Skip to main content

ATF6 Antibody - BSA Free

Novus Biologicals, part of Bio-Techne | Catalog # NBP2-48501

Novus Biologicals, part of Bio-Techne
Catalog #
Availability
Size / Price
Qty
Loading...
NBP2-48501
NBP2-48501-25ul

Key Product Details

Species Reactivity

Validated:

Human

Predicted:

Mouse (91%), Rat (94%). Backed by our 100% Guarantee.

Applications

Immunohistochemistry, Immunohistochemistry-Paraffin

Label

Unconjugated

Antibody Source

Polyclonal Rabbit IgG

Format

BSA Free

Concentration

Concentrations vary lot to lot. See vial label for concentration. If unlisted please contact technical services.

Product Specifications

Immunogen

This antibody was developed against a recombinant protein corresponding to amino acids: EAQDTSDGIIQKNSYRYDHSVSNDKALMVLTEEPLLYIPPPPCQPLINTTESLRLNHELRGWVHRHEVERTKSRRMTNNQQKTRILQGALEQGSNSQLMAVQYTETTSSISRNSGSELQVYYASP

Clonality

Polyclonal

Host

Rabbit

Isotype

IgG

Description

Novus Biologicals Rabbit ATF6 Antibody - BSA Free (NBP2-48501) is a polyclonal antibody validated for use in IHC. All Novus Biologicals antibodies are covered by our 100% guarantee.

Scientific Data Images for ATF6 Antibody - BSA Free

Immunohistochemistry-Paraffin: ATF6 Antibody [NBP2-48501]

Immunohistochemistry-Paraffin: ATF6 Antibody [NBP2-48501]

Immunohistochemistry-Paraffin: ATF6 Antibody [NBP2-48501] - Staining of human testis shows moderate cytoplasmic positivity in a subset of cells in seminiferous ducts.
Immunohistochemistry-Paraffin: ATF6 Antibody [NBP2-48501]

Immunohistochemistry-Paraffin: ATF6 Antibody [NBP2-48501]

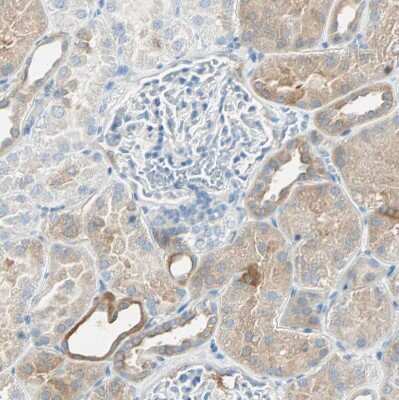
Immunohistochemistry-Paraffin: ATF6 Antibody [NBP2-48501] - Staining of human kidney shows weak to moderate cytoplasmic positivity in cells in tubules.
Immunohistochemistry-Paraffin: ATF6 Antibody [NBP2-48501]

Immunohistochemistry-Paraffin: ATF6 Antibody [NBP2-48501]

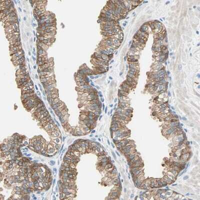
Immunohistochemistry-Paraffin: ATF6 Antibody [NBP2-48501] - Staining of human prostate shows moderate cytoplasmic positivity in glandular cells.

Applications for ATF6 Antibody - BSA Free

Application
Recommended Usage

Immunohistochemistry

1:50 - 1:200

Immunohistochemistry-Paraffin

1:50 - 1:200
Application Notes
For IHC-Paraffin, HIER pH 6 retrieval is recommended.

Formulation, Preparation, and Storage

Purification

Immunogen affinity purified

Formulation

PBS (pH 7.2) and 40% Glycerol

Format

BSA Free

Preservative

0.02% Sodium Azide

Concentration

Concentrations vary lot to lot. See vial label for concentration. If unlisted please contact technical services.

Shipping

The product is shipped with polar packs. Upon receipt, store it immediately at the temperature recommended below.

Stability & Storage

Store at 4C short term. Aliquot and store at -20C long term. Avoid freeze-thaw cycles.

Background: ATF6

ATF6 is an endoplasmic reticulum (ER) stress-regulated transmembrane transcription factor that activates the transcription of ER molecules.[supplied by OMIM]

Long Name

Activating Transcription Factor 6

Alternate Names

ACHM7, ATF6 alpha

Gene Symbol

ATF6

Additional ATF6 Products

Product Documents for ATF6 Antibody - BSA Free

Certificate of Analysis

To download a Certificate of Analysis, please enter a lot number in the search box below.

Product Specific Notices for ATF6 Antibody - BSA Free

This product is for research use only and is not approved for use in humans or in clinical diagnosis. Primary Antibodies are guaranteed for 1 year from date of receipt.

Loading...
Loading...
Loading...
Loading...
Loading...