Atrial Natriuretic Peptide/ANP Antibody - BSA Free
Novus Biologicals, part of Bio-Techne | Catalog # NBP3-35467
Key Product Details
Species Reactivity
Mouse, Rat
Applications
ELISA, Immunohistochemistry, Immunohistochemistry-Paraffin, Western Blot
Label
Unconjugated
Antibody Source
Polyclonal Rabbit IgG
Format
BSA Free
Concentration
Please see the vial label for concentration. If unlisted please contact technical services.
Product Specifications
Immunogen
Recombinant fusion protein containing a sequence corresponding to amino acids 26-151 of human Atrial Natriuretic Peptide/ANP (NP_006154.1).
Sequence:
LTWQEIMSITELQGLNAPSEPSFEPQAPAPYLGPPPPTTYCPCSIHPDSGFPLPPPPYELPASTSHVPDPPYSYGNMAIPVSKPLSLSGLLSEPLQDPLALLDIGLPAGPPKPQEDPESDSGLSLN
Sequence:
LTWQEIMSITELQGLNAPSEPSFEPQAPAPYLGPPPPTTYCPCSIHPDSGFPLPPPPYELPASTSHVPDPPYSYGNMAIPVSKPLSLSGLLSEPLQDPLALLDIGLPAGPPKPQEDPESDSGLSLN
Clonality
Polyclonal
Host
Rabbit
Isotype
IgG
Theoretical MW
16 kDa.
Disclaimer note: The observed molecular weight of the protein may vary from the listed predicted molecular weight due to post translational modifications, post translation cleavages, relative charges, and other experimental factors.
Disclaimer note: The observed molecular weight of the protein may vary from the listed predicted molecular weight due to post translational modifications, post translation cleavages, relative charges, and other experimental factors.
Description
Novus Biologicals Rabbit Atrial Natriuretic Peptide/ANP Antibody - BSA Free (NBP3-35467) is a polyclonal antibody validated for use in IHC, WB and ELISA. All Novus Biologicals antibodies are covered by our 100% guarantee.
Scientific Data Images for Atrial Natriuretic Peptide/ANP Antibody - BSA Free
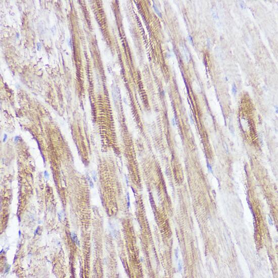
Immunohistochemistry: Atrial Natriuretic Peptide/ANP Antibody [NBP3-35467] -
Immunohistochemistry: Atrial Natriuretic Peptide/ANP Antibody [NBP3-35467] - Immunohistochemistry analysis of paraffin-embedded Rat heart using Atrial Natriuretic Peptide/ANP Rabbit pAb at dilution of 1:100 (40x lens). High pressure antigen retrieval performed with 0.01M Citrate Bufferr (pH 6.0) prior to IHC staining.Immunohistochemistry: Atrial Natriuretic Peptide/ANP Antibody [NBP3-35467] -
Immunohistochemistry: Atrial Natriuretic Peptide/ANP Antibody [NBP3-35467] - Immunohistochemistry analysis of paraffin-embedded Mouse heart using Atrial Natriuretic Peptide/ANP Rabbit pAb at dilution of 1:100 (40x lens). High pressure antigen retrieval performed with 0.01M Citrate Bufferr (pH 6.0) prior to IHC staining.Western Blot: Atrial Natriuretic Peptide/ANP Antibody [NBP3-35467] -
Western Blot: Atrial Natriuretic Peptide/ANP Antibody [NBP3-35467] - Western blot analysis of lysates from Mouse heart, using Atrial Natriuretic Peptide/ANP Rabbit pAb at 1:1000 dilution.Secondary antibody: HRP-conjugated Goat anti-Rabbit IgG (H+L) at 1:10000 dilution.
Lysates/proteins: 25ug per lane.
Blocking buffer: 3% nonfat dry milk in TBST.
Detection: ECL Enhanced Kit.
Exposure time: 180s.
Applications for Atrial Natriuretic Peptide/ANP Antibody - BSA Free
Application
Recommended Usage
Immunohistochemistry-Paraffin
1:50 - 1:200
Western Blot
1:500 - 1:1000
Formulation, Preparation, and Storage
Purification
Affinity purified
Formulation
PBS (pH 7.3), 50% glycerol
Format
BSA Free
Preservative
0.05% Proclin 300
Concentration
Please see the vial label for concentration. If unlisted please contact technical services.
Shipping
The product is shipped with polar packs. Upon receipt, store it immediately at the temperature recommended below.
Stability & Storage
Store at -20C. Avoid freeze-thaw cycles.
Background: Atrial Natriuretic Peptide/ANP
Alternate Names
ANF, ANP, Cardionatrin, NPPA, PND
Gene Symbol
NPPA
Additional Atrial Natriuretic Peptide/ANP Products
Product Documents for Atrial Natriuretic Peptide/ANP Antibody - BSA Free
Product Specific Notices for Atrial Natriuretic Peptide/ANP Antibody - BSA Free
This product is for research use only and is not approved for use in humans or in clinical diagnosis. Primary Antibodies are guaranteed for 1 year from date of receipt.
Loading...
Loading...
Loading...
Loading...