Skip to main content

ATG10 Antibody - Azide and BSA Free

Novus Biologicals, part of Bio-Techne | Catalog # NBP2-92493

Novus Biologicals, part of Bio-Techne
Catalog #
Availability
Size / Price
Qty
Loading...
NBP2-92493-0.02ml
NBP2-92493-0.1ml

Key Product Details

Species Reactivity

Human, Mouse, Rat

Applications

Immunohistochemistry, Immunohistochemistry-Paraffin, Western Blot

Label

Unconjugated

Antibody Source

Polyclonal Rabbit IgG

Format

Azide and BSA Free

Concentration

Please see the vial label for concentration. If unlisted please contact technical services.

Product Specifications

Immunogen

A synthetic peptide corresponding to a sequence within amino acids 120-220 of human ATG10 (NP_113670.1). LPLSYAKATSQDERNVP

Clonality

Polyclonal

Host

Rabbit

Isotype

IgG

Description

Novus Biologicals Rabbit ATG10 Antibody - Azide and BSA Free (NBP2-92493) is a polyclonal antibody validated for use in IHC and WB. All Novus Biologicals antibodies are covered by our 100% guarantee.

Scientific Data Images for ATG10 Antibody - Azide and BSA Free

Western Blot: ATG10 AntibodyAzide and BSA Free [NBP2-92493]

Western Blot: ATG10 AntibodyAzide and BSA Free [NBP2-92493]

Western Blot: ATG10 Antibody [NBP2-92493] - Analysis of extracts of mouse small intestine, using ATG10 at 1:1000 dilution.Secondary antibody: HRP Goat Anti-Rabbit IgG (H+L) at 1:10000 dilution.Lysates/proteins: 25ug per lane.Blocking buffer: 3% nonfat dry milk in TBST.Detection: ECL Basic Kit .Exposure time: 90s.
Immunohistochemistry-Paraffin: ATG10 Antibody - Azide and BSA Free [NBP2-92493]

Immunohistochemistry-Paraffin: ATG10 Antibody - Azide and BSA Free [NBP2-92493]

Immunohistochemistry-Paraffin: ATG10 Antibody [NBP2-92493] - Immunohistochemistry of paraffin-embedded Rat testis using ATG10 Rabbit pAb (NBP2-92493) at dilution of 1:100 (40x lens). Perform microwave antigen retrieval with 10 mM PBS buffer pH 7.2 before commencing with IHC staining protocol.
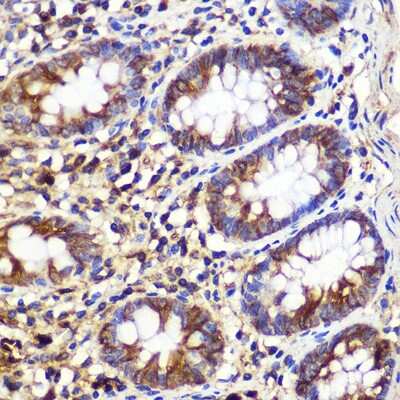
Immunohistochemistry-Paraffin: ATG10 Antibody - Azide and BSA Free [NBP2-92493]

Immunohistochemistry-Paraffin: ATG10 Antibody - Azide and BSA Free [NBP2-92493]

Immunohistochemistry-Paraffin: ATG10 Antibody [NBP2-92493] - Immunohistochemistry of paraffin-embedded Human colon using ATG10 Rabbit pAb (NBP2-92493) at dilution of 1:100 (40x lens). Perform microwave antigen retrieval with 10 mM PBS buffer pH 7.2 before commencing with IHC staining protocol.

Applications for ATG10 Antibody - Azide and BSA Free

Application
Recommended Usage

Immunohistochemistry

1:50-1:200

Western Blot

1:500-1:2000

Formulation, Preparation, and Storage

Purification

Affinity purified

Formulation

PBS (pH 7.3), 50% glycerol

Format

Azide and BSA Free

Preservative

0.01% Thimerosal

Concentration

Please see the vial label for concentration. If unlisted please contact technical services.

Shipping

The product is shipped with polar packs. Upon receipt, store it immediately at the temperature recommended below.

Stability & Storage

Store at -20C. Avoid freeze-thaw cycles.

Background: ATG10

Atg10 is a major contributor to cellular homeostasis is the ability of the cell to strike a balance between the formation and degradation/removal of its cellular components. This process of internal cellular turn-over is called autophagy (self-eating), and is facilitated by a pathway of around 16 interacting proteins in the human. APG10 interacts with LC3A to facilitate the conjugation of ATG12 to ATG5. APG10 is also able to directly interact either with ATG5 or ATG7A. A disruption to the autophagic process is now associated with the progression of several cancers, neurodegenerative disorders and cardiac pathologies.

Long Name

Autophagy Related 10 Homolog

Alternate Names

APG10, APG10L, PP12616

Gene Symbol

ATG10

Additional ATG10 Products

Product Documents for ATG10 Antibody - Azide and BSA Free

Certificate of Analysis

To download a Certificate of Analysis, please enter a lot number in the search box below.

Product Specific Notices for ATG10 Antibody - Azide and BSA Free

This product is for research use only and is not approved for use in humans or in clinical diagnosis. Primary Antibodies are guaranteed for 1 year from date of receipt.

Loading...
Loading...
Loading...
Loading...

⚠ WARNING: This product can expose you to chemicals including Methotrexate, which is known to the State of California to cause reproductive toxicity with developmental effects. For more information, go to www.P65Warnings.ca.gov