Skip to main content

ATPase Antibody - BSA Free

Novus Biologicals, part of Bio-Techne | Catalog # NBP2-98188

Catalog #
Availability
Size / Price
Qty
Loading...
NBP2-98188-100ul
NBP2-98188-50ul
Conjugate
Catalog #

Key Product Details

Species Reactivity

Human

Applications

Immunohistochemistry, Immunohistochemistry-Paraffin

Label

Unconjugated

Antibody Source

Polyclonal Rabbit IgG

Format

BSA Free

Concentration

Please see the vial label for concentration. If unlisted please contact technical services.

Product Specifications

Immunogen

Produced in rabbits immunized with E. coli-derived Human ATPase fragment.

Clonality

Polyclonal

Host

Rabbit

Isotype

IgG

Description

This antibody can be stored at 2C to 8C for one month without detectable loss of activity. Antibody products are stable for twelve months from date of receipt when stored at -20C to -80C. Avoid repeated freeze-thaw cycles.

Scientific Data Images for ATPase Antibody - BSA Free

Immunohistochemistry-Paraffin: ATPase Antibody [NBP2-98188]

Immunohistochemistry-Paraffin: ATPase Antibody [NBP2-98188]

Immunohistochemistry-Paraffin: ATPase Antibody [NBP2-98188] - Immunochemical staining of human ATPase in human liver with rabbit polyclonal antibody at 1:1000 dilution, formalin-fixed paraffin embedded sections.
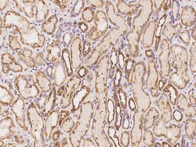
Immunohistochemistry-Paraffin: ATPase Antibody [NBP2-98188]

Immunohistochemistry-Paraffin: ATPase Antibody [NBP2-98188]

Immunohistochemistry-Paraffin: ATPase Antibody [NBP2-98188] - Immunochemical staining of human ATPase in human kidney with rabbit polyclonal antibody at 1:1000 dilution, formalin-fixed paraffin embedded sections.

Applications for ATPase Antibody - BSA Free

Application
Recommended Usage

Immunohistochemistry

1:500-1:2000

Immunohistochemistry-Paraffin

1:500-1:2000

Formulation, Preparation, and Storage

Purification

Antigen and protein A Affinity-purified

Formulation

PBS

Format

BSA Free

Preservative

0.03% Proclin 300

Concentration

Please see the vial label for concentration. If unlisted please contact technical services.

Shipping

The product is shipped with polar packs. Upon receipt, store it immediately at the temperature recommended below.

Stability & Storage

Store at 4C short term. Aliquot and store at -20C long term. Avoid freeze-thaw cycles.

Background: ATPase

CATALYTIC ACTIVITY: ATP + H2O = ADP + phosphate. SUBCELLULAR LOCATION: Membrane; multi-pass membrane protein (By similarity). ALTERNATIVE PRODUCTS: 2 named isoforms produced by alternative splicing. SIMILARITY: Belongs to the cation transport ATPase (P-type) family. Type V subfamily.

Alternate Names

ATPase, axonemal, dynein, axonemal, heavy chain 8, dynein, axonemal, heavy polypeptide 8, FLJ25850, FLJ36115, FLJ36334, HDHC9

Gene Symbol

DNAH8

Additional ATPase Products

Product Documents for ATPase Antibody - BSA Free

Certificate of Analysis

To download a Certificate of Analysis, please enter a lot number in the search box below.

Product Specific Notices for ATPase Antibody - BSA Free

This product is for research use only and is not approved for use in humans or in clinical diagnosis. Primary Antibodies are guaranteed for 1 year from date of receipt.

Loading...
Loading...
Loading...
Loading...
Loading...