Skip to main content

ATF6 Antibody - BSA Free

Novus Biologicals, part of Bio-Techne | Catalog # NBP1-76675

Novus Biologicals, part of Bio-Techne

Key Product Details

Species Reactivity

Validated:

Human, Mouse

Cited:

Mouse

Predicted:

Rat (100%). Backed by our 100% Guarantee.

Applications

Validated:

Immunohistochemistry, Immunohistochemistry-Paraffin, Western Blot, ELISA, Immunocytochemistry/ Immunofluorescence

Cited:

Immunohistochemistry

Label

Unconjugated

Antibody Source

Polyclonal Rabbit IgG

Format

BSA Free

Concentration

1 mg/ml

Product Specifications

Immunogen

Antibody was raised against a 16 amino acid synthetic peptide from near the carboxy terminus of human ATF6. The immunogen is located within amino acids 470 - 520 of ATF6. Amino Acid Squence: HRHEVERTKSRRMTNN

Clonality

Polyclonal

Host

Rabbit

Isotype

IgG

Description

Novus Biologicals Rabbit ATF6 Antibody - BSA Free (NBP1-76675) is a polyclonal antibody validated for use in IHC, WB, ELISA and ICC/IF. All Novus Biologicals antibodies are covered by our 100% guarantee.

Scientific Data Images for ATF6 Antibody - BSA Free

ATF6 Antibody - BSA Free

Immunocytochemistry/ Immunofluorescence: ATF6 Antibody - BSA Free [NBP1-76675] -

Immunocytochemistry/ Immunofluorescence: ATF6 Antibody - BSA Free [NBP1-76675] - Immunofluorescence of ATF6 in human pancreas tissue with ATF6 antibody at 20 ug/ml.

Green: ATF6 Antibody
Blue: DAPI staining
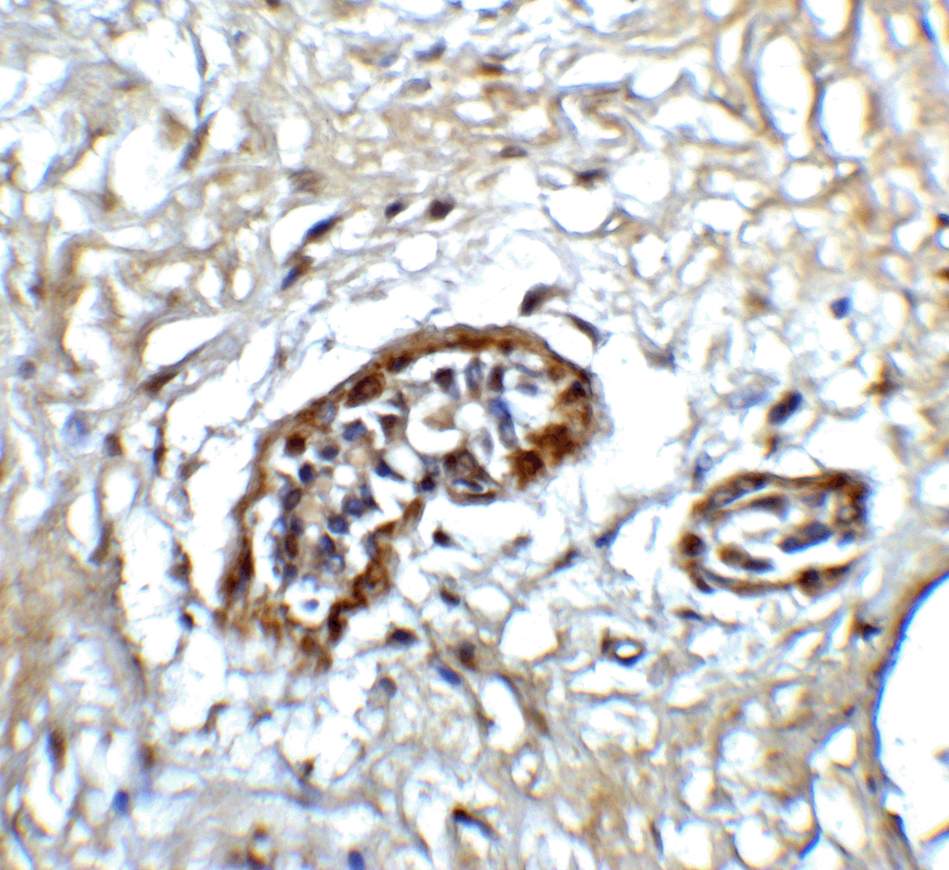
ATF6 Antibody - BSA Free

Immunohistochemistry: ATF6 Antibody - BSA Free [NBP1-76675] -

Immunohistochemistry: ATF6 Antibody - BSA Free [NBP1-76675] - Immunohistochemistry of ATF6 in human pancreas tissue with ATF6 antibody at 5 ug/ml.
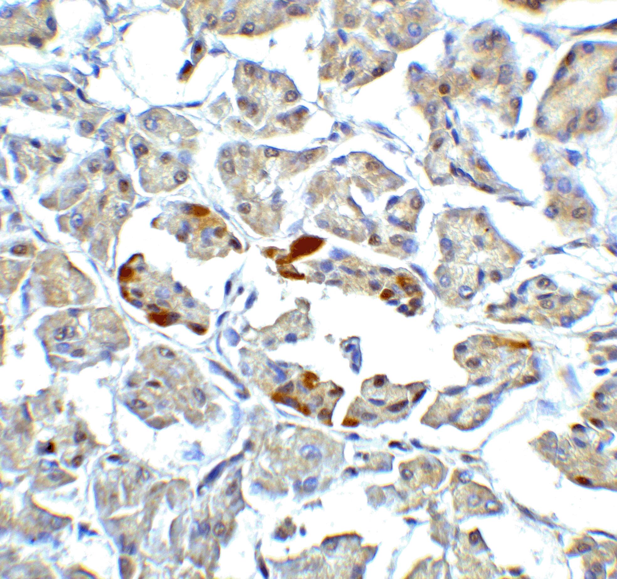
ATF6 Antibody - BSA Free

Immunohistochemistry: ATF6 Antibody - BSA Free [NBP1-76675] -

Immunohistochemistry: ATF6 Antibody - BSA Free [NBP1-76675] - Immunohistochemistry of ATF6 in human breast tissue with ATF6 antibody at 5 ug/ml.

Applications for ATF6 Antibody - BSA Free

Application
Recommended Usage

ELISA

1:100-1:2000

Immunocytochemistry/ Immunofluorescence

10 ug/ml

Immunohistochemistry

5 ug/ml

Immunohistochemistry-Paraffin

5 ug/mL

Western Blot

0.5 -1 ug/ml

Reviewed Applications

Read 1 review rated 4 using NBP1-76675 in the following applications:

Formulation, Preparation, and Storage

Purification

Peptide affinity purified

Formulation

PBS

Format

BSA Free

Preservative

0.02% Sodium Azide

Concentration

1 mg/ml

Shipping

The product is shipped with polar packs. Upon receipt, store it immediately at the temperature recommended below.

Stability & Storage

Store at 4C short term. Aliquot and store at -20C long term. Avoid freeze-thaw cycles.

Background: ATF6

Disruptions of protein folding and maturation in the endoplasmic reticulum (ER) result in the activation of the unfolded protein response (UPR), an integrated cellular signaling pathway that transmits information from the ER lumen to the cytoplasm and nucleus. Activating transcription factor 6 (ATF6) as well as the ER-transmembrane protein kinases IRE1p and PERK are the major transducers of the UPR . ATF6 is an ER transmembrane protein that is normally bound to the ER chaperone GRP78, but upon ER stress is released from GRP78 and proteolytically cleaved to yield a cytosolic fragment which then migrates to the nucleus, and together with the transcription factor XBP-1, activates transcription of UPR-responsive genes. ATF6 has two isoforms (ATF6alpha and ATF6beta); only ATF6alpha is recognized by this antibody.

Long Name

Activating Transcription Factor 6

Alternate Names

ACHM7, ATF6 alpha

Gene Symbol

ATF6

Additional ATF6 Products

Product Documents for ATF6 Antibody - BSA Free

Certificate of Analysis

To download a Certificate of Analysis, please enter a lot number in the search box below.

Product Specific Notices for ATF6 Antibody - BSA Free

This product is for research use only and is not approved for use in humans or in clinical diagnosis. Primary Antibodies are guaranteed for 1 year from date of receipt.

Loading...
Loading...
Loading...
Loading...
Loading...