Skip to main content

ATG16L1 Antibody - BSA Free

Novus Biologicals, part of Bio-Techne | Catalog # NBP2-49408

Novus Biologicals, part of Bio-Techne
Catalog #
Availability
Size / Price
Qty
Loading...
NBP2-49408
NBP2-49408-25ul

Key Product Details

Validated by

Orthogonal Validation

Species Reactivity

Validated:

Human

Predicted:

Mouse (90%). Backed by our 100% Guarantee.

Applications

Immunohistochemistry, Immunohistochemistry-Paraffin

Label

Unconjugated

Antibody Source

Polyclonal Rabbit IgG

Format

BSA Free

Concentration

Concentrations vary lot to lot. See vial label for concentration. If unlisted please contact technical services.

Product Specifications

Immunogen

This antibody was developed against a recombinant protein corresponding to amino acids: LRIKHQEELTELHKKRGELAQLVIDLNNQMQRKDREMQMNEAKIAECLQTISDLETECLDLRTKLCDLERANQTLKDEYDA

Reactivity Notes

Rat (88%)

Clonality

Polyclonal

Host

Rabbit

Isotype

IgG

Description

Novus Biologicals Rabbit ATG16L1 Antibody - BSA Free (NBP2-49408) is a polyclonal antibody validated for use in IHC. All Novus Biologicals antibodies are covered by our 100% guarantee.

Scientific Data Images for ATG16L1 Antibody - BSA Free

Immunohistochemistry-Paraffin: ATG16L1 Antibody [NBP2-49408]

Immunohistochemistry-Paraffin: ATG16L1 Antibody [NBP2-49408]

Immunohistochemistry-Paraffin: ATG16L1 Antibody [NBP2-49408] - Staining of human testis shows high expression.
Immunohistochemistry-Paraffin: ATG16L1 Antibody [NBP2-49408]

Immunohistochemistry-Paraffin: ATG16L1 Antibody [NBP2-49408]

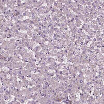
Immunohistochemistry-Paraffin: ATG16L1 Antibody [NBP2-49408] - Staining of human liver shows low expression as expected.
Immunohistochemistry-Paraffin: ATG16L1 Antibody [NBP2-49408]

Immunohistochemistry-Paraffin: ATG16L1 Antibody [NBP2-49408]

Immunohistochemistry-Paraffin: ATG16L1 Antibody [NBP2-49408] - Staining in human testis and liver tissues using anti-ATG16L1 antibody. Corresponding ATG16L1 RNA-seq data are presented for the same tissues.

Applications for ATG16L1 Antibody - BSA Free

Application
Recommended Usage

Immunohistochemistry

1:500 - 1:1000

Immunohistochemistry-Paraffin

1:500 - 1:1000
Application Notes
For IHC-Paraffin, HIER pH 6 retrieval is recommended.

Formulation, Preparation, and Storage

Purification

Immunogen affinity purified

Formulation

PBS (pH 7.2) and 40% Glycerol

Format

BSA Free

Preservative

0.02% Sodium Azide

Concentration

Concentrations vary lot to lot. See vial label for concentration. If unlisted please contact technical services.

Shipping

The product is shipped with polar packs. Upon receipt, store it immediately at the temperature recommended below.

Stability & Storage

Store at 4C short term. Aliquot and store at -20C long term. Avoid freeze-thaw cycles.

Background: ATG16L1

Macroautophagy is the major inducible pathway for the general turnover of cytoplasmic constituents in eukaryotic cells, it is also responsible for the degradation of active cytoplasmic enzymes and organelles during nutrient starvation. Macroautophagy involves the formation of double-membrane bound autophagosomes which enclose the cytoplasmic constituent targeted for degradation in a membrane bound structure, which then fuse with the lysosome (or vacuole) releasing a single-membrane bound autophagic bodies which are then degraded within the lysosome (or vacuole). The APG12-APG5-APG16L complex is essential for the elongation of autophagic isolation membranes. This complex initially associates in uniform distribution with small vesicle membranes. During membrane elongation, the complex partitions, with a great concentration building on the outer side of the isolation membrane. Upon completion of the formation of the autophagosome, the APG12-APG5-APG16L dissociates from the membrane. There are 5 isoforms of this protein (in human), with theoretical molecular weights ranging from ~19-68 kDa.

Mutations in the ATG16L1 proitein have been associated with Crohn's disease.

Alternate Names

APG16 autophagy 16-like (S. cerevisiae), APG16L beta, APG16LFLJ10828, APG16-like 1, ATG16 autophagy related 16-like (S. cerevisiae), ATG16 autophagy related 16-like 1 (S. cerevisiae), ATG16A, ATG16L, autophagy-related protein 16-1, FLJ00045, FLJ10035, FLJ22677, IBD10, WD repeat domain 30, WDR30

Gene Symbol

ATG16L1

Additional ATG16L1 Products

Product Documents for ATG16L1 Antibody - BSA Free

Certificate of Analysis

To download a Certificate of Analysis, please enter a lot number in the search box below.

Product Specific Notices for ATG16L1 Antibody - BSA Free

This product is for research use only and is not approved for use in humans or in clinical diagnosis. Primary Antibodies are guaranteed for 1 year from date of receipt.

Loading...
Loading...
Loading...
Loading...