Skip to main content

ATG5 Antibody (CL9508) - Azide and BSA Free

Novus Biologicals, part of Bio-Techne | Catalog # NBP3-44486

Novus Biologicals, part of Bio-Techne
Catalog #
Availability
Size / Price
Qty
Loading...
NBP3-44486

Key Product Details

Validated by

Orthogonal Validation

Species Reactivity

Human

Applications

Immunohistochemistry-Paraffin, Western Blot

Label

Unconjugated

Antibody Source

Monoclonal Mouse IgG1 Clone # CL9508

Format

Azide and BSA Free

Concentration

LYOPH mg/ml

Product Specifications

Immunogen

This antibody was generated using a recombinant protein sequence of Q9H1Y0, with the exact immunogen sequence remaining proprietary.

Clonality

Monoclonal

Host

Mouse

Isotype

IgG1

Description

Novus Biologicals Mouse ATG5 Antibody (CL9508) - Azide and BSA Free (NBP2-88936) is a monoclonal antibody validated for use in IHC and WB. All Novus Biologicals antibodies are covered by our 100% guarantee.

Scientific Data Images for ATG5 Antibody (CL9508) - Azide and BSA Free

ATG5 Antibody (CL9508) - Azide and BSA Free Immunohistochemistry-Paraffin: ATG5 Antibody [NBP3-44486]

Immunohistochemistry-Paraffin: ATG5 Antibody [NBP3-44486]

Analysis in human prostate and skeletal muscle tissues using NBP3-44486 antibody. Corresponding ATG5 RNA-seq data are presented for the same tissues.
ATG5 Antibody (CL9508) - Azide and BSA Free Immunohistochemistry-Paraffin: ATG5 Antibody [NBP3-44486]

Immunohistochemistry-Paraffin: ATG5 Antibody [NBP3-44486]

Staining of human endometrium shows moderate cytoplasmic positivity in glandular cells.
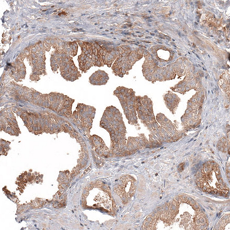
ATG5 Antibody (CL9508) - Azide and BSA Free Immunohistochemistry-Paraffin: ATG5 Antibody [NBP3-44486]

Immunohistochemistry-Paraffin: ATG5 Antibody [NBP3-44486]

Staining of human prostate cancer shows moderate cytoplasmic positivity in glandular cells.

Applications for ATG5 Antibody (CL9508) - Azide and BSA Free

Application
Recommended Usage

Immunohistochemistry-Paraffin

1:500 - 1:1000

Western Blot

1 ug/ml
Application Notes
For IHC-Paraffin, HIER pH 6 antigen retrieval is recommended.

Formulation, Preparation, and Storage

Purification

Protein A purified

Reconstitution

Centrifuge the vial of lyophilized antibody at 12,000 x g for 20 seconds. Reconstitute by adding sterile, distilled water to achieve a final antibody concentration of 1mg/ml.

Formulation

Lyophilized from a 0.2 um filtered solution in PBS with Trehalose

Format

Azide and BSA Free

Preservative

No Preservative

Concentration

LYOPH mg/ml

Shipping

The product is shipped at ambient temperature. Upon receipt, store it immediately at the temperature recommended below.

Stability & Storage

Store at 4C short term. Aliquot and store at -20C long term. Avoid freeze-thaw cycles.

Background: ATG5

Atg5, Autophagy related 5 or autophagy protein 5 (theoretical molecular weight 32 kDa), belongs to a group of core autophagy-related proteins first identified in yeast and later in eukaryotic cells. Atg proteins play essential roles in the process of macroautophagy. Atg5 is considered a core autophagy protein, for its role in the formation of the autophagosome, a double membrane vesicle which engulfs proteins and organelles for delivery to the lysosome and subsequent degradation (1). Atg5 participates in the process of phagophore elongation by interacting with the ubiquitin-like protein Atg12. Formation of the Atg12-Atg5 conjugate is dependent on the activities of Atg7 (E1 ubiquitin-activating like enzyme) and Atg10 (E2 ubiquitin-activating like enzyme). Non-covalent interaction between the Atg12-Atg5 conjugate and Atg16L1, allows for the formation of a large complex which associates with the nascent phagophore. The Atg16L1 complex dissociates from the autophagosome once it is fully formed (1,2).

In the context of its role in autophagy, Atg5 plays diverse physiologically relevant roles. For example, Atg5 together with Atg7 are required for adipogenesis (3). Recently, Atg5 has been implicated in the process of B-cell receptor polarization and antigen presentation (4). In addition to its role in autophagy, Atg5 is implicated in apoptotic cell death. Interaction of Atg5 with FADD (Fas-associated protein with death domain) is involved in cell death induced by IFN-gamma. A truncated form of Atg5, a 24kDa fragment, leads to cell death by interacting with Bcl-xl and inhibiting its anti-apoptotic activity (5). Other Atg5 interacting partners include interleukin-beta (IL-beta) converting enzyme and nucleotide binding oligomerization domain protein 1, which suggest that Atg5 may play other biologically relevant roles (3).

References

1. Yang, Z., & Klionsky, D. J. (2010). Mammalian autophagy: Core molecular machinery and signaling regulation. Current Opinion in Cell Biology. https://doi.org/10.1016/j.ceb.2009.11.014

2. Rubinsztein, D. C., Shpilka, T., & Elazar, Z. (2012). Mechanisms of autophagosome biogenesis. Current Biology. https://doi.org/10.1016/j.cub.2011.11.034

3. Subramani, S., & Malhotra, V. (2013). Non-autophagic roles of autophagy-related proteins. EMBO Reports. https://doi.org/10.1038/embor.2012.220

4. Arbogast, F., Arnold, J., Hammann, P., Kuhn, L., Chicher, J., Murera, D., Gros, F. (2019). ATG5 is required for B cell polarization and presentation of particulate antigens. Autophagy. https://doi.org/10.1080/15548627.2018.1516327

5. Luo, S., & Rubinsztein, D. C. (2007). Atg5 and Bcl-2 provide novel insights into the interplay between apoptosis and autophagy. Cell Death and Differentiation. https://doi.org/10.1038/sj.cdd.4402149

Long Name

ATG5 Autophagy Related 5 Homolog

Alternate Names

APG5, ASP

Gene Symbol

ATG5

Additional ATG5 Products

Product Documents for ATG5 Antibody (CL9508) - Azide and BSA Free

Certificate of Analysis

To download a Certificate of Analysis, please enter a lot number in the search box below.

Product Specific Notices for ATG5 Antibody (CL9508) - Azide and BSA Free

This product is for research use only and is not approved for use in humans or in clinical diagnosis. Primary Antibodies are guaranteed for 1 year from date of receipt.

Loading...
Loading...
Loading...
Loading...
Loading...