Skip to main content

ATP5A Antibody - BSA Free

Novus Biologicals, part of Bio-Techne | Catalog # NBP3-29561

Novus Biologicals, part of Bio-Techne
Catalog #
Availability
Size / Price
Qty
Loading...
NBP3-29561

Key Product Details

Species Reactivity

Human, Mouse

Applications

Immunohistochemistry, Western Blot, Immunoprecipitation

Label

Unconjugated

Antibody Source

Polyclonal Rabbit IgG

Format

BSA Free

Concentration

Please see the vial label for concentration. If unlisted please contact technical services.

Product Specifications

Immunogen

Between 100 and 150

Clonality

Polyclonal

Host

Rabbit

Isotype

IgG

Scientific Data Images for ATP5A Antibody - BSA Free

ATP5A Antibody

Immunohistochemistry;ATP5A Antibody[NBP3-29558]

Immunohistochemistry;ATP5A Antibody[NBP3-29558]Detection of human ATP5A1 by immunohistochemistry. Sample: FFPE section of human prostate carcinoma. Antibody: Affinity purified rabbit anti-ATP5A1 used at a dilution of 1:5,000 . Detection: DAB
ATP5A Antibody

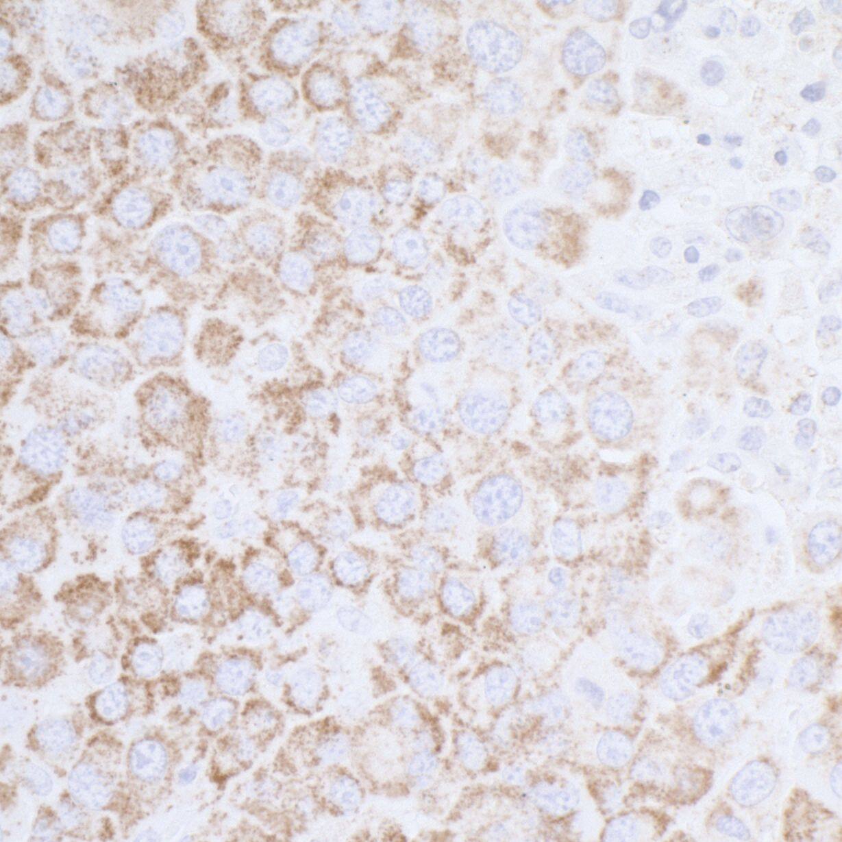
Immunohistochemistry;ATP5A Antibody[NBP3-29561]

Immunohistochemistry;ATP5A Antibody[NBP3-29561]Detection of mouse ATP5A1 by immunohistochemistry. Sample: FFPE section of mouse renal cell carcinoma. Antibody: Affinity purified rabbit anti-ATP5A1 used at a dilution of 1:5,000 . Detection: DAB
ATP5A Antibody

Immunoprecipitation:ATP5A AntibodyNBP3-29561] -

Immunoprecipitation:ATP5A AntibodyNBP3-29561] -Detection of human ATP5A1 by western blot of immunoprecipitates. Samples: Whole cell lysate (1.0 mg per IP reaction; 5% of IP loaded) from HEK293T cells prepared using NETN lysis buffer. Antibodies: Affinity purified rabbit anti-ATP5A1 antibody (NBP3-29561 lot 2) used for IP at 6 µg per reaction. ATP5A1 was also immunoprecipitated by a previous lot of this antibody (NBP3-29561 lot 1) and a second.inst a different epitope of ATP5A1 . For blotting immunoprecipitated ATP5A1, NBP3-29561 was used at 0.04 µg/ml. Detection: Chemiluminescence with an exposure time of 1 second.

Applications for ATP5A Antibody - BSA Free

Application
Recommended Usage

Immunohistochemistry

Optimal dilutions of this antibody should be experimentally determined.

Immunoprecipitation

Optimal dilutions of this antibody should be experimentally determined.

Western Blot

Optimal dilutions of this antibody should be experimentally determined.

Formulation, Preparation, and Storage

Purification

Affinity purified

Formulation

Tris-citrate/phosphate pH 7 -8.

Format

BSA Free

Preservative

0.09% Sodium Azide

Concentration

Please see the vial label for concentration. If unlisted please contact technical services.

Shipping

The product is shipped with polar packs. Upon receipt, store it immediately at the temperature recommended below.

Stability & Storage

Store at 4C. Do not freeze.

Background: ATP5A

ATP5A encodes a subunit of mitochondrial ATP synthase. Mitochondrial ATP synthase catalyzes ATP synthesis, using an electrochemical gradient of protons across the inner membrane during oxidative phosphorylation. ATP synthase is composed of two linked multi-subunit complexes: the soluble catalytic core, F1, and the membrane-spanning component, Fo, comprising the proton channel. The catalytic portion of mitochondrial ATP synthase consists of 5 different subunits (alpha, beta, gamma, delta, and epsilon) assembled with a stoichiometry of 3 alpha, 3 beta, and a single representative of the other 3. The proton channel consists of three main subunits (a, b, c). This gene encodes the alpha subunit of the catalytic core. Alternatively spliced transcript variants encoding the same protein have been identified. Pseudogenes of this gene are located on chromosomes 9, 2, and 16. [provided by RefSeq]

Long Name

ATP5A1

Alternate Names

ATP synthase alpha chain, mitochondrial, ATP synthase subunit alpha, mitochondrial, ATP synthase, H+ transporting, mitochondrial F1 co, ATP synthase, H+ transporting, mitochondrial F1 complex, alpha subunit 1, ATP synthase, H+ transporting, mitochondrial F1 complex, alpha subunit, isoform1, cardiac muscle, ATP synthase, H+ transporting, mitochondrial F1 complex, alpha subunit, isoform2, non-cardiac muscle-like 2, ATP sythase (F1-ATPase) alpha subunit, ATP5A, ATP5A1, ATP5AL2, ATP5AMOM2, ATPM, ATPMATP synthase subunit alpha, mitochondrial, cardiac muscle, COXPD22, EC 3.6.3, EC 3.6.3.14, epididymis secretory sperm binding protein Li 123m, hATP1, HEL-S-123m, MC5DN4, MC5DN4A, MC5DN4B, mitochondrial ATP synthetase, oligomycin-resistant, MOM2, OMR, ORM, ORMATP synthase alpha chain, mitochondrial

Gene Symbol

ATP5F1A

Additional ATP5A Products

Product Documents for ATP5A Antibody - BSA Free

Certificate of Analysis

To download a Certificate of Analysis, please enter a lot number in the search box below.

Product Specific Notices for ATP5A Antibody - BSA Free

This product is for research use only and is not approved for use in humans or in clinical diagnosis. Primary Antibodies are guaranteed for 1 year from date of receipt.

Loading...
Loading...
Loading...
Loading...