Skip to main content

ATR [p Thr1989] Antibody (HL132) - Azide and BSA Free

Novus Biologicals, part of Bio-Techne | Catalog # NBP3-13665

Recombinant Monoclonal Antibody
Novus Biologicals, part of Bio-Techne
Catalog #
Availability
Size / Price
Qty
Loading...
NBP3-13665

Key Product Details

Validated by

Biological Validation

Species Reactivity

Human, Mouse, Rat

Applications

Immunohistochemistry, Immunohistochemistry-Paraffin, Western Blot, Immunocytochemistry/ Immunofluorescence

Label

Unconjugated

Antibody Source

Recombinant Monoclonal Rabbit IgG Clone # HL132 expressed in HEK293

Format

Azide and BSA Free

Concentration

Concentrations vary lot to lot. See vial label for concentration. If unlisted please contact technical services.

Product Specifications

Immunogen

Carrier-protein conjugated synthetic peptide surrounding phospho Thr1989 of human ATR. The exact sequence is proprietary.

Modification

p Thr1989

Clonality

Monoclonal

Host

Rabbit

Isotype

IgG

Theoretical MW

301 kDa.
Disclaimer note: The observed molecular weight of the protein may vary from the listed predicted molecular weight due to post translational modifications, post translation cleavages, relative charges, and other experimental factors.

Description

Centrifuge briefly prior to opening.

Scientific Data Images for ATR [p Thr1989] Antibody (HL132) - Azide and BSA Free

Immunocytochemistry/Immunofluorescence: ATR [p Thr1989] Antibody (HL132) [NBP3-13665] - ATR (phospho Thr1989) antibody [HL132] detects ATR (phospho Thr1989) protein by immunofluorescent analysis. Sample: Mock and treated HeLa cells were fixed in 4% paraformaldehyde at RT for 15 min. Green: ATR (phospho Thr1989) stained by ATR (phospho Thr1989) antibody [HL132] (NBP3-13665) diluted at 1:500. Blue: Fluoroshield with DAPI.
Immunohistochemistry-Paraffin: ATR [p Thr1989] Antibody (HL132) [NBP3-13665] - ATR (phospho Thr1989) antibody [HL132] detects ATR (phospho Thr1989) protein at nucleus by immunohistochemical analysis. Sample: Paraffin-embedded mouse heart. ATR (phospho Thr1989) stained by ATR (phospho Thr1989) antibody [HL132] (NBP3-13665) diluted at 1:100. Antigen Retrieval: Citrate buffer, pH 6.0, 15 min
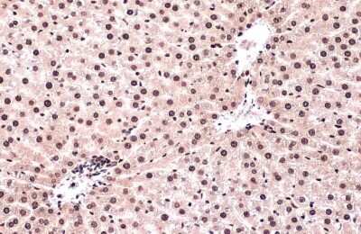
Immunohistochemistry-Paraffin: ATR [p Thr1989] Antibody (HL132) [NBP3-13665] - ATR (phospho Thr1989) antibody [HL132] detects ATR (phospho Thr1989) protein at nucleus by immunohistochemical analysis. Sample: Paraffin-embedded mouse liver. ATR (phospho Thr1989) stained by ATR (phospho Thr1989) antibody [HL132] (NBP3-13665) diluted at 1:50. Antigen Retrieval: Citrate buffer, pH 6.0, 15 min

Applications for ATR [p Thr1989] Antibody (HL132) - Azide and BSA Free

Application
Recommended Usage

Immunocytochemistry/ Immunofluorescence

Assay dependent

Immunohistochemistry

Assay dependent

Immunohistochemistry-Paraffin

Assay dependent

Western Blot

1:500-1:3000

Formulation, Preparation, and Storage

Purification

Protein A purified

Formulation

PBS

Format

Azide and BSA Free

Preservative

No Preservative

Concentration

Concentrations vary lot to lot. See vial label for concentration. If unlisted please contact technical services.

Shipping

The product is shipped with polar packs. Upon receipt, store it immediately at the temperature recommended below.

Stability & Storage

Store at 4C short term. Aliquot and store at -20C long term. Avoid freeze-thaw cycles.

Background: ATR

Ataxia Telangiectasia Mutated (ATM) and Rad3- related (ATR) protein is a member of the phosphatidyl-inositol 3-kinase (PI 3-kinase) like family of protein kinases. ATR has a predicted molecular mass of approximately 301 kDa, and it has been shown to be involved in cellular responses to DNA damage. Specifically, it plays a role in checkpoint activation in response to either the presence of stalled replication forks, or by the presence of lesions caused by UV light. Inactivation of ATR is an embryonic lethal event in mice.

Long Name

Ataxia Telangiectasia and Rad 3-related

Alternate Names

FRP1, MEC1, SCKL1

Gene Symbol

ATR

Additional ATR Products

Product Documents for ATR [p Thr1989] Antibody (HL132) - Azide and BSA Free

Certificate of Analysis

To download a Certificate of Analysis, please enter a lot number in the search box below.

Product Specific Notices for ATR [p Thr1989] Antibody (HL132) - Azide and BSA Free

This product is for research use only and is not approved for use in humans or in clinical diagnosis. Primary Antibodies are guaranteed for 1 year from date of receipt.

Loading...
Loading...
Loading...
Loading...