Skip to main content

ATF6 Antibody (S05-4E7)

Novus Biologicals, part of Bio-Techne | Catalog # NBP3-14903

Recombinant Monoclonal Antibody
Novus Biologicals, part of Bio-Techne
Catalog #
Availability
Size / Price
Qty
Loading...
NBP3-14903-100ul
NBP3-14903-25ul

Key Product Details

Species Reactivity

Human

Applications

Immunohistochemistry, Western Blot

Label

Unconjugated

Antibody Source

Recombinant Monoclonal Rabbit IgG Clone # S05-4E7 expressed in HEK293

Concentration

Please see the vial label for concentration. If unlisted please contact technical services.

Product Specifications

Immunogen

Recombinant protein of human ATF6 (Uniprot#: P18850)

Clonality

Monoclonal

Host

Rabbit

Isotype

IgG

Description

Novus Biologicals Rabbit ATF6 Antibody (S05-4E7) (NBP3-14903) is a recombinant monoclonal antibody validated for use in IHC and WB. All Novus Biologicals antibodies are covered by our 100% guarantee.

Scientific Data Images for ATF6 Antibody (S05-4E7)

Western Blot: ATF6 Antibody (S05-4E7) [NBP3-14903]

Western Blot: ATF6 Antibody (S05-4E7) [NBP3-14903]

Western Blot: ATF6 Antibody (S05-4E7) [NBP3-14903] - Western blot detection of ATF6 in A549, HL-60, U2OS cell lysates using ATF6 Rabbit mAb (1:1000 diluted). Predicted band size: 75kDa. Observed band size: 90-100kDa.
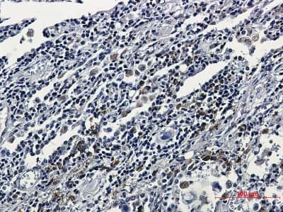
Immunohistochemistry: ATF6 Antibody (S05-4E7) [NBP3-14903]

Immunohistochemistry: ATF6 Antibody (S05-4E7) [NBP3-14903]

Immunohistochemistry: ATF6 Antibody (S05-4E7) [NBP3-14903] - Immunohistochemical of ATF6 in Human lung cancer tissue using ATF6 antibody at dilution 1/20

Applications for ATF6 Antibody (S05-4E7)

Application
Recommended Usage

Immunohistochemistry

1/100

Western Blot

1/1000

Formulation, Preparation, and Storage

Purification

Affinity purified

Formulation

50mM Tris-Glycine (pH 7.4), 0.15M NaCl, 40% Glycerol, 0.05% BSA

Preservative

0.01% Sodium Azide

Concentration

Please see the vial label for concentration. If unlisted please contact technical services.

Shipping

The product is shipped with polar packs. Upon receipt, store it immediately at the temperature recommended below.

Stability & Storage

Store at 4C short term. Aliquot and store at -20C long term. Avoid freeze-thaw cycles.

Background: ATF6

ATF6 is an endoplasmic reticulum (ER) stress-regulated transmembrane transcription factor that activates the transcription of ER molecules.[supplied by OMIM]

Long Name

Activating Transcription Factor 6

Alternate Names

ACHM7, ATF6 alpha

Gene Symbol

ATF6

Additional ATF6 Products

Product Documents for ATF6 Antibody (S05-4E7)

Certificate of Analysis

To download a Certificate of Analysis, please enter a lot number in the search box below.

Product Specific Notices for ATF6 Antibody (S05-4E7)

This product is for research use only and is not approved for use in humans or in clinical diagnosis. Primary Antibodies are guaranteed for 1 year from date of receipt.

Loading...
Loading...
Loading...
Loading...
Loading...