ATP7b Antibody - BSA Free
Novus Biologicals, part of Bio-Techne | Catalog # NB100-360
Conjugate
Catalog #
Key Product Details
Species Reactivity
Validated:
Human, Mouse, Rat
Cited:
Human, Mouse, Rat
Applications
Validated:
Immunohistochemistry, Immunohistochemistry-Paraffin, Western Blot, Immunoblotting, Immunocytochemistry/ Immunofluorescence, Immunoprecipitation
Cited:
Immunohistochemistry-Paraffin, Western Blot, Immunoblotting, Flow Cytometry, Immunocytochemistry/ Immunofluorescence, Immunoprecipitation, IF/IHC
Label
Unconjugated
Antibody Source
Polyclonal Rabbit IgG
Format
BSA Free
Concentration
1 mg/ml
Product Specifications
Immunogen
A synthetic peptide made to an internal sequence near the N-terminus of human ATP7b. [UniProt# P35670]
Localization
Golgi apparatus; Predominantly found in trans-Golgi network membrane; multi-pass membrane protein (By similarity). Isoform 2: Cytoplasm. The cleaved form WND/140 kDa is located in mitochondria.
Clonality
Polyclonal
Host
Rabbit
Isotype
IgG
Theoretical MW
165 kDa.
Disclaimer note: The observed molecular weight of the protein may vary from the listed predicted molecular weight due to post translational modifications, post translation cleavages, relative charges, and other experimental factors.
Disclaimer note: The observed molecular weight of the protein may vary from the listed predicted molecular weight due to post translational modifications, post translation cleavages, relative charges, and other experimental factors.
Scientific Data Images for ATP7b Antibody - BSA Free
Western Blot: ATP7b AntibodyBSA Free [NB100-360]
Western Blot: ATP7b Antibody [NB100-360] - ATP7b detected in 20 ug of mouse brain membrane fraction.Immunocytochemistry/ Immunofluorescence: ATP7b Antibody - BSA Free [NB100-360]
Immunocytochemistry/Immunofluorescence: ATP7b Antibody [NB100-360] - HeLa cells were fixed for 10 minutes using 10% formalin and then permeabilized for 5 minutes using 1X TBS + 0.5% Triton X-100. The cells were incubated with anti-ATP7b [NB100-360] at a 1:100 dilution overnight at 4C and detected with an anti-rabbit DyLight 488 (Green) at a 1:500 dilution. Alpha tubulin (DM1A) NB100-690 was used as a co-stain at a 1:1000 dilution and detected with an anti-mouse DyLight 550 (Red) at 1:500. Nuclei were counterstained with DAPI (Blue). Cells were imaged using a 40X objective.Immunohistochemistry: ATP7b Antibody - BSA Free [NB100-360]
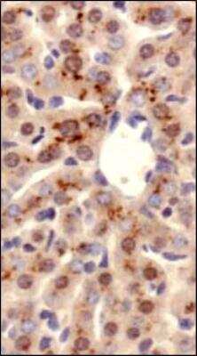
Immunohistochemistry: ATP7b Antibody [NB100-360] - Analysis of ATP7b in mouse liver using DAB with hematoxylin counterstain.Applications for ATP7b Antibody - BSA Free
Application
Recommended Usage
Immunoblotting
reported in scientific literature (PMID 29250175)
Immunocytochemistry/ Immunofluorescence
2 - 10 ug/mL
Immunohistochemistry
1:100 - 1:500
Immunohistochemistry-Paraffin
1:100 - 1:500
Western Blot
1:1000
Application Notes
In WB this antibody recognizes a band at 165 kDa, representing ATP7b and also recognizes a faint non-specific band at ~195 kDa. In IHC-P, cytoplasmic and golgi staining was observed in mouse liver tissue (1:100 dilution) and human ovarian carcinoma cells (1:500 dilution). However, please note we also tested this antibody with IHC-P in mouse intestines and kidney and observed unexpected strong nuclear signal with lighter cytoplasmic staining. Prior to immunostaining paraffin tissues, antigen retrieval with sodium citrate buffer (pH 6.0) is recommended. The observed molecular weight of the protein may vary from the listed predicted molecular weight due to post translational modifications, post translation cleavages, relative charges, and other experimental factors.
Reviewed Applications
Read 1 review rated 4 using NB100-360 in the following applications:
Formulation, Preparation, and Storage
Purification
Immunogen affinity purified
Formulation
PBS
Format
BSA Free
Preservative
0.02% Sodium Azide
Concentration
1 mg/ml
Shipping
The product is shipped with polar packs. Upon receipt, store it immediately at the temperature recommended below.
Stability & Storage
Store at 4C. Do not freeze.
Background: ATP7b
Alternate Names
ATPase, Cu(2+)- transporting, beta polypeptide, ATPase, Cu++ transporting, beta polypeptide, Copper pump 2, copper-transporting ATPase 2, EC 3.6.3, EC 3.6.3.4, PWD, WC1, WD, Wilson disease-associated protein, WNDATPase, Cu++ transporting, beta polypeptide (Wilson disease)
Gene Symbol
ATP7B
Additional ATP7b Products
Product Documents for ATP7b Antibody - BSA Free
Product Specific Notices for ATP7b Antibody - BSA Free
This product is for research use only and is not approved for use in humans or in clinical diagnosis. Primary Antibodies are guaranteed for 1 year from date of receipt.
Loading...
Loading...
Loading...
Loading...
Loading...