kDa.
Disclaimer note: The observed molecular weight of the protein may vary from the listed predicted molecular weight due to post translational modifications, post translation cleavages, relative charges, and other experimental factors.

Description

Novus Biologicals Rabbit ATRX Antibody (NBP1-32851) is a polyclonal antibody validated for use in IHC, WB, ICC/IF and IP. Anti-ATRX Antibody: Cited in 4 publications. All Novus Biologicals antibodies are covered by our 100% guarantee.

Scientific Data Images for ATRX Antibody

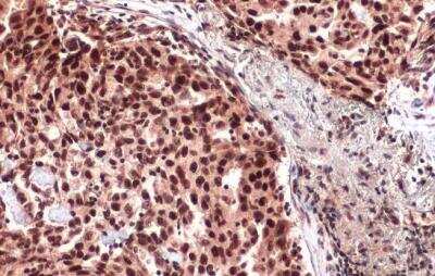
Immunohistochemistry-Paraffin: ATRX Antibody [NBP1-32851]

Immunohistochemistry-Paraffin: ATRX Antibody [NBP1-32851]

Immunohistochemistry-Paraffin: ATRX Antibody [NBP1-32851] - Human lung cancer. ATRX stained by ATRX antibody [C3], C-term diluted at 1:2500.Antigen Retrieval: Citrate buffer, pH 6.0, 15 min.
Western Blot: ATRX Antibody [NBP1-32851]

Western Blot: ATRX Antibody [NBP1-32851]

Western Blot: ATRX Antibody [NBP1-32851] - Non-transfected (-) and transfected (+) 293T whole cell extracts (30 ug) were separated by 5% SDS-PAGE, and the membrane was blotted with ATRX antibody [C3], C-term.
Immunohistochemistry-Paraffin: ATRX Antibody [NBP1-32851]

Immunohistochemistry-Paraffin: ATRX Antibody [NBP1-32851]

Immunohistochemistry-Paraffin: ATRX Antibody [NBP1-32851] - Human endometrial carcinoma. Rad54 antibody [C3], C-term dilution: 1:500.

Applications for ATRX Antibody

Application
Recommended Usage

Immunocytochemistry/ Immunofluorescence

1:100-1:1000

Immunohistochemistry

1:100-1:1000

Immunohistochemistry-Paraffin

1:100-1:1000

Immunoprecipitation

1:100-1:500

Western Blot

1:500-1:3000

Formulation, Preparation, and Storage

Purification

Antigen Affinity-purified

Formulation

PBS, 1% BSA, 20% Glycerol

Preservative

0.025% Proclin 300

Concentration

Concentrations vary lot to lot. See vial label for concentration. If unlisted please contact technical services.

Shipping

The product is shipped with polar packs. Upon receipt, store it immediately at the temperature recommended below.

Stability & Storage

Aliquot and store at -20C or -80C. Avoid freeze-thaw cycles.

Background: ATRX

The protein encoded by this gene contains an ATPase/helicase domain, and thus it belongs to the SWI/SNF family of chromatin remodeling proteins. The mutations of this gene are associated with an X-linked mental retardation (XLMR) syndrome most often accompanied by alpha-thalassemia (ATRX) syndrome. These mutations have been shown to cause diverse changes in the pattern of DNA methylation, which may provide a link between chromatin remodeling, DNA methylation, and gene expression in developmental processes. This protein is found to undergo cell cycle-dependent phosphorylation, which regulates its nuclear matrix and chromatin association, and suggests its involvement in the gene regulation at interphase and chromosomal segregation in mitosis. Multiple alternatively spliced transcript variants encoding distinct isoforms have been reported.

Alternate Names

alpha thalassemia/mental retardation syndrome X-linked, alpha thalassemia/mental retardation syndrome X-linked (RAD54 (S. cerevisiae)homolog), alpha thalassemia/mental retardation syndrome X-linked (RAD54 homolog, S.cerevisiae), ATP-dependent helicase ATRX, ATR2, DNA dependent ATPase and helicase, EC 3.6.1, EC 3.6.4.12, helicase 2, X-linked, Juberg-Marsidi syndrome, MGC2094, MRXHF1, RAD54 homolog, RAD54L, SFM1, SHS, transcriptional regulator ATRX, XH2RAD54, X-linked helicase II, X-linked nuclear protein, XNPZNF-HX, Zinc finger helicase, Znf-HX

Entrez Gene IDs

546 (Human); 22589 (Mouse)

Gene Symbol

ATRX

UniProt

Additional ATRX Products

Product Documents for ATRX Antibody

Certificate of Analysis

To download a Certificate of Analysis, please enter a lot number in the search box below.

Product Specific Notices for ATRX Antibody

This product is for research use only and is not approved for use in humans or in clinical diagnosis. Primary Antibodies are guaranteed for 1 year from date of receipt.

Loading...
Loading...
Loading...
Loading...