Skip to main content

ATG13 Antibody - BSA Free

Novus Biologicals, part of Bio-Techne | Catalog # NBP2-82074

Novus Biologicals, part of Bio-Techne

Key Product Details

Species Reactivity

Validated:

Human, Mouse, Rat

Predicted:

Bovine (100%). Backed by our 100% Guarantee.

Applications

Immunohistochemistry, Immunohistochemistry-Paraffin, Western Blot, ELISA, Immunocytochemistry/ Immunofluorescence

Label

Unconjugated

Antibody Source

Polyclonal Rabbit IgG

Format

BSA Free

Concentration

1 mg/ml

Product Specifications

Immunogen

ATG13 antibody was raised against a 15 amino acid synthetic peptide near the carboxy terminus of human ATG13. The immunogen is located within amino acids 450 - 500 of ATG13. Amino Acid Squence: CLGTFYREFQNPPQLS

Specificity

Multiple isoforms of ATG13 are known to exist.

Clonality

Polyclonal

Host

Rabbit

Isotype

IgG

Theoretical MW

49 kDa.
Disclaimer note: The observed molecular weight of the protein may vary from the listed predicted molecular weight due to post translational modifications, post translation cleavages, relative charges, and other experimental factors.

Description

Novus Biologicals Rabbit ATG13 Antibody - BSA Free (NBP2-82074) is a polyclonal antibody validated for use in IHC, WB, ELISA and ICC/IF. All Novus Biologicals antibodies are covered by our 100% guarantee.

Scientific Data Images for ATG13 Antibody - BSA Free

Western Blot: ATG13 AntibodyBSA Free [NBP2-82074]

Western Blot: ATG13 AntibodyBSA Free [NBP2-82074]

Western Blot: ATG13 Antibody [NBP2-82074] - Analysis of ATG13 in rat heart tissue lysate with ATG13 antibody at 1 ug/ml in (A) the absence and (B) the presence of blocking peptide.
ATG13 Antibody - BSA Free

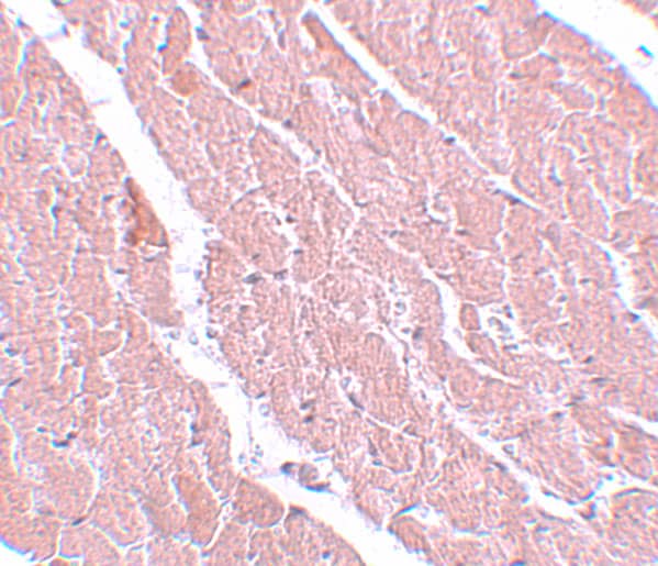
Immunohistochemistry: ATG13 Antibody - BSA Free [NBP2-82074] -

Immunohistochemistry: ATG13 Antibody - BSA Free [NBP2-82074] - Immunohistochemistry of ATG13 in mouse heart with ATG13 antibody at 5 ug/mL.
ATG13 Antibody - BSA Free

Immunocytochemistry/ Immunofluorescence: ATG13 Antibody - BSA Free [NBP2-82074] -

Immunocytochemistry/ Immunofluorescence: ATG13 Antibody - BSA Free [NBP2-82074] - Immunofluorescence of ATG13 in Mouse Heart tissue with ATG13 antibody at 20 ug/mL.

Applications for ATG13 Antibody - BSA Free

Application
Recommended Usage

Immunocytochemistry/ Immunofluorescence

20 ug/ml

Immunohistochemistry

5 ug/ml

Western Blot

1 ug/ml

Formulation, Preparation, and Storage

Purification

Peptide affinity purified

Formulation

PBS

Format

BSA Free

Preservative

0.02% Sodium Azide

Concentration

1 mg/ml

Shipping

The product is shipped with polar packs. Upon receipt, store it immediately at the temperature recommended below.

Stability & Storage

Store at 4C short term. Aliquot and store at -20C long term. Avoid freeze-thaw cycles.

Background: ATG13

Alternate Names

autophagy related 13, autophagy-related protein 13, KIAA0652

Gene Symbol

ATG13

Additional ATG13 Products

Product Documents for ATG13 Antibody - BSA Free

Certificate of Analysis

To download a Certificate of Analysis, please enter a lot number in the search box below.

Product Specific Notices for ATG13 Antibody - BSA Free

This product is for research use only and is not approved for use in humans or in clinical diagnosis. Primary Antibodies are guaranteed for 1 year from date of receipt.

Loading...
Loading...
Loading...
Loading...