Skip to main content

ATM [p Ser1981] Antibody (HL1062) - Azide and BSA Free

Novus Biologicals, part of Bio-Techne | Catalog # NBP3-13705

Recombinant Monoclonal Antibody
Novus Biologicals, part of Bio-Techne
Catalog #
Availability
Size / Price
Qty
Loading...
NBP3-13705

Key Product Details

Validated by

Biological Validation

Species Reactivity

Human

Applications

Immunohistochemistry, Immunohistochemistry-Paraffin, Western Blot, Immunocytochemistry/ Immunofluorescence

Label

Unconjugated

Antibody Source

Recombinant Monoclonal Rabbit IgG Clone # HL1062 expressed in HEK293

Format

Azide and BSA Free

Concentration

Concentrations vary lot to lot. See vial label for concentration. If unlisted please contact technical services.

Product Specifications

Immunogen

Carrier-protein conjugated synthetic peptide surrounding phospho Ser1981 of human ATM. The exact sequence is proprietary.

Modification

p Ser 1981

Clonality

Monoclonal

Host

Rabbit

Isotype

IgG

Description

Centrifuge briefly prior to opening.

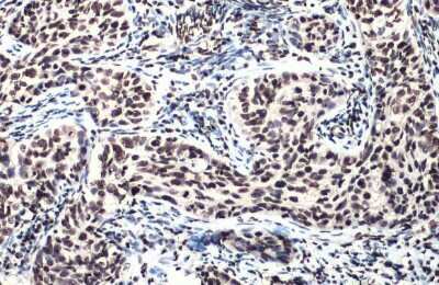
Scientific Data Images for ATM [p Ser1981] Antibody (HL1062) - Azide and BSA Free

Western Blot: ATM [p Ser1981] Antibody (HL1062) [NBP3-13705] - Untreated (-) and treated (+) 293T whole cell extracts (60 ug) were separated by 5% SDS-PAGE, and the membrane was blotted with ATM (phospho Ser1981) antibody [HL1062] (NBP3-13705) diluted at 1:1000. The HRP-conjugated anti-rabbit IgG antibody (NBP2-19301) was used to detect the primary antibody.
Immunocytochemistry/Immunofluorescence: ATM [p Ser1981] Antibody (HL1062) [NBP3-13705] - ATM (phospho Ser1981) antibody [HL1062] detects ATM (phospho Ser1981) protein at nucleus by immunofluorescent analysis. Sample: Mock and treated HeLa cells were fixed in 4% paraformaldehyde at RT for 15 min. Green: ATM (phospho Ser1981) stained by ATM (phospho Ser1981) antibody [HL1062] (NBP3-13705) diluted at 1:500. Blue: Fluoroshield with DAPI.
Immunohistochemistry-Paraffin: ATM [p Ser1981] Antibody (HL1062) [NBP3-13705] - ATM (phospho Ser1981) antibody [HL1062] detects ATM (phospho Ser1981) protein at nucleus by immunohistochemical analysis. Sample: Paraffin-embedded human cervical carcinoma. ATM (phospho Ser1981) stained by ATM (phospho Ser1981) antibody [HL1062] (NBP3-13705) diluted at 1:100. Antigen Retrieval: Citrate buffer, pH 6.0, 15 min

Applications for ATM [p Ser1981] Antibody (HL1062) - Azide and BSA Free

Application
Recommended Usage

Immunocytochemistry/ Immunofluorescence

Optimal dilutions of this antibody should be experimentally determined.

Immunohistochemistry

Optimal dilutions of this antibody should be experimentally determined.

Immunohistochemistry-Paraffin

Optimal dilutions of this antibody should be experimentally determined.

Western Blot

Optimal dilutions of this antibody should be experimentally determined.

Formulation, Preparation, and Storage

Purification

Protein A purified

Formulation

PBS

Format

Azide and BSA Free

Preservative

No Preservative

Concentration

Concentrations vary lot to lot. See vial label for concentration. If unlisted please contact technical services.

Shipping

The product is shipped with polar packs. Upon receipt, store it immediately at the temperature recommended below.

Stability & Storage

Store at 4C short term. Aliquot and store at -20C long term. Avoid freeze-thaw cycles.

Background: ATM

ATM (ataxia telangiectasia mutated kinase) is the master regulator of the DNA double-strand break (DSB) repair pathway. This ubiquitously expressed serine/threonine protein kinase belongs to the PI3K-like family of proteins and responds to DSBs caused by oxidative and other genotoxic stresses (1). In addition to regulating the DNA damage response, ATM participates in vesicle and protein transport, T-cell development, gonads/neurological function, pre-B cell allelic exclusion, cell cycle control, and acts as a tumor suppressor (2,3). Defects in ATM are associated with ataxia telangiectasia (AT), T-cell acute lymphoblastic leukemia (TALL), T-prolymphocytic leukemia (TPLL), and B-cell non-Hodgkin lymphomas (BNHL) including mantle cell lymphoma (MCL) and B-cell chronic lymphocytic leukemia (BCLL) (4).

The theoretical molecular weight of ATM is 350 kDa and it has 3 main domains: a FAT (focal adhesion targeting) domain (aa 1960-2566), a PI-3/PI-4 kinase catalytic domain (aa 2712-2962), and a C-terminal FAT domain (aa 3024-3056). ATM exists as a dimer or tetramer in its inactive state. Upon sensing DNA damage, the MRE11-RAD50-NBS1 (MRN) complex recruits ATM. The intricate process of ATM activation involves acetylation by KAT5/TIP60, autophosphorylation at Ser-1981, and dissociation into catalytically active monomers (5). Following activation, ATM phosphorylates multiple substrates such as p53/TP53 and Chk2 involved in DNA repair, checkpoint signaling, and the apoptosis pathway.

References

1. Paull TT. (2015) Mechanisms of ATM Activation. Annu Rev Biochem. 84:711-38. PMID: 25580527

2. Chaudhary MW and Al-Baradie RS. (2014) Ataxia-telangiectasia: future prospects. Appl Clin Genet. 7:159-167. PMID: 25258552

3. Stagni V, Cirotti C, and Barila D. (2018) Ataxia-Telangiectasia Mutated Kinase in the Control of Oxidative Stress, Mitochondria, and Autophagy in Cancer: A Maestro With a Large Orchestra. Front Oncol. 8:73. PMID: 29616191

4. Gumy-Pause F, Wacker P, and Sappino AP. (2004) ATM gene and lymphoid malignancies. Leukemia. 18(2):238-42. PMID: 14628072

5. Adamowicz M. (2018) Breaking up with ATM. J Immunol Sci. 2(1):26-31. PMID: 29652413

Long Name

Ataxia Telangiectasia-mutated

Alternate Names

TEL1, TELO1, TPLL

Gene Symbol

ATM

Additional ATM Products

Product Documents for ATM [p Ser1981] Antibody (HL1062) - Azide and BSA Free

Certificate of Analysis

To download a Certificate of Analysis, please enter a lot number in the search box below.

Product Specific Notices for ATM [p Ser1981] Antibody (HL1062) - Azide and BSA Free

This product is for research use only and is not approved for use in humans or in clinical diagnosis. Primary Antibodies are guaranteed for 1 year from date of receipt.

Loading...
Loading...
Loading...
Loading...
Loading...