Skip to main content

ATM Antibody - BSA Free

Novus Biologicals, part of Bio-Techne | Catalog # NB100-678

Novus Biologicals, part of Bio-Techne
Catalog #
Availability
Size / Price
Qty
Loading...
NB100-678

Key Product Details

Species Reactivity

Human

Applications

Immunohistochemistry, Immunohistochemistry-Paraffin, Western Blot, Immunoprecipitation

Label

Unconjugated

Antibody Source

Polyclonal Rabbit IgG

Format

BSA Free

Concentration

1.0 mg/ml

Product Specifications

Immunogen

ATM Antibody was made to a region between residues 2550 and 2600 of human ataxia telangiectasia mutated using the numbering given in SwissProt entry Q13315 (GeneID 472).

Clonality

Polyclonal

Host

Rabbit

Isotype

IgG

Theoretical MW

351 kDa.
Disclaimer note: The observed molecular weight of the protein may vary from the listed predicted molecular weight due to post translational modifications, post translation cleavages, relative charges, and other experimental factors.

Scientific Data Images for ATM Antibody - BSA Free

Western Blot: ATM Antibody [NB100-678]

Western Blot: ATM Antibody [NB100-678]

Western Blot: ATM Antibody [NB100-678] - Samples: A) Whole cell lysate (50 ug) from human L-40 (WT) or AT-59 (AT) cells. B) Whole cell lysate (1 mg) from WT cells. Antibody: Affinity purified rabbit ATM antibody [NB100-678] used at the indicated concentrations for WB and at 0.5 ug/mg lysate for IP. Immunoprecipitated ATM was blotted with a monoclonal antibody to ATM. Detection: Chemiluminescence with an exposure time of 30 seconds. Observed molecular weight ~370 kDa. Theoretical molecular weight 351 kDa.
Western Blot: ATM Antibody [NB100-678]

Western Blot: ATM Antibody [NB100-678]

Western Blot: ATM Antibody [NB100-678] - MDA-MB-231 and MCF-7 whole cell lysates were loaded with 50 ug/lane. 8% SDS-PAGE. ATM Antibody (NB100-678) primary antibody at 1:1000, 4C, overnight. Western blot image submitted by a verified customer review.
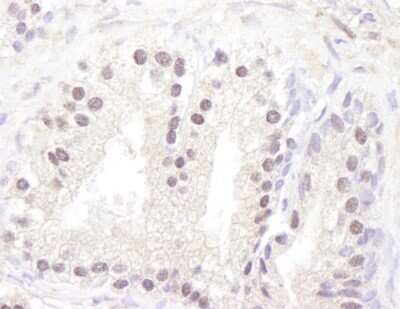
Immunohistochemistry: ATM Antibody [NB100-678]

Immunohistochemistry: ATM Antibody [NB100-678]

Immunohistochemistry: ATM Antibody [NB100-678] - FFPE section of human prostate-nodular hypertrophy. Affinity purified rabbit [NB100-678] used at a dilution of 1:1000 ( 1ug/mL). Detection: DAB staining using Immunohistochemistry Accessory Kit .

Applications for ATM Antibody - BSA Free

Application
Recommended Usage

Immunohistochemistry

1:500 - 1:2000

Immunohistochemistry-Paraffin

1:500 - 1:2000

Immunoprecipitation

3 - 7 ug/mg lysate

Western Blot

1:5000 - 1:25000
Application Notes
Epitope retrieval is not recommended. ATM antibody validated for WB from a verified customer review.

Reviewed Applications

Read 2 reviews rated 4.5 using NB100-678 in the following applications:

Formulation, Preparation, and Storage

Purification

Immunogen affinity purified

Formulation

Tris-Citrate/Phosphate (pH 7 - 8)

Format

BSA Free

Preservative

0.09% Sodium Azide

Concentration

1.0 mg/ml

Shipping

The product is shipped with polar packs. Upon receipt, store it immediately at the temperature recommended below.

Stability & Storage

Store at 4C. Do not freeze.

Background: ATM

ATM (ataxia telangiectasia mutated kinase) is the master regulator of the DNA double-strand break (DSB) repair pathway. This ubiquitously expressed serine/threonine protein kinase belongs to the PI3K-like family of proteins and responds to DSBs caused by oxidative and other genotoxic stresses (1). In addition to regulating the DNA damage response, ATM participates in vesicle and protein transport, T-cell development, gonads/neurological function, pre-B cell allelic exclusion, cell cycle control, and acts as a tumor suppressor (2,3). Defects in ATM are associated with ataxia telangiectasia (AT), T-cell acute lymphoblastic leukemia (TALL), T-prolymphocytic leukemia (TPLL), and B-cell non-Hodgkin lymphomas (BNHL) including mantle cell lymphoma (MCL) and B-cell chronic lymphocytic leukemia (BCLL) (4).

The theoretical molecular weight of ATM is 350 kDa and it has 3 main domains: a FAT (focal adhesion targeting) domain (aa 1960-2566), a PI-3/PI-4 kinase catalytic domain (aa 2712-2962), and a C-terminal FAT domain (aa 3024-3056). ATM exists as a dimer or tetramer in its inactive state. Upon sensing DNA damage, the MRE11-RAD50-NBS1 (MRN) complex recruits ATM. The intricate process of ATM activation involves acetylation by KAT5/TIP60, autophosphorylation at Ser-1981, and dissociation into catalytically active monomers (5). Following activation, ATM phosphorylates multiple substrates such as p53/TP53 and Chk2 involved in DNA repair, checkpoint signaling, and the apoptosis pathway.

References

1. Paull TT. (2015) Mechanisms of ATM Activation. Annu Rev Biochem. 84:711-38. PMID: 25580527

2. Chaudhary MW and Al-Baradie RS. (2014) Ataxia-telangiectasia: future prospects. Appl Clin Genet. 7:159-167. PMID: 25258552

3. Stagni V, Cirotti C, and Barila D. (2018) Ataxia-Telangiectasia Mutated Kinase in the Control of Oxidative Stress, Mitochondria, and Autophagy in Cancer: A Maestro With a Large Orchestra. Front Oncol. 8:73. PMID: 29616191

4. Gumy-Pause F, Wacker P, and Sappino AP. (2004) ATM gene and lymphoid malignancies. Leukemia. 18(2):238-42. PMID: 14628072

5. Adamowicz M. (2018) Breaking up with ATM. J Immunol Sci. 2(1):26-31. PMID: 29652413

Long Name

Ataxia Telangiectasia-mutated

Alternate Names

TEL1, TELO1, TPLL

Entrez Gene IDs

472 (Human)

Gene Symbol

ATM

UniProt

Additional ATM Products

Product Documents for ATM Antibody - BSA Free

Certificate of Analysis

To download a Certificate of Analysis, please enter a lot number in the search box below.

Product Specific Notices for ATM Antibody - BSA Free

This product is for research use only and is not approved for use in humans or in clinical diagnosis. Primary Antibodies are guaranteed for 1 year from date of receipt.

Loading...
Loading...
Loading...
Loading...
Loading...